Danh sách các phần
Trả phí
Bệnh não ty thể (Mitochondrial Encephalopathies -ME)
16/03/2026
Trả phí
 Rối loạn ty thể nguyên phát (Primary mitochondrial disorders - PMDs)
16/03/2026
Trả phí
Các biểu hiện ở não của bệnh mucopolysaccharidoses (Cerebral manifestations of mucopolysaccharidoses)
16/03/2026
Trả phí
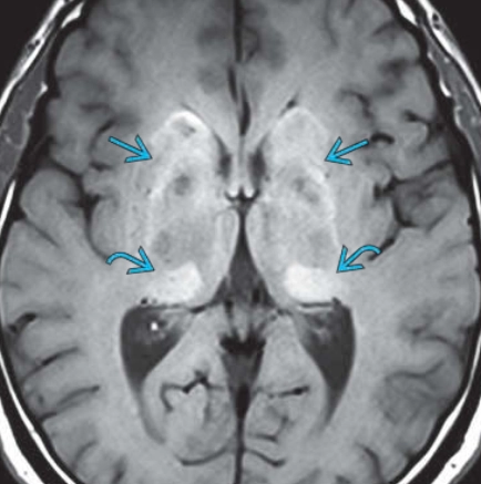
Bệnh loạn dưỡng chất trắng tế bào hình cầu (Globoid Cell Leukodystrophy)/ Bệnh Krabbe
16/03/2026
Trả phí
Bệnh Fabry (Fabry Disease)
16/03/2026
Trả phí
Rối loạn Peroxisome (Peroxisomal Disorders)/Hội chứng Zellweger (Zellweger Syndrome)
16/03/2026
Trả phí
Bệnh nước tiểu mùi si-rô phong (Maple syrup urine disease - MSUD)
16/03/2026
Trả phí
Bệnh Canavan (Canavan Disease)
16/03/2026
Trả phí
Bệnh loạn dưỡng chất trắng thượng thận liên kết nhiễm sắc thể X (X-linked Adrenoleukodystrophy)
16/03/2026
Trả phí
Nhiễm toan glutaric type 1 (Glutaric aciduria type 1)
16/03/2026
Trả phí
Bệnh Loạn dưỡng chất trắng thể não to kèm nang dưới vỏ (Megalencephalic Leukoencephalopathy with Subcortical Cysts - MLC)
16/03/2026
Trả phí
Thoái hóa thần kinh với tích tụ sắt trong não (Neurodegeneration with Brain Iron Accumulation - NBIA)
16/03/2026
Trả phí
Thoái hóa thần kinh liên quan đến Pantothenate Kinase (Pantothenate kinase-associated neurodegeneration - PKAN)
16/03/2026
Trả phí
Huntington Disease - HD
16/03/2026
Trả phí
Bệnh loạn dưỡng chất trắng dị sắc (Metachromatic Leukodystrophy - MLD)
16/03/2026
Trả phí
Bệnh Wilson- Biểu hiện ở não bộ (Wilson Disease)
16/03/2026