Danh sách các phần
Trả phí
Gãy xương cẳng tay dưới ở trẻ em (Juvenile Distal Forearm Fractures)
16/03/2026
Trả phí
Gãy phình vỏ xương cẳng tay (Buckle fracture).
16/03/2026
Trả phí
Gãy cành tươi (Greenstick fracture)
16/03/2026
Trả phí
Gãy cong (Bowing fracture)
16/03/2026
Trả phí
Gãy đầu dưới xương quay (Distal radial fracture)
16/03/2026
Miễn phí
Gãy Colles (Colles fracture)
16/03/2026
Trả phí
Gãy Smith (Smith fracture)
16/03/2026
Trả phí
Gãy Barton (Barton fracture)
16/03/2026
Trả phí
Gãy Chauffeur (Chauffeur fracture)
16/03/2026
Trả phí
Gãy lún mặt nguyệt xương quay (Die-Punch Fracture)
16/03/2026
Trả phí
Tổn thương sụn tiếp hợp do quá tải ở cổ tay trẻ em (Trauma-Related Osteolysis, Pediatric Wrist)
16/03/2026
Trả phí
Mất vững khớp quay trụ dưới (Distal Radioulnar Joint Instability)
16/03/2026
Trả phí
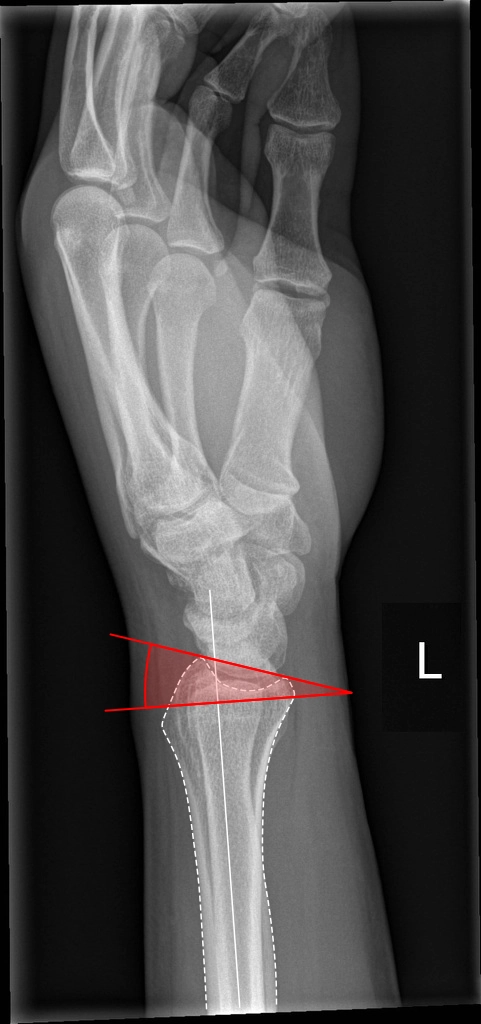
Độ nghiêng xương quay (Radial inclination)
16/03/2026
Trả phí
Độ nghiêng lòng tay (Volar tilt)
16/03/2026
Trả phí
Gãy mỏm trâm trụ (Ulnar styloid fracture)
16/03/2026
Trả phí
Giải phẫu xương cổ tay (Carpal bones)
16/03/2026
Trả phí
Gãy xương thuyền (Scaphoid Fracture)
16/03/2026
Trả phí
Khớp giả xương thuyền (Scaphoid non-union)
16/03/2026
Trả phí
Hội chứng SNAC ở xương thuyền (Scaphoid Non-union Advanced Collapse)
16/03/2026
Trả phí
Hoại tử vô mạch xương thuyền (scaphoid osteonecrosis)
16/03/2026
Trả phí
Gãy xương tháp (Triquetral fracture)
16/03/2026
Trả phí
Gãy xương thang (Trapezium fracture)
16/03/2026
Trả phí
Gãy xương nguyệt (Lunate fracture)
16/03/2026
Trả phí
Gãy xương cả (Capitate fracture)
16/03/2026
Trả phí
Gãy xương móc (Hamate fracture)
16/03/2026
Trả phí
Gãy xương đậu (Pisiform fracture)
16/03/2026
Trả phí
Gãy xương thê (Trapezoid fracture)
16/03/2026
Trả phí
Hoại tử vô mạch xương nguyệt (Kienböck disease)
16/03/2026
Trả phí
Hội chứng SLAC ở xương thuyền- nguyệt(Scapholunate Advanced Collapse)
16/03/2026
Trả phí
Biến dạng lưng gù của xương thuyền (Humpback deformity of the scaphoid)
16/03/2026
Trả phí
Ba cung cổ tay của Gilula (Gilula's three carpal arcs)
16/03/2026
Trả phí
Góc Cả-Nguyệt (Capitolunate angle)
16/03/2026
Trả phí
Góc Thuyền-Nguyệt (Scapholunate angle)
16/03/2026
Trả phí
Mất vững về phía lòng tay từng đoạn (Volar Intercalated Segment Instability - VISI)
16/03/2026
Trả phí
Mất vững về phía mu tay từng đoạn (Dorsal Intercalated Segment Instability - DISI)
16/03/2026
Trả phí
Trật xương nguyệt (Lunate dislocation)
16/03/2026
Trả phí
Trật quanh nguyệt (Perilunate dislocation)
16/03/2026
Trả phí
Mất vững thuyền-nguyệt (Scapholunate dissociation)
16/03/2026
Trả phí
Trật khớp giữa các hàng xương cổ tay (Midcarpal dislocation)
16/03/2026
Trả phí
Phân loại Mayfield về mất vững khối xương cổ tay (Mayfield classification of carpal instability)
16/03/2026
Trả phí
Gãy xương bàn tay (Metacarpal fracture)
16/03/2026
Trả phí
Gãy xương ngón tay cái (Fractures of the thumb)
16/03/2026
Trả phí
Gãy ngón út xương bàn tay do đấm (Boxer's fracture)
16/03/2026
Trả phí
Trật khớp bàn-cổ tay (Carpometacarpal - CMC joint dislocation)
16/03/2026
Trả phí
Trật khớp bàn-đốt (Metacarpophalangeal joint - MCPJ dislocation)
16/03/2026
Trả phí
Gãy xương ngón tay đốt gần (Proximal phalanx fracture)
16/03/2026
Trả phí
Gãy xương ngón tay đốt giữa (Middle phalanx fracture)
16/03/2026
Trả phí
Gãy đốt xa xương ngón tay (Distal phalanx fracture)
16/03/2026
Trả phí
Ngón tay búa (Mallet finger)
16/03/2026
Trả phí
Ngón tay Jersey (Jersey finger)
16/03/2026
Trả phí
Trật khớp ngón tay (Interphalangeal joint dislocation)
16/03/2026
Trả phí
Gãy bong ở mặt lòng tay (Volar plate avulsion injury)
16/03/2026
Trả phí
Các khoang duỗi cổ tay (Extensor compartments of the wrist)
16/03/2026
Trả phí
Tổn thương phức hợp sụn sợi tam giác (Triangular fibrocartilage complex - TFCC injury)
16/03/2026
Trả phí
Đứt dây chằng thuyền-nguyệt (Scapholunate ligament tear)
16/03/2026
Trả phí
Viêm bao gân De Quervain (De Quervain tenosynovitis)
16/03/2026
Trả phí
Hội chứng giao thoa gân duỗi gần (Proximal intersection syndrome)
16/03/2026
Trả phí
Hội chứng giao thoa gân duỗi xa (Distal intersection syndrome)
16/03/2026
Trả phí
Bệnh lý gân duỗi cổ tay trụ (Extensor Carpi Ulnaris - ECU tendinopathy)
16/03/2026
Trả phí
Tổn thương dây chằng bên của ngón tay (Collateral ligament injury of finger)
16/03/2026