Trang chủ Tra Cứu Hình Ảnh Y Khoa Tra Cứu Hình Ảnh Y Khoa
Trang chủ Tra Cứu Hình Ảnh Y Khoa
Không tìm thấy kết quả nào
  • Gói Thành Viên
  • Tài Liệu
  • Đăng Nhập
  • Gói Thành Viên
  • Tài Liệu
  • Đăng Nhập
  • Trang chủ
  • Sản khoa
  • Thai quý I
  • VI. Thai ngoài tử cung
Danh sách danh tài liệu
Trả phí
Thai ngoài tử cung đoạn vòi (Tubal ectopic pregnancy)
Thai ngoài tử cung đoạn vòi (Tubal ectopic pregnancy)
16/03/2026
Trả phí
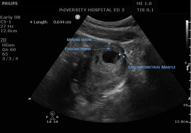
Thai ngoài tử cung đoạn kẽ (Interstitial ectopic pregnancy)
Thai ngoài tử cung đoạn kẽ (Interstitial ectopic pregnancy)
16/03/2026
Trả phí
Thai bám sẹo mổ lấy thai (Cesarean section scar pregnancy)
Thai bám sẹo mổ lấy thai (Cesarean section scar pregnancy)
16/03/2026
Trả phí
Thai ở cổ tử cung (Cervical pregnancy)
Thai ở cổ tử cung (Cervical pregnancy)
16/03/2026
Trả phí
Thai ngoài tử cung ở buồng trứng (Ovarian ectopic pregnancy)
Thai ngoài tử cung ở buồng trứng (Ovarian ectopic pregnancy)
16/03/2026
Trả phí
Song thai hỗn hợp (Heterotopic pregnancy)
Song thai hỗn hợp (Heterotopic pregnancy)
16/03/2026
Trả phí
Thai ngoài tử cung trong ổ bụng
Thai ngoài tử cung trong ổ bụng
16/03/2026
Về Chúng Tôi Hướng Dẫn Thanh Toán Liên Hệ Tìm Kiếm

Copyright Tra Cứu Hình Ảnh Y Khoa © 2026 - All right reserved

  • Danh sách danh mục
  • Sản khoa
    • Thai quý I
      • I. Thai quý I bình thường
        • Thai 5 tuần
        • Thai 5,5 tuần: Yolk sac
        • Thai 6-6,5 tuần
        • Thai 7 tuần
        • Thai 7-8 tuần
        • Siêu âm thai quý I bình thường
      • II. Sẩy thai quý I
        • Chẩn đoán xác định sẩy thai
        • Tiêu chuẩn chẩn đoán thai ngừng phát triển (Sẩy thai quý I)
      • III. Chỉ số đo lường quý I
        • Sinh trắc học và xác định tuổi thai (biometry & dating)
        • Chỉ số MSD
      • VI. Các bất thường của túi thai
        • Tụ máu dưới màng nuôi (Tụ máu quanh túi thai)
        • Khối phồng màng đệm (Chorionic Bump)
        • Nhân xơ trong thai kỳ (Fibroids)
      • V. Bệnh lý nguyên bào nuôi
        • Thai trứng toàn phần (Complete hydatidiform mole)
        • Thai trứng bán phần (Partial hydatidiform mole)
        • Thai trứng toàn phần đi kèm thai bình thường (Complete hydatidiform mole with coexistent fetus)
        • Thai trứng xâm lấn (Invasive mole)
        • Choriocarcinoma thai kỳ (Gestational choriocarcinoma)
      • VI. Thai ngoài tử cung
        • Thai ngoài tử cung đoạn vòi (Tubal ectopic pregnancy)
        • Thai ngoài tử cung đoạn kẽ (Interstitial ectopic pregnancy)
        • Thai bám sẹo mổ lấy thai (Cesarean section scar pregnancy)
        • Thai ở cổ tử cung (Cervical pregnancy)
        • Thai ngoài tử cung ở buồng trứng (Ovarian ectopic pregnancy)
        • Song thai hỗn hợp (Heterotopic pregnancy)
        • Thai ngoài tử cung trong ổ bụng
      • VII. Hệ thần kinh trung ương thai nhi
        • Giải phẫu bình thường hệ thần kinh trung ương thai quý I (Normal CNS anatomy in first trimester)
        • Thai vô sọ (Acrania, Exencephaly và Anencephaly)
        • Thoát vị não-màng não (Encephalocele)
        • Não thất duy nhất (Holoprosencephaly-HPE)
        • Dãn não thất (Ventriculomegaly)
        • Tật chẻ đôi đốt sống thể hở (Open spina bifida)
        • Bất thường hố sau quý I
      • VIII. Mặt và cổ thai quý I
        • Giải phẫu và mặt cắt siêu âm mặt thai quý I
        • Bất thường mặt trong các dị tật thần kinh và lệch bội
        • Bất sản, thiểu sản xương mũi
        • Giải phẫu siêu âm xương hàm trên
        • Sứt môi hở hàm ếch (Cleft lip and palate)
        • Cằm nhỏ (Micrognathia)
        • Nang bạch huyết vùng cổ quý I (Cystic hygroma)
        • Đo độ mờ da gáy (Nuchal translucency)
      • IX. Ngực thai nhi
        • Giải phẫu siêu âm ngực thai quý I
        • Tràn dịch màng phổi thai quý I (Hydrothorax / Pleural effusion)
        • Thoát vị hoành bẩm sinh quý I (Congenital diaphragmatic hernia- CDH)
        • Bất sản và thiểu sản phổi thai quý I (Pulmonary agenesis / Hypoplasia)
      • X. Tiêu hóa thai nhi
        • Giải phẫu siêu âm đường tiêu hóa thai quý I
        • Thoát vị rốn thai quý I (Omphalocele)
        • Hở thành bụng thai quý I (Gastroschisis)
        • Ngũ chứng Cantrell thai quý I
        • Bất thường phức hợp cơ thể (Body stalk anomaly)
        • Lộn ổ nhớp và hội chứng OEIS thai quý I
        • Ruột tăng âm thai quý I (Echogenic bowel)
        • Nang trong ổ bụng thai quý I
        • Giải phẫu siêu âm mạch máu bụng thai quý I
        • Bất thường mạch máu trong ổ bụng
      • XI. Hệ tiết niệu thai nhi
        • Giải phẫu siêu âm tiết niệu thai quý I
        • Bàng quang to (Megacystis) và tắc nghẽn đường tiết niệu dưới (Lower urinary tract obstruction)
        • Giãn đường tiết niệu thai quý I
        • Bất sản thận hai bên thai quý I (Bilateral renal agenesis)
        • Bất sản thận một bên thai quý I (Unilateral renal agenesis)
        • Lộn bàng quang (Bladder exstrophy)
      • XII. Hệ cơ xương khớp thai nhi
        • Giải phẫu siêu âm cơ xương khớp quý I
        • Loạn sản xương quý I (Skeletal dysplasias)
        • Bất thường chi thai quý I
        • Tật chẻ đốt sống thai quý I (Open spina bifida)
    • Thần kinh thai nhi
      • Khiếm khuyết sọ não
        • Chuối dị tật vô sọ- mất não (Exencephaly- Anencephaly)
        • Thoát vị não- màng não vùng đỉnh- chẩm (Occipital-parietal cephalocele)
        • Thoát vị màng não thoái triển thai nhi (Atretic cephalocele)
        • Frontal cephalocele
      • Bất thường đường giữa
        • Bất sản thể chai hoàn toàn (Complete ACC)
        • Bất sản một phần thể chai và thiểu sản thể chai (Partial agenesis & hypoplasia of the corpus callosum)
        • Nang khe liên bán cầu/ hội chứng AVID (Interhemispheric cyst & AVID syndrome)
        • Não trước không phân chia thể không phân chia (Alobar holoprosencephaly)
        • Não trước không phân chia thể bán phần thùy (Semilobar holoprosencephaly)
        • Não trước không phân chia thể phân thùy (Lobar holoprosencephaly)
        • Loạn sản vách-thị thai nhi (Septo-optic dysplasia - SOD)
        • Não trước không phân chia thể dính não giữa (Syntelencephaly)
      • Bất thường vỏ não
        • Chẻ não (Schizencephaly)
        • Nhẵn não thai nhi (Lissencephaly)
        • Lạc chỗ chất xám não thai nhi (Gray matter heterotopia)
        • Đa hồi não nhỏ thai nhi (Polymicrogyria - PMG)
        • Bệnh xơ cứng củ ở thai nhi (Tuberous Sclerosis Complex - TSC)
      • Bất thường hố sau
        • Dị dạng Chiari 2 thai nhi (Chiari 2 malformation)
        • Dị dạng Chiari III ở thai nhi (Chiari III malformation)
        • Dị dạng Dandy-Walker ở thai (Classic Dandy-Walker malformation)
        • Thiểu sản thùy nhộng ở thai nhi (Vermian Hypoplasia)
        • Nang túi Blake ở thai
        • Giãn bể lớn hố sau ở thai nhi (Mega Cisterna Magna)
        • Thiểu sản tiểu não ở thai nhi (Global Cerebellar Hypoplasia)
        • Tật dính trám não thai nhi (Rhombencephalosynapsis)
      • Bất thường mạch máu
        • Phình tĩnh mạch Galen ở thai nhi
        • Dị dạng xoang tĩnh mạch màng cứng (Dural Sinus Malformation - DSM)
        • Rò động - tĩnh mạch não thai nhi (Cerebral Arteriovenous Fistula - AVF)
      • Cấu trúc dạng nang
        • Nang màng nhện thai nhi (Arachnoid Cyst)
        • Nang đám rối mạch mạc thai nhi (Choroid Plexus Cyst)
      • U não
        • U nhú đám rối mạch mạc thai nhi (Choroid Plexus Papilloma - CPP)
        • U não thai nhi (Fetal brain tumor)
        • U mỡ nội sọ thai nhi (Intracranial Lipoma)
      • Tổn thương dạng hủy não
        • Xuất huyết nội sọ thai nhi (Intracranial Hemorrhage - ICH)
        • Nhuyễn não và rỗng não thai (Encephalomalacia và Porencephaly)
        • Não thoái hóa nước thai nhi (Hydranencephaly)
        • Tắc cống não ở thai nhi (Aqueductal stenosis)
      • Giải phẫu thần kinh
        • Giải phẫu siêu âm não thai
        • Sinh trắc học thần kinh thai
      • Chẩn đoán phân biệt
        • Bất sản và biến thể hộp vách trong suốt thai nhi (Cavum Septi Pellucidi - CSP)
        • Giãn não thất thai nhi (Ventriculomegaly)
        • Tật đầu nhỏ thai nhi (Microcephaly)
        • Bất thường Vòm sọ (Abnormal Calvarium)
        • Tổng quan bất thường hố sau (Posterior Fossa Anomalies)
    • Cột sống thai nhi
      • Cột sống thai
        • Giải phẫu cột sống thai nhi
        • Chẻ đôi đốt sống (Spina Bifida)
        • Dị tật dính liền đầu- cổ (Iniencephaly)
        • Thoái hóa cột sống bẩm sinh (Caudal Regression Sequence)
        • Gù, vẹo cột sống (Kyphosis, Scoliosis)
        • Hội chứng tủy sống bị cột chặt (Tethered Cord )
        • Nứt dọc tủy sống (Diastematomyelia)
        • U quái vùng cùng cụt (Sacrococcygeal Teratoma)
    • Mặt và cổ thai nhi
      • Giải phẫu
        • Phôi thai và Giải phẫu siêu âm mặt cổ thai nhi (Embryology and Anatomy of the Face and Neck)
      • Bất thường mắt
        • Nang túi lệ thai nhi (Dacryocystocele)
        • Tật mắt nhỏ và không có mắt ở thai (Microphthalmia and Anophthalmia)
        • Đục thủy tinh thể thai nhi (Cataracts)
        • Tật mắt lồi thai nhi (Proptosis)
        • Hai mắt gần nhau ở thai (Hypotelorism )
        • Tật hai mắt xa nhau thai nhi (Hypertelorism)
      • Bất thường hàm- môi
        • Sứt môi hở hàm ếch ở thai nhi (Cleft lip and palate)
        • Chuỗi Pierre Robin thai nhi (Pierre Robin Sequence)- đầu mặt
        • Tật lưỡi to thai nhi (Macroglossia)
      • Khối u vùng mặt
        • U quái vùng hầu họng thai (Epignathus)
        • U lợi bẩm sinh (Congenital Epulis / Gingival Granular Cell Tumor)
      • Bất thường vùng cổ
        • Bướu cổ thai nhi (Goiter)
        • Nang bạch huyết thai nhi (Cystic hygroma)
        • U quái vùng cổ thai nhi (Cervical Teratoma)
      • Bất thường mặt trên
        • Hội chứng Wolf-Hirschhorn thai nhi (Wolf-Hirschhorn Syndrome)- đầu mặt
        • Hội chứng Apert (Apert Syndrome)- vùng đầu mặt
        • Hội chứng DiGeorge (DiGeorge syndrome)- đầu mặt
      • Bất thường mặt giữa
        • Chứng loạn sản sụn thai nhi (Achondroplasia)- đầu mặt
        • Hội chứng Binder (Binder Syndrome)/ Loạn sản hàm - mũi (Maxillonasal Dysplasia)
        • Loạn sản xương gây chết thai nhi (Thanatophoric dysplasia)- đầu mặt
      • Bất thường mặt dưới
        • Hội chứng Treacher Collins (Treacher Collins Syndrome) - đầu mặt
        • Hội chứng Goldenhar ở thai nhi (Goldenhar syndrome/ Phổ OAV - Oculo-Auriculo-Vertebral Spectrum)- vùng đầu mặt
        • Hội chứng Beckwith-Wiedemann vùng đầu mặt (BWS)
      • Bất thường tai
        • Tai đóng thấp (Low-Set Ear)
    • Ngực thai nhi
      • Bất thường ngực thai nhi
        • Thoát vị hoành bẩm sinh thai nhi (Congenital Diaphragmatic Hernia)
        • Bất thường nang tuyến phổi bẩm sinh thai nhi (Congenital Pulmonary Airway Malformation)
        • Phổi biệt trí thai nhi (Bronchopulmonary sequestration)
        • Nang phế quản thai nhi (Bronchogenic Cyst)
        • Ứ khí thùy phổi bẩm sinh (Congenital lobar overinflation)
        • Tắc nghẽn đường hô hấp trên bẩm sinh (Congenital High Airway Obstruction Sequence) (CHAOS)
        • Bất sản phổi thai nhi (pulmonary agenesis)
        • U, Dị dạng bạch huyết vùng nách thai nhi (Lymphangioma)
        • U quái trung thất thai nhi (Mediastinal Teratoma)
        • Tuyến ức bình thường thai nhi (Thymus)
    • Bụng thai nhi
      • Dị tật khuyết thành bụng
        • Hở thành bụng thai nhi (Gastroschisis)
        • Thoát vị rốn thai nhi (Omphalocele)
        • Ngũ chứng Cantrell thai nhi (Pentalogy of Cantrell)
        • Bất thường phức hợp cơ thể: Body stalk anomaly (BSA) / Limb body wall complex (LBWC)
        • Lộn bàng quang thai nhi (Bladder Exstrophy - BE)
        • Lộn ổ nhớp/ Hội chứng OEIS: Cloacal Exstrophy/OEIS Syndrome
      • Bất thường ống tiêu hóa
        • Teo thực quản thai nhi (Esophageal Atresia- EA)
        • Teo tá tràng thai nhi (Duodenal atresia)
        • Teo hỗng- hồi tràng thai nhi (Jejunal, Ileal Atresia)
        • Teo đại tràng thai nhi (Colonic Atresia)
        • Tồn tại ổ nhớp (Cloacal Malformation)/ Xoang niệu sinh dục (Urogenital Sinus)
        • Xoắn ruột thai nhi (Volvulus)
        • Nang ruột đôi thai nhi (Enteric Duplication Cyst)
        • Teo/tịt hậu môn thai nhi (Anal Atresia)
      • Bất thường phúc mạc
        • Viêm phúc mạc phân su bào thai (Meconium Peritonitis)
        • U bạch huyết mạc treo thai nhi (Mesenteric Lymphangioma)
      • Bất thường gan mật
        • Sỏi mật thai nhi (Gallstones)
        • Nang ống mật chủ thai nhi (Choledochal Cyst - CC)
        • Nang lách thai nhi (Splenic Cyst)
        • U máu gan bẩm sinh (Congenital Hepatic Hemangioma)
        • U mô thừa trung mô gan thai nhi (Mesenchymal Hamartoma)
        • Ung thư nguyên bào gan thai nhi (Hepatoblastoma)
      • Chẩn đoán phân biệt
        • Ruột tăng âm thai nhi (Echogenic Bowel)
        • Báng bụng thai nhi (Ascites)
        • Nang ổ bụng thai nhi (Cystic Abdominal Mass)
        • Gan to thai nhi (Hepatomegaly)
    • Hệ thống tiết niệu thai
      • Các biến thể phát triển của thận
        • Bất sản thận một bên (Unilateral Renal Agenesis)
        • Thận đôi- niệu quản đôi (Duplicated Collecting System)
        • Thận lạc chỗ vùng chậu thai nhi (Pelvic Kidney)
        • Thận móng ngựa thai nhi (Horseshoe Kidney)
        • Thận lạc chỗ bắt chéo dính nhau ở thai (Crossed fused renal ectopia)
      • Bất thường thận
        • Bất sản thận hai bên thai nhi (Bilateral Renal Agenesis)
        • Tắc khúc nối bể thận - niệu quản thai nhi (Ureteropelvic Junction Obstruction - UPJ Obstruction)
        • Nang nước tiểu/ Tràn dịch quanh thận ở thai (Urinoma)
        • Loạn sản thận do tắc nghẽn ở thai nhi (Obstructive Renal Dysplasia - ORD)
        • Thận loạn sản đa nang thai nhi (Multicystic Dysplastic Kidney - MCDK)
        • Thận đa nang di truyền lặn thai nhi (Autosomal Recessive Polycystic Kidney Disease - ARPKD)
        • Thận đa nang di truyền trội thai (Autosomal Dominant Polycystic Kidney Disease - ADPKD)
        • U trung mô thận thai nhi (Mesoblastic Nephroma)
      • Bất thường tuyến thượng thận
        • Xuất huyết tuyến thượng thận ở thai nhi (Adrenal Hemorrhage)
        • U nguyên bào thần kinh tuyến thượng thận thai nhi (Neuroblastoma)
        • Tăng sản tuyến thượng thận bẩm sinh (Congenital Adrenal Hyperplasia)
      • Bất thường bàng quang
        • Van Niệu Đạo Sau ở thai nhi (PUV) -Posterior Urethral Valves
        • Hội chứng bụng hình quả mận ở thai (Prune-Belly Syndrome)
        • Sa lồi (nang) niệu quản thai nhi (Ureterocele)
        • Ống niệu rốn thai nhi (Urachus)
      • Bất thường cơ quan sinh dục
        • Rối loạn phát triển giới tính ở thai nhi (DSD) -Disorders of Sex Development
        • Lỗ tiểu thấp (Hypospadias)
        • Nang buồng trứng thai nhi (Ovarian Cyst)
        • Ứ dịch âm đạo thai nhi (Hydrocolpos)/ Ứ dịch âm đạo-tử cung thai nhi(Hydrometrocolpos)
      • Chẩn đoán phân biệt
        • Giãn đường tiết niệu ở thai nhi (Urinary Tract Dilation)
        • Thận tăng âm ở thai nhi (Echogenic Kidneys)
        • Thận to một bên ở thai nhi (Unilateral Enlarged Kidney - UEK)
        • Khối u tuyến thượng thận thai nhi (Suprarenal Mass)
        • Khối ở bìu thai nhi (Fetal Scrotal Mass)
    • Cơ xương khớp thai
      • Tổng quan CXK
        • Tổng quan cơ xương khớp thai nhi (Approach to fetal skeletal)
      • Các loạn sản xương gây chết
        • Loạn sản xương gây chết thai nhi (Thanatophoric Dysplasia - TD)
        • Bất sản sụn/ thiểu sản sụn ở thai nhi (Achondrogenesis & Hypochondrogenesis)
        • Tạo xương bất toàn tuýp II (gây chết) (Osteogenesis Imperfecta Type II - OI II)
        • Hội chứng Đa ngón - Xương sườn ngắn (Short Rib-Polydactyly Syndromes - SRPS)
        • Loạn sản xương cong thai nhi (Campomelic Dysplasia - CD)
        • Loạn sản xương do cốt hóa không hoàn chỉnh (Atelosteogenesis)
        • Bệnh giảm phosphatase kiềm ở thai nhi (Hypophosphatasia - HPP)
      • Loạn sản xương không gây chết
        • Loạn sản sụn ở trẻ em (Achondroplasia)
        • Loạn sản sụn dạng chấm (Chondrodysplasia Punctata)
        • Loạn sản xương đòn - sọ ở thai (Cleidocranial Dysplasia - CCD)
      • Dị tật chi (tay & chân)
        • Cứng đa khớp bẩm sinh (Arthrogryposis Multiplex Congenita - AMC)/Chuỗi biến dạng do thai nhi bất động/giảm động (Fetal Akinesia/Hypokinesia Deformation Sequence - FA(H)DS)
        • Bàn chân khoèo ở thai nhi (Clubfoot)
        • Bàn chân gót lồi- Bàn chân ngựa gỗ (Rocker-Bottom Foot)
        • Dị tật xương quay ở thai (Radial Ray Malformation)
        • Ngón tay vẹo ở thai (Clinodactyly)
        • Tật đa ngón thai (Polydactyly)
        • Tật dính ngón ở thai (Syndactyly)
        • Tật khuyết ngón (Ectrodactyly), tật chẻ bàn tay / bàn chân (Split Hand / Foot Malformation - SHFM) hay tật càng tôm
        • Dị tật cụt chi thai (Amelia ) / Chi hải cẩu (Phocomelia)
        • Loạn sản khu trú đầu trên xương đùi thai nhi (Proximal Focal Femoral Deficiency - PFFD)
        • Thiếu hụt xương mác và xương chày thai (Fibular / Tibial Hemimelia)
        • Hội Chứng Nàng tiên Cá (Sirenomelia)
      • Chẩn đoán phân biệt
        • Ngắn nhẹ xương đùi / xương cánh tay thai (Mildly Short Femur / Humerus)
        • Xương cong ở thai nhi (Curved / Angulated Bones)
        • Bất thường cốt hóa thai (Abnormal Ossification)
    • Bánh nhau, màng ối, dây rốn
      • Bánh nhau
        • Tổng quan bánh nhau và dây rốn (Approach to the Placenta and Umbilical Cord)
        • Nhau bong non (Placental Abruption)
        • Nhau tiền đạo (Placenta Previa) / Nhau bám thấp (Low-Lying Placenta)
        • Nhau cài răng lược (Placenta Accreta Spectrum - PAS)
        • Hồ huyết bánh nhau và huyết khối gai nhau (Placental Lakes & Intervillous Thrombus)
        • Nhau phụ (Succenturiate Lobe)
        • Nhau cuộn mép (Circumvallate Placenta)
        • U máu bánh nhau (Chorioangioma)
        • U quái bánh nhau (Placental Teratoma)
        • Loạn Sản Trung Mô Bánh Nhau (Placental Mesenchymal Dysplasia - PMD)
        • Bánh nhau dày (Placentomegaly)
        • Nang bánh nhau (Placental Cysts)
      • Dây rốn
        • Dây rốn bám mép / Dây rốn bám màng (Marginal Placental Cord Insertion / Velamentous Cord Insertion)
        • Dây rốn một động mạch (Single Umbilical Artery - SUA)
        • Giãn tĩnh mạch rốn thai nhi (Umbilical Vein Varix - UVV)
        • Tồn Tại Tĩnh Mạch Rốn Phải thai nhi (Persistent Right Umbilical Vein - PRUV)
        • Xoắn dây rốn (Umbilical Cord Coiling)
        • Dây rốn thắt nút (True Umbilical Cord Knot)
        • Mạch máu tiền đạo (Vasa Previa )
        • Nang dây rốn (Umbilical Cord Cysts)
        • Huyết khối mạch máu rốn (Umbilical Vessel Thrombosis)
      • Màng ối
        • Vách ngăn buồng ối/ Dính buồng tử cung (Amniotic Sheets/ Uterine Synechiae)
        • Tách màng đệm - màng ối (Chorioamniotic Separation - CAS)
        • Thiểu ối và Vô ối (Oligohydramnios & Anhydramnios).
        • Đa ối (Polyhydramnios)
    • Lệch bội
      • Lệch bội
        • Sàng lọc và Chẩn đoán Lệch bội (Genetic Screening)
        • Hội chứng Down (Trisomy 21 - T21)
        • Hội chứng Edwards (Trisomy 18)
        • Hội Chứng Patau (Trisomy 13)
        • Hội Chứng Turner (Turner Syndrome - TS)
        • Thể Tam bội (Triploidy)
    • Các hội chứng và rối loạn đa hệ thống
      • Hội chứng di truyền
        • Hội Chứng Mất Đoạn 22q11.2 (Hội chứng Digeorge)
        • Hội Chứng Wolf-Hirschhorn (Wolf-Hirschhorn Syndrome - WHS)
        • Hội Chứng Noonan (Noonan Syndrome - NS)
        • Hội Chứng Miller-Dieker (Mất đoạn 17p - Nhẵn não).
      • Hội chứng sọ mặt
        • Hội Chứng Apert (Dính khớp sọ + Bàn tay găng tay).
        • Hội Chứng Pfeiffer (Dính khớp sọ + Ngón cái to).
        • Hội Chứng Crouzon (Dính khớp sọ mặt)
        • Treacher Collins Syndrome (Loạn sản xương hàm mặt)
        • Pierre Robin Sequence (Chuỗi dị tật hàm nhỏ - chẻ vòm)
      • Hội chứng quá phát và chuyển hóa
        • Hội Chứng Beckwith-Wiedemann (Tạng to, lưỡi to, thoát vị bụng).
        • Bệnh xơ nang ở thai- Cystic Fibrosis (ruột tăng âm)
        • Vôi hóa động mạch sơ sinh vô căn (Idiopathic Infantile Arterial Calcification - IIAC)
      • Hội chứng cơ học
        • Hội Chứng Klippel-Trenaunay thai nhi (Klippel-Trenaunay Syndrome - KTS)
        • Hội Chứng Dải sợi ối (Amniotic Band Syndrome - ABS)
        • Hội chứng đa màng cánh (Multiple Pterygium Syndromes - Cứng đa khớp)
      • Hội chứng thần kinh và lông chuyển
        • Hội Chứng Joubert thai nhi (Dấu hiệu răng hàm ở tiểu não)
        • Hội Chứng Walker-Warburg (Loạn dưỡng cơ - Não - Mắt)
        • Hội Chứng Meckel-Gruber (Tam chứng: Thoát vị não, đa nang thận, đa ngón)
        • Hội Chứng Neu-Laxova (Dị dạng não nặng, phù da, lùn)
      • Phức hợp và phổ bệnh lý
        • Phức hợp VACTERL (Phối hợp dị tật cột sống, hậu môn, tim, thận...)
        • Hội Chứng CHARGE (Mắt, tim, mũi, sinh dục, tai)
        • Hội Chứng Holt-Oram (Hội chứng Tim - Tay)
        • Hội chứng Fryns (Thoát vị hoành, mặt thô, teo đầu chi).
        • Hội Chứng PHACES ở thai (U máu mặt lớn và dị tật phối hợp)
        • Bệnh Lý Thai Do Warfarin (tẹt mũi)
    • Đa thai
      • Nền tảng tiếp cận
        • Bánh nhau- túi ối trong song thai (Chorionicity- Amnionicity)
        • Song thai Hai nhau - Hai ối (Dichorionic Diamniotic Twins - DCDA)
        • Song thai Một nhau - Hai ối (Monochorionic Diamniotic Twins - MCDA)
        • Dán nhãn và Đánh giá tương hợp Song thai (Fetal Labeling & Concordance Assessment)
        • Dây rốn quấn nhau ở song thai (Cord entanglement)
      • Biến chứng song thai một bánh nhau
        • Hội chứng truyền máu song thai (Twin-Twin Transfusion Syndrome - TTTS)
        • Thai chậm Tăng trưởng chọn lọc trong sinh đôi (Selective Fetal Growth Restriction - sFGR)
        • Hội Chứng Thiếu Máu – Đa Hồng Cầu Song Thai (Twin Anemia-Polycythemia Sequence - TAPS)
        • Hội Chứng Đảo ngược tưới máu Động mạch Song Thai một bánh nhau (Twin Reversed Arterial Perfusion - TRAPS):
      • Song thai một nhau một ối
        • Song thai Một Nhau- Một Ối (Monochorionic Monoamniotic - MCMA)
        • Song Thai Dính Liền (Conjoined Twins)
        • Thai Trong Thai (Fetus-in-Fetu - FIF)
      • Đa thai và biến chứng chung
        • Sinh ba và đa thai bậc cao (Triplets and Beyond)
        • Bất thường hình thái không đồng thời ở song thai (Discordant Anomalies)
        • Thai lưu một bé trong đa thai (Single Fetal Demise - sIUFD)
    • Nhiễm trùng thai
      • Nhiễm trùng thai
        • Tiếp cận nhiễm trùng bào thai (Fetal Infection)
        • Nhiễm Cytomegalovirus (CMV) bào thai
        • Nhiễm Parvovirus B19 bào thai
        • Nhiễm trùng Toxoplasma bào thai
    • Tăng trưởng, sức khỏe thai nhi
      • Sinh trắc học thai
        • Sinh trắc học thai nhi (Fetal Biometry)
        • Thai chậm tăng trưởng trong Tử Cung (Fetal Growth Restriction - FGR)
        • Thai To (Macrosomia)
        • Doppler trong sản khoa
        • Thiếu máu thai nhi (Fetal Anemia)
        • Phù Thai (Hydrops Fetalis)
    • Bệnh lý mẹ trong thai kỳ
      • Tử cung
        • U xơ tử cung trong thai kỳ (Myoma in Pregnancy)
        • Dị dạng tử cung trong thai kỳ (Müllerian Duct Anomalies in Pregnancy)
        • Mất liên tục và Vỡ tử cung (Uterine Dehiscence/Rupture)
        • Lạc nội mạc trong cơ tử cung (Adenomyosis) trong thai kỳ
        • (Hở eo tử cung và Cổ tử cung ngắn) Cervical Insufficiency/Short Cervix
        • Đánh giá khâu eo tử cung (Cervical Cerclage)
        • Sót nhau (Retained Products of Conception - RPOC)
      • Phần phụ và vùng chậu
        • Khối u phần phụ trong thai kỳ (Adnexal Mass in Pregnancy)
        • Xoắn buồng trứng trong thai kỳ (Ovarian Torsion in Pregnancy).
        • Viêm ruột thừa trong thai kỳ (Acute Appendicitis in Pregnancy)
  • Siêu âm tim thai
    • I. Giải phẫu và phôi thai học
      • Tổng quan
        • Phôi thai học tim thai (Embryology of the Heart)
    • II. Các mặt cắt tim thai
      • Mặt cắt tim thai
        • Các mặt cắt siêu âm tim thai (Guidelines for Fetal Cardiac Imaging)
    • III. Bệnh lý tim thai
      • Khiếm khuyết vách
        • Thông liên nhĩ lỗ nguyên phát (ASD I) - Kênh nhĩ thất bán phần (Partial AVSD)
        • Thông liên nhĩ xoang tĩnh mạch (ASD-sv)
        • Thông liên nhĩ xoang vành (ASD-cs)
        • Phình lỗ bầu dục- phình vách liên nhĩ (redundancy of the foramen ovale flap)
        • Thông liên thất phần cơ (Muscular VSD)
        • Thông liên thất phần màng (Perimembranous VSD)
        • Thông liên thất phần nhận (Inlet VSD)
        • Thông liên thất phần thoát (Outlet VSD)
        • Kênh nhĩ thất toàn phần (complete AVSD)
        • Kênh nhĩ thất không cân bằng (unbalanced AVSD)
      • Bất thường thất phải
        • Bất thường Ebstein
        • Loạn sản van ba lá
        • Teo van ba lá
        • Hở van 3 lá
      • Bất thường thất trái
        • Hội chứng thiểu sản tim trái (Hypoplastic Left Heart Syndrome)
        • Thất hai đường vào (Double inlet ventricle)
      • Bất thường động mạch và ống động mạch
        • Hẹp van động mạch phổi
        • Tắc nghẽn van động mạch phổi với vách liên thất nguyên vẹn (PA-IVS)
        • Hẹp van động mạch chủ nghiêm trọng
        • Hẹp van động mạch chủ
        • Teo van Động Mạch Phổi kèm Thông Liên Thất
        • Không van động mạch phổi
        • Hẹp eo động mạch chủ
        • Gián đoạn cung động mạch chủ
        • Cung động mạch chủ bên phải với ống động mạch bên phải
        • RAA U-sign
        • Cung động mạch chủ đôi
        • Động mạch dưới đòn phải lạc chỗ
        • Ống động mạch hình chữ S (S-Shaped DA), gấp khúc hoặc ngoằn ngoèo
        • Co thắt ống động mạch
        • Cửa sổ phế chủ
        • Vòng động mạch phổi (Pulmonary arterial sling)
        • Dò động mạch vành
        • Dò động mạch phổi phải vào tâm nhĩ trái
      • Bất thường hệ thống tĩnh mạch
        • Tồn tại tĩnh mạch rốn phải (PRUV)
        • GIÃN TĨNH MẠCH RỐN (UVV)
        • Shunt tĩnh mạch rốn- cửa- chủ (Bất sản ống tĩnh mạch DV)
        • SHUNT CỬA-CHỦ (PORTOSYSTEMIC SHUNT)
        • Tồn tại tĩnh mạch chủ trên trái (LSVC)
        • Gián đoạn tĩnh mạch chủ dưới và tiếp nối với tĩnh mạch đơn (Azygos)
        • Bất thường hồi lưu tĩnh mạch phổi toàn phần (TAPVC)
        • Bất thường hồi lưu tĩnh mạch phổi bán phần (PAPVC)
      • Bất thường thân nón
        • Thất phải hai đường ra
        • Tứ chứng Fallot
        • Thân chung động mạch
        • Hoán vị đại động mạch
        • Hoán vị đại động mạch có sửa chữa
      • Bất thường vị trí
        • Bất thường vị trí tim
        • Đồng dạng trái
        • Đồng dạng phải
      • Bệnh lý cơ tim và màng tim
        • Bệnh cơ tim giãn nở
        • Bệnh cơ tim phì đại
        • U cơ vân tim
        • U quái tim
        • Tràn dịch màng ngoài tim
        • phình/ túi thừa tâm thất
      • Rối loạn nhịp tim
        • Ngoại tâm thu
        • Rối loạn nhịp nhanh
        • Rối loạn nhịp chậm
  • Hệ tiêu hóa
    • Thực quản
      • Giải phẫu
        • Giải phẫu thực quản (Anatomy esophagus)
        • MÀNG NGĂN THỰC QUẢN (ESOPHAGEAL WEBS)
      • Bệnh lý viêm nhiễm thực quản
        • VIÊM THỰC QUẢN CANDIDA (Candida Esophagitis)
        • Viêm thực quản do virus (Viral Esophagitis)
        • Viêm thực quản trào ngược (Reflux Esophagitis)
      • Bệnh lý thoái hóa
        • VÒNG SCHATZKI (Schatzki Ring)
        • Rối loạn cơ nhẫn hầu (Cricopharyngeal Achalasia)
        • Co thắt tâm vị thực quản (Esophageal Achalasia)
        • Thực quản xơ cứng bì (Scleroderma gastrointestinal manifestations)
        • Co thắt thực quản lan tỏa (Diffuse esophageal spasm)
        • Thoát vị hoành (Hiatal Hernia)
      • Bệnh lý túi thừa
        • Túi thừa zenker (Zenker diverticulum)
        • Giả túi thừa (Intramural Pseudodiverticulosis)
        • Túi thừa thực quản do kéo (Traction Diverticulum)
        • Túi thừa đẩy (Pulsion Diverticulum)
      • Bệnh lý chấn thương
        • Dị vật thực quản (Esophageal Foreign Body)
        • Thủng thực quản (Esophageal Perforation)
        • Hội chứng Boerhaave (Boerhaave Syndrome)
      • Giãn tĩnh mạch thực quản
        • Giãn tĩnh mạch thực quản (Esophageal varices)
      • Sau phẫu thuật
        • Phẫu thuật cắt bỏ thực quản Ivor-Lewis (Ivor-Lewis procedure)
      • Khối u thực quản
        • U dưới niêm thực quản (Intramural Benign Esophageal Tumors)
        • Ung thư thực quản (Esophageal Carcinoma)
        • Di căn và lymphoma thực quản (Esophageal Metastases and Lymphoma)
        • Phân giai đoạn Ung thư biểu mô thực quản (Esophageal and esophagogastric junction squamous cell carcinoma (staging))
    • Dạ dày
      • Bệnh lý túi thừa
        • Túi thừa dạ dày (Gastric Diverticulum)
      • Bệnh lý viêm
        • Viêm dạ dày (Gastritis)
        • Hội chứng Zollinger-Ellison (Zollinger-Ellison Syndrome -ZES)
        • Bệnh Ménétrier (Ménétrier Disease)
      • Bệnh lý thoái hóa
        • Liệt dạ dày (Gastroparesis)
        • Sỏi dạ dày (Gastric Bezoar)
        • Xoắn dạ dày (Gastric Volvulus)
        • Tắc nghẽn đường ra dạ dày (Gastric outlet obstruction)
      • Phẫu thuật dạ dày
        • Biến chứng của phẫu thuật tạo nếp đáy vị (Fundoplication Complications)
      • Khối u dạ dày
        • Polyp dạ dày (Gastric Polyps)
        • U mô đệm đường tiêu hóa (Gastrointestinal stromal tumor - GIST)
        • Ung thư biểu mô tuyến dạ dày (Gastric adenocarcinoma)
        • Di căn dạ dày và U lympho dạ dày (Gastric Metastases and Lymphoma)
        • U mỡ dạ dày (Gastric lipoma)
        • U cơ trơn dạ dày (Gastric leiomyoma)
        • Linitis plastica
        • Phân loại giai đoạn ung thư dạ dày (Gastric cancer (TNM staging))
    • Tá tràng
      • Bệnh lý bẩm sinh
        • Túi thừa tá tràng (Duodenal Diverticulum)
        • Màng ngăn tá tràng (Duodenal web/intraluminal duodenal diverticulum)
        • Teo tá tràng (Duodenal atresia)
      • Bệnh lý viêm
        • Viêm tá tràng (Duodenitis)
        • Loét tá tràng (Duodenal Ulcer)
        • Thủng do loét dạ dày-tá tràng (Perforated peptic ulcer)
      • Bệnh lý mạch máu
        • Hội chứng động mạch mạc treo tràng trên (Superior mesenteric artery syndrome - SMA)
      • Biến chứng sau phẫu thuật
        • Rò động mạch chủ - ruột (Aortoenteric Fistula)
      • U tá tràng
        • Polyp tá tràng (Duodenal Polyps)
        • Di căn tá tràng và u lympho (Duodenal Metastases and Lymphoma)
        • Ung thư biểu mô tuyến tá tràng (Duodenal adenocarcinoma)
    • Ruột non
      • Bệnh lý bẩm sinh
        • Ruột xoay bất toàn (Intestinal malrotation)
        • Túi thừa Meckel (Meckel Diverticulum)
        • Nang đôi (Duplication Cyst)
        • Túi thừa hỗng - hồi tràng (Jejunoileal diverticulitis)
      • Bệnh lý viêm
        • Viêm hạch mạc treo (Mesenteric adenitis)
        • Bệnh Celiac (Celiac disease)
        • Bệnh tế bào mast (Mastocytosis)
        • Bệnh Crohn (Crohn Disease)
        • Viêm ruột nhiễm trùng (Infective enteritis)
        • Viêm ruột non (Enteritis)
        • Phù mạch ruột (Intestinal angioedema)
        • Giun đũa ruột non (Ascariasis)
      • Bệnh lý thoái hóa
        • Khí trong thành ruột (Intramural bowel gas)
        • Liệt ruột cơ năng (Adynamic ileus)
        • Tắc ruột non (Small Bowel Obstruction - SBO)
        • Lồng ruột (Intussusception)
        • Tắc ruột do sỏi mật (Gallstone Ileus)
        • Tắc ruột quai kín (Closed Loop Obstruction)
        • Xoắn ruột non (Midgut volvulus)
        • Bóng khí trong thành ruột (Pneumatosis cystoides intestinalis)
        • Dính ruột (Abdominal adhesions)
        • Thủng ruột non (Small bowel perforation)
      • Bệnh lý mạch máu
        • Giãn bạch mạch ruột (Intestinal Lymphangiectasia)
        • Thiếu máu ruột non (Small bowel ischemia)
      • Sau điều trị
        • Viêm ruột do xạ trị (Radiation-induced enteritis)
        • Mở hồi tràng ra da (Ileostomy)
        • Ghép ruột (Intestinal transplant)
      • Bệnh lý chấn thương
        • Chấn thương ruột và mạc treo (Bowel and mesenteric trauma)
        • Sốc ruột (Shock bowel)
      • Khối u ruột non
        • U mỡ đường tiêu hóa (Gastrointestinal tract lipomas)
        • U cơ trơn ruột non (Small bowel leiomyoma)
        • U thần kinh nội tiết ruột non (Small bowel neuroendocrine tumor - SBNET)
        • U mỡ van hồi manh tràng (Lipoma of ileocecal valve)
        • Lắng đọng mỡ van hồi-manh tràng (Lipomatosis of the ileocecal valve)
        • Hội chứng đa polyp Peutz-Jeghers (Peutz-Jeghers syndrome)
        • Ung thư biểu mô tuyến ruột non (Adenocarcinoma of the small bowel)
        • Lymphoma ruột non (Small bowel lymphoma)
      • Bệnh lý ruột thừa
        • Sỏi ruột thừa (Appendicolith)
        • Viêm ruột thừa cấp (Acute appendicitis)
        • Viêm ruột thừa dưới gan (Subhepatic appendicitis)
        • Áp xe ruột thừa (Appendicular abscess)
        • Thủng ruột thừa (Perforated appendix)
        • Đám quánh ruột thừa (Appendiceal phlegmon)
        • Viêm mỏm ruột thừa (Stump appendicitis)
        • U nhầy ruột thừa (Appendiceal mucocele)
        • Lồng ruột thừa (Appendiceal intussusception)
        • U tân sinh ruột thừa (Appendiceal neoplasms)
    • Đại tràng
      • Bệnh lý viêm nhiễm
        • Viêm đại tràng do xạ trị (Radiation colitis)
        • Viêm đại tràng nhiễm trùng (Infectious colitis)
        • Viêm manh tràng giảm bạch cầu (Neutropenic Colitis [Typhlitis])
        • Viêm loét đại tràng (Ulcerative Colitis)
        • Phình đại tràng nhiễm độc (Toxic megacolon)
        • Viêm đại tràng thiếu máu cục bộ (Ischemic colitis)
        • Viêm ruột thừa (Appendicitis (summary))
        • Viêm túi thừa đại tràng (Diverticulitis)
        • Viêm bờm mỡ đại tràng (Epiploic appendagitis)
      • Bệnh lý thoái hóa
        • Túi thừa đại tràng (Colonic diverticulosis)
        • Xoắn đại tràng sigma (Sigmoid volvulus)
        • Xoắn manh tràng (Cecal volvulus)
        • Giả tắc đại tràng cấp/ Hội chứng Ogilvie (Colonic pseudo-obstruction)
        • Tắc phân (Fecal impaction)
        • Thủng đại tràng do ứ phân (Stercoral perforation)
        • Viêm đại tràng do ứ phân (Stercoral colitis)
        • Sa trực tràng (Rectal prolapse)
        • Tắc đại tràng (Large Bowel Obstruction - LBO)
        • Sỏi phân (Fecolith)
        • Thủng đại tràng (Large bowel perforation)
      • Khối u đại tràng
        • U nhầy ruột thừa (Appendiceal mucocele)
        • Nang đuôi ruột (Tailgut cyst)
        • Polyp đại tràng (Colon polyp)
        • Hội chứng đa polyp tuyến gia đình (Familial Adenomatous Polyposis- FAP)
        • Ung thư đại trực tràng (Colorectal Cancer - CRC)
        • Polyp nhung mao đại trực tràng (Colorectal villous polyps)
        • Ung thư trực tràng (Rectal cancer)
        • U thần kinh nội tiết ruột thừa (Appendiceal neuroendocrine tumor)
        • Lymphoma đại trực tràng (Large bowel lymphoma)
        • Phân loại giai đoạn ung thư đại trực tràng (Colorectal cancer (staging))
        • Phân loại giai đoạn ung thư trực tràng (Rectal cancer (staging))
      • Bệnh lý hậu môn
        • Rò hậu môn (Perianal fistula)
    • Lách
      • Giải phẫu
      • Biến thể giải phẫu
        • Lách phụ (Splenunculus)
        • Lách ngựa vằn (Zebra spleen)
      • Bệnh lý bẩm sinh
        • Hội chứng vô lách (Asplenia syndrome)
        • Hội chứng đa lách (Polysplenia syndrome)
        • Lách lang thang (Wandering spleen)
      • Bệnh lý viêm nhiễm
        • Áp xe lách (Splenic abscess)
        • Nang sán chó ở lách (Splenic hydatid infection)
        • Nhiễm Candida ở gan lách (Hepatosplenic candidiasis)
      • Bệnh lý thoái hóa
        • Lách to (Splenomegaly)
        • Nốt lắng đọng sắt ở lách (Splenic siderotic nodules)
        • Teo lách (Autosplenectomy)
        • Xoắn lách (Splenic volvulus)
        • Vôi hóa lách (Splenic calcification)
      • Bệnh lý mạch máu
        • Nhồi máu lách (Splenic infarction)
      • Bệnh lý chấn thương
        • Chấn thương lách (Splenic trauma)
        • Lách lạc chỗ (Splenosis)
        • Phân độ chấn thương lách (AAST spleen injury scale)
        • Vỡ lách tự phát (Spontaneous splenic rupture)
      • Khối u ở lách
        • Nang lách (Splenic Cyst)
        • U máu lách (Splenic hemangioma)
        • U mạch bạch huyết lách (Splenic lymphangioma)
        • Lymphoma lách (Splenic lymphoma)
        • Hamartoma lách (Splenic hamartoma)
        • U mạch máu ác tính lách (Splenic angiosarcoma)
        • Di căn lách (Splenic metastases)
        • Tạo máu ngoài tủy tại lách (Extramedullary hematopoiesis in the spleen)
    • Gan
      • Giải phẫu
        • Giải phẫu phân thùy gan theo Couinaud (Couinaud classification of hepatic segments)
      • Bất thường bẩm sinh
        • Xơ gan bẩm sinh (Congenital Hepatic Fibrosis - CHF)
        • Bệnh gan đa nang (Polycystic Liver Disease - PCLD)
        • Biến thể giải phẫu động mạch gan (Variant hepatic arterial anatomy)
      • Bệnh lý viêm nhiễm
        • Áp xe gan (Hepatic abscess)
        • Lao gan lách (Hepatic and splenic tuberculosis)
        • Bệnh nang sán gan (Hepatic hydatid infection)
        • Áp xe gan do amip (Amoebic hepatic abscess)
        • Bệnh sán máng (các biểu hiện ở gan) - Schistosomiasis (hepatic manifestations)
        • Viêm gan cấp (Acute hepatitis)
        • Viêm gan tự miễn (Autoimmune Hepatitis - AIH)
        • Xơ gan mật nguyên phát (Primary Biliary Cholangitis - PBC)
      • Khối u ở gan
        • Xơ gan hợp lưu (Confluent hepatic fibrosis)
        • Nốt tái tạo gan (Regenerative liver nodule)
        • Chẩn đoán phân biệt các nốt gan xơ (Cirrhotic liver nodules - differential)
        • Nang quanh đường mật (Peribiliary cyst)
        • Nang gan đơn giản (Simple hepatic cyst)
        • U máu gan (Hepatic Hemangioma / Hepatic Venous Malformation)
        • Tăng sản nốt khu trú (Focal Nodular Hyperplasia - FNH)
        • Adenoma tế bào gan (Hepatocellular Adenoma - HCA)
        • Đa u mô thừa đường mật/Hamartoma đường mật đa ổ (Multiple Biliary Hamartomas - MBH)
        • U cơ mỡ mạch gan (Hepatic Angiomyolipoma - AML)
        • Viêm giả u ở gan (Hepatic Inflammatory Pseudotumor - IPT)
        • Ung thư biểu mô tế bào gan (Hepatocellular Carcinoma - HCC)
        • Ung thư biểu mô tế bào gan dạng sợi (Fibrolamellar Hepatocellular Carcinoma - FL-HCC)
        • U nội mô mạch máu dạng biểu mô ở gan (Epithelioid Hemangioendothelioma - EHE)
        • U tuyến nang đường mật (Biliary Cystadenoma)
        • Sarcoma mạch máu gan (Hepatic angiosarcoma)
        • Di căn gan (Hepatic Metastases)
        • Lymphoma gan (Hepatic Lymphoma)
        • Ung thư đường mật trong gan (Intrahepatic Cholangiocarcinoma - ICC)
        • Phân loại giai đoạn Ung thư gan (Hepatocellular Carcinoma staging)
      • Chấn thương
        • Chấn thương gan (Liver trauma)
      • Bệnh lý chuyển hóa
        • Gan nhiễm mỡ (Steatotic liver disease)
        • Gan nhiễm mỡ khu trú (Focal hepatic steatosis)
        • Gan nhiễm mỡ lan tỏa (Diffuse hepatic steatosis)
        • Lắng đọng amiodarone trong gan (Amiodarone deposition in the liver)
        • Xơ gan (Cirrhosis)
        • Gan ứ đọng sắt (Hemochromatosis)
        • Gan to (Hepatomegaly)
      • Bệnh lý mạch máu
        • Thay đổi đậm độ gan thoáng qua trên CT (Transient hepatic attenuation differences - THADs)
        • Thay đổi tín hiệu gan thoáng qua trên MRI (Transient hepatic intensity difference - THIDs)
        • Shunt động- tĩnh mạch cửa trong gan (Intrahepatic arterioportal shunt)
        • Huyết khối tĩnh mạch cửa (Portal vein thrombosis - PVT)
        • Tắc nghẽn gan thụ động (Passive hepatic congestion)
        • Hội chứng Budd-Chiari (Budd-Chiari syndrome)
        • Tăng áp lực tĩnh mạch cửa (Portal Hypertension)
        • Nhồi máu gan (Hepatic infarction)
        • Giãn mao mạch xoang gan (Hepatic peliosis)
        • Giãn mạch xuất huyết di truyền (Hereditary Hemorrhagic Telangiectasia - HHT)
        • Shunt cửa chủ trong gan qua tĩnh mạch cảnh (Transjugular intrahepatic portosystemic shunt - TIPS/TIPSS)
        • Giãn tĩnh mạch cửa (Portal venous varix)
        • Khí trong tĩnh mạch cửa (Portal venous gas)
        • Màng ngăn tĩnh mạch chủ dưới (Inferior Vena Cava - IVC webs)
        • Huyết khối tĩnh mạch chủ dưới (Inferior Vena Cava - IVC thrombosis)
    • Đường mật
      • Giải phẫu
        • Các biến thể giải phẫu đường mật (Biliary tree anatomy)
      • Bệnh lý bẩm sinh
        • Nang ống mật chủ (Choledochal Cyst)
        • Bệnh Caroli và Hội chứng Caroli (Caroli disease)
        • Bất sản túi mật (Gallbladder agenesis)
        • Teo đường mật (Biliary Atresia - BA)
        • Túi mật nhiều túi (Multiple Gallbladders)
        • Ống mật đôi (Bile duct duplication)
        • Túi mật có vách ngăn (Septate Gallbladder)
        • Túi mật hình mũ Phrygian (Phrygian Cap)
        • Túi thừa túi mật (Gallbladder Diverticula)
      • Bệnh lý viêm nhiễm
        • Viêm túi mật hoại tử sinh hơi (Emphysematous Cholecystitis)
        • Viêm gan mật mủ tái phát (Recurrent pyogenic cholangiohepatitis)
        • Viêm đường mật cấp (Acute cholangitis)
        • Giun đũa đường mật (Biliary ascariasis)
        • Viêm đường mật do AIDS (AIDS cholangiopathy)
        • Tụ mủ túi mật (Gallbladder empyema)
        • Viêm túi mật cấp không sỏi (Acute acalculous cholecystitis)
        • Viêm túi mật u hạt vàng (Xanthogranulomatous cholecystitis - XGC)
        • Viêm đường mật tự miễn (IgG4-related sclerosing cholangitis - IgG4-RSC)
        • Viêm xơ đường mật nguyên phát (Primary Sclerosing Cholangitis - PSC)
        • Viêm túi mật cấp (Acute cholecystitis)
        • Viêm túi mật hoại tử (Gangrenous cholecystitis)
        • Viêm túi mật mạn tính (Chronic cholecystitis)
        • Thủng túi mật (Gallbladder perforation)
        • Viêm túi mật xuất huyết (Hemorrhagic cholecystitis)
        • Viêm đường mật nguyên phát (Primary Biliary Cholangitis)
      • Bệnh lý sỏi mật
        • Ứ nước túi mật (Gallbladder hydrops)
        • Sỏi ống mật chủ (Choledocholithiasis - CBD)
        • Sỏi bùn túi mật (Gallbladder sludge)
        • Hội chứng Mirizzi (Mirizzi Syndrome)
        • Bệnh cơ tuyến túi mật (Adenomyomatosis of the gallbladder)
        • Ứ đọng Cholesterol thành túi mật (Gallbladder wall cholesterolosis)
        • Túi mật sứ (Porcelain gallbladder)
        • Lắng đọng sữa canxi ở túi mật (Milk of calcium gallbladder)/ Dịch mật vôi (Limy Bile)
        • Sỏi túi mật (Gallstones)
        • Sỏi đường mật trong gan (Hepatolithiasis)
      • Bệnh lý thứ phát
        • Xoắn túi mật (Gallbladder volvulus)
        • Khí trong đường mật (Pneumobilia)
      • Bệnh lý mạch máu
        • Tổn thương đường mật dạng thiếu máu cục bộ (Ischemic-Type Biliary Lesions - ITBL)
      • Chấn thương
        • Ổ tụ mật (Biloma)
        • Tổn thương đường mật (Bile Duct Injuries - BDI)
      • Khối U đường mật
        • Polyp túi mật (Gallbladder Polyps)
        • Ung thư túi mật (Gallbladder Carcinoma)
        • Ung thư bóng Vater (Ampullary Adenocarcinoma)
        • U nhú trong ống mật (Intraductal Papillary Neoplasm of the Bile Duct - IPNB)
        • Ung thư đường mật (Cholangiocarcinoma)
        • U Klatskin (Ung thư đường mật vùng rốn gan)
        • Lymphoma túi mật (Gallbladder lymphoma)
        • U di căn túi mật (Gallbladder metastases)
        • Phân loại giai đoạn ung thư túi mật (Gallbladder cancer staging)
        • Phân loại giai đoạn ung thư đường mật trong gan (Intrahepatic cholangiocarcinoma (staging))
        • Phân loại giai đoạn u đường mật vùng rốn gan Klatskin (Perihilar cholangiocarcinoma (staging))
    • Tụy
      • Giải phẫu
      • Bệnh lý bẩm sinh
        • Bất sản tụy lưng (Agenesis of the Dorsal Pancreas)
        • Tụy vòng/ Tụy hình nhẫn (Annular pancreas)
        • Tụy đôi (Pancreas divisum)
        • Mô tụy lạc chỗ (Ectopic Pancreatic Tissue)
        • Ống tụy chính ngoằn ngoèo (Meandering main pancreatic duct)
        • Ống tụy hình quai (Ansa pancreatica)
      • Bệnh lý viêm nhiễm
        • Viêm tụy cấp (Acute Pancreatitis)
        • Viêm tụy mạn (Chronic Pancreatitis)
        • Tụy nhiễm mỡ (Pancreatic Lipomatosis)
        • Viêm tụy rãnh tá tụy/ Viêm tụy cạnh tá tràng (Groove Pancreatitis)
        • Viêm tụy tự miễn (Autoimmune Pancreatitis - AIP)
        • Viêm tụy hoại tử (Necrotizing pancreatitis)
        • Ổ tụ dịch cấp tính quanh tụy (Acute Peripancreatic Fluid Collection - APFC)
        • Nang giả tụy (Pancreatic pseudocyst)
        • Ổ tụ dịch hoại tử cấp tính (Acute Necrotic Collection - ANC)
        • Hoại tử có vách (Walled-off Pancreatic Necrosis - WOPN hoặc WON)
        • Teo nhu mô tụy (Pancreatic atrophy)
      • Bệnh lý chấn thương
        • Chấn thương tụy (Pancreatic Trauma)
      • Phương pháp can thiệp
        • Phẫu thuật cắt khối tá-tụy/ Phẫu thuật Whipple (Whipple Procedure)
        • Thủ thuật Frey (Frey procedure)
        • Ghép tụy (Pancreas Transplant)
      • Khối u ở tụy
        • U nang tuyến thanh dịch của tụy (Serous Cystadenoma of the Pancreas)
        • Nang tụy đơn giản (Simple Pancreatic Cysts)
        • Ung thư biểu mô tuyến ống tụy (Pancreatic Ductal Adenocarcinoma - PDAC)
        • U nang tuyến nhầy của tụy (Mucinous Cystic Neoplasm - MCN)
        • Carcinoma nang tuyến nhầy của tụy (Mucinous Cystadenocarcinoma - MCAC)
        • U nhầy nhú trong ống tụy (Intraductal Papillary Mucinous Neoplasm - IPMN)
        • U nội tiết tụy (Pancreatic Neuroendocrine Tumors - pNET)
        • U đặc giả nhú của tụy (Solid Pseudopapillary Neoplasm - SPN)
        • U di căn tụy (Pancreatic Metastases)
        • Lymphoma tụy (Pancreatic Lymphoma)
        • Ung thư biểu mô tế bào nang tuyến tụy (Pancreatic Acinar Cell Carcinoma - ACC)
        • U mỡ tụy (Pancreatic Lipoma)
    • Phúc mạc, Mạc treo, và Thành bụng
      • Giải phẫu
      • Bệnh lý viêm nhiễm
        • Viêm phúc mạc (Peritonitis)
        • Viêm mạc treo xơ hóa (Sclerosing Mesenteritis)
        • Viêm phúc mạc xơ hóa kén bọc (Encapsulating peritoneal sclerosis)
      • Bệnh lý thứ phát
        • Tràn dịch màng bụng (Ascites)
        • Nhồi máu mạc nối lớn (Omental Infarction)
      • Thoát vị ngoại
        • Thoát vị bẹn (Inguinal Hernia)
        • Thoát vị đùi (Femoral Hernia)
        • Thoát vị bịt (Obturator Hernia)
        • Thoát vị vết mổ (Incisional Hernia)
        • Thoát vị đường giữa bụng (Epigastric Hernia)
        • Thoát vị bụng bên (Spigelian Hernia)
        • Thoát vị thắt lưng (Lumbar Hernia)
        • Thoát vị rốn (Umbilical Hernia)
      • Thoát vị nội
        • Thoát vị cạnh tá tràng (Paraduodenal Hernia)
        • Thoát vị Bochdalek (Bochdalek Hernia)
        • Thoát vị Morgagni (Morgagni Hernia)
        • Thoát vị thành bụng do chấn thương (Traumatic Abdominal Wall Hernia)
        • Thoát vị nội sau phẫu thuật nối dạ dày (Internal Hernia due to Gastric Bypass Surgery)
        • Thoát vị Nội (Internal Hernia)
        • Thoát vị trên bàng quang (Internal Supravesical Hernia)
        • Thoát vị mạc treo ruột non (Small Bowel Mesentery Internal Hernia)
        • Thoát vị hậu cung mạc nối (Lesser sac hernia / Foramen of Winslow Hernia)
        • Thoát vị quanh manh tràng (Pericaecal Hernia)
        • Thoát vị mạc treo đại tràng sigma (Sigmoid Mesocolon Hernia)
        • Thoát vị qua dây chằng rộng (Broad Ligament Hernia)
      • Bệnh lý mạch máu
        • Phình động mạch tạng (Visceral Artery Aneurysms - VAA)
        • Phình động mạch thân tạng (Celiac Artery Aneurysm - CAA)
        • Phình động mạch mạc treo tràng dưới (Inferior Mesenteric Artery - IMA Aneurysm)
        • Phình động mạch lách (Splenic Artery Aneurysm - SAA)
        • Phình động mạch gan (Hepatic Artery Aneurysm - HAA)
        • Phình động mạch thận (Renal Artery Aneurysm - RAA)
        • Giả phình động mạch túi mật (Cystic Artery Pseudoaneurysm - CAP)
        • Giả phình mạch quanh tụy (Peripancreatic Pseudoaneurysm)
        • Giả phình động mạch thận (Renal Artery Pseudoaneurysm)
        • Giả phình động mạch lách (Splenic Artery Pseudoaneurysm - SAPA)
      • Chấn thương
        • Vỡ cơ hoành do chấn thương (Traumatic Diaphragmatic Rupture)
        • Khí tự do trong ổ bụng sau mổ (Postoperative Free Intraperitoneal Gas)
        • Dính ruột trong ổ bụng (Abdominal Adhesions)
      • Khối u phúc mạc
        • Nang vùi phúc mạc (Peritoneal Inclusion Cyst)
        • Nang mạc treo (Mesenteric cyst)
        • U Desmoid mạc treo (Mesenteric desmoid tumor)
        • U trung biểu mô phúc mạc ác tính (Malignant Peritoneal Mesothelioma)
        • U di căn phúc mạc (Peritoneal Metastases)
        • U giả nhầy phúc mạc (Pseudomyxoma peritonei - PMP)
        • Lao phúc mạc (Tuberculous peritonitis)
        • Lymphoma mạc treo (mesenteric lymphoma)
        • Bánh mạc nối (Omental cake)
        • U cơ trơn phúc mạc lan tỏa (Diffuse peritoneal leiomyomatosis)
  • Não
    • Bất thường bẩm sinh
      • Bất thường dạng Chiari
        • DỊ DẠNG CHIARI TUÝP I (CHIARI I MALFORMATION)
        • DỊ DẠNG CHIARI TUÝP II (CHIARI II MALFORMATION)
        • DỊ DẠNG CHIARI TYPE III (CHIARI 3)
      • Bất thường não sau
        • DỊ TẬT DANDY-WALKER (DANDY-WALKER CONTINUUM)
        • TẬT DÍNH TRÁM NÃO (RHOMBENCEPHALOSYNAPSIS)
        • LOẠN SẢN TIỂU NÃO KHÔNG PHÂN LOẠI (UNCLASSIFIED CEREBELLAR DYSPLASIA)
        • CÁC RỐI LOẠN LIÊN QUAN ĐẾN HỘI CHỨNG JOUBERT (JOUBERT SYNDROME RELATED DISORDERS - JSRD)
        • THIỂU SẢN TIỂU NÃO (CEREBELLAR HYPOPLASIA)
      • Bất thường đường giữa
        • HOLOPROSENCEPHALY (HPE) - TẬT NÃO TRƯỚC KHÔNG PHÂN CHIA
        • Syntelencephaly / Biến thể Dính liền Liên bán cầu Giữa (MIHV)
        • LOẠN SẢN VÁCH-THỊ (SEPTO-OPTIC DYSPLASIA - SOD) / HỘI CHỨNG DE MORSIER
        • Bất sản/ thiểu sản thể chai (Dysgenesis of the Corpus Callosum)
      • Bất thường phát triển vỏ não
        • Loạn dưỡng cơ bẩm sinh (Các biểu hiện ở hệ thần kinh trung ương) - Congenital muscular dystrophies (Central nervous system manifestations)
        • Chất xám lạc chỗ (Grey Matter Heterotopia)
        • Đầu nhỏ (Microcephaly)
        • Đa hồi não nhỏ (Polymicrogyria)
        • Loạn sản vỏ não khu trú (Focal Cortical Dysplasias - FCD)
        • Nhẵn não (Lissencephaly)- CT,MRI
        • Nứt não (Schizencephaly)
        • To một bên bán cầu não (Hemimegalencephaly - HMEG)
      • Bệnh lý khối u/ thần kinh- da di truyền
        • U xơ thần kinh type 1 (Neurofibromatosis type 1-NF1)
        • U xơ thần kinh type 2 (Neurofibromatosis type 2- NF2)
        • Von Hippel-Lindau (vHL)
        • Bệnh xơ cứng củ ở não (Tuberous sclerosis)
        • Hội chứng Sturge-Weber (Sturge-Weber syndrome)
        • U mạch màng não (Meningioangiomatosis)
        • Hội chứng Nevus Tế Bào Đáy (Basal Cell Nevus Syndrome - BCNS )/ Hội chứng Gorlin-Goltz (Gorlin-Goltz syndrome)
        • Bệnh hắc tố thần kinh da (Neurocutaneous Melanosis -NCM)
        • Hội chứng Aicardi (Aicardi syndrome)
        • Hội chứng Li-Fraumeni (Li-Fraumeni syndrome)
        • Bệnh u bao dây thần kinh bẩm sinh (Schwannomatosis)
        • Hội chứng Turcot (Turcot Syndrome -TS)
        • Hội chứng Louis-Bar (Thất điều giãn mạch/Ataxia-telangiectasia)
        • Hội chứng PHACE (Hội chứng u máu da - phức hợp mạch máu) - PHACES Syndrome
    • Chấn thương
      • Tổn thương trực tiếp
        • Tụ máu dưới màng xương (Cephalohematoma/subperiosteal hematoma)
        • Tụ máu dưới cân Galea (Subgaleal hematoma)
        • Bướu huyết thanh (Caput Succedaneum)
        • Gãy sương sọ (Skull fractures)
        • Vỡ lún xương sọ (Depressed Skull Fracture)
        • Tổn thương xuyên thấu sọ não vận tốc thấp (Low-velocity penetrating brain injury)
        • Chấn thương sọ não xuyên thấu do vật tốc độ cao (High-velocity penetrating brain injury)
        • Xuất huyết ngoài màng cứng (Extradural Hemorrhage - EDH)/ Tụ máu ngoài màng cứng (Epidural Hematoma)
        • Xuất huyết/Tụ máu dưới màng cứng (Subdural Hemorrhage/Hematoma - SDH)
        • Xuất huyết dưới nhện do chấn thương (Traumatic Subarachnoid Hemorrhage - tSAH)
        • Tụ máu ngoài màng cứng nguồn gốc tĩnh mạch (Venous Extradural Hemorrhage / Venous EDH)
        • Dập não (Cerebral Contusion)
        • Tổn thương sợi trục lan tỏa (Diffuse Axonal Injury - DAI)
        • Phân độ tổn thương sợi trục lan tỏa(Diffuse Axonal Injury Grading)
        • Chấn thương đầu do ngược đãi (Abusive head trauma - AHT)
        • Xuất huyết não thất (Intraventricular Hemorrhage - IVH)
        • Tràn khí nội sọ (Pneumocephalus)
        • Gãy xương sọ trong tổn thương không do tai nạn (Skull fracture in Non-Accidental Injury - NAI)
      • Tổn thương gián tiếp
        • Thoát vị não (Brain herniation)
        • Thoát vị dưới liềm (Subfalcine Herniation - SFH)
        • Thoát vị móc hải mã (Uncal Herniation)- Thoát vị xuyên lều xuống dưới một bên (Unilateral Descending Transtentorial Herniation)
        • Thoát vị trung tâm (Central Herniation)-Thoát vị xuyên lều xuống dưới hai bên (Bilateral Descending Transtentorial Herniation)
        • Thoát vị lều tiểu não hướng lên (Ascending Transtentorial Herniation)
        • Thoát vị hạnh nhân tiểu não (Tonsillar Herniation)
        • Thoát vị não ra ngoài sọ (Extracranial Brain Herniation)
        • Thoát vị não nghịch thường (Paradoxical brain herniation)
        • Thoát vị não vào hạt màng nhện (Brain herniation into arachnoid granulation - BHAG)
        • Xuất huyết Duret (Duret hemorrhages)
        • Phù não (Cerebral Edema)
        • Phù não do mạch (Vasogenic Cerebral Edema)
        • Phù độc tế bào (Cytotoxic Cerebral Edema)
        • Phù quanh não thất / Phù mô kẽ (Transependymal Edema)
        • Phù não hỗn hợp (Combined Cerebral Edema)
        • Phù não thẩm thấu (Osmotic Cerebral Edema)
        • Tổn thương mạch máu não-cổ do chấn thương kín (Blunt Cerebrovascular Injury - BCVI)
        • Thang điểm Biffl phân loại tổn thương mạch máu não do chấn thương cùn (Blunt Cerebrovascular Injury - BCVI)
        • Nang màng mềm (Leptomeningeal Cyst)/Vỡ sọ tiến triển (Growing Skull Fracture - GSF)
        • Bệnh não chấn thương mạn tính (Chronic Traumatic Encephalopathy - CTE)
        • Rò động mạch cảnh- xoang hang (Caroticocavernous Fistulas - CCFs)
    • Xuất huyết khoang dưới nhện và phình mạch não
      • Xuất huyết khoang dưới nhện
        • Xuất huyết dưới nhện do vỡ phình mạch (Aneurysmal Subarachnoid Hemorrhage - aSAH)
        • Xuất huyết dưới nhện quanh trung não không do phình mạch (Perimesencephalic Nonaneurysmal Subarachnoid Hemorrhage - pnSAH)
        • Xuất huyết dưới nhện lồi não- cSAH (Convexal Subarachnoid Hemorrhage)
        • Nhiễm sắt bề mặt kinh điển (Superficial Siderosis, Classical- SS)
        • Nhiễm sắt bề mặt vỏ não (Cortical Superficial Siderosis- cSS)
      • Phình mạch não
        • Phình mạch não dạng túi (Saccular cerebral aneurysm)
        • Giãn quanh co động mạch sống- nền động mạch (Vertebrobasilar Dolichoectasia- VBD)
        • Phình mạch nội sọ dạng hình thoi (Fusiform Intracranial Aneurysm)
        • Phình mạch dạng mụn nước (Blood Blister-like Aneurysm- BBA)
        • Phình mạch não do nhiễm trùng (Intracranial Mycotic Aneurysm / Intracranial Infectious Aneurysm)
    • Đột quỵ
      • Xuất huyết não không do chấn thương
        • Vi xuất huyết não (Cerebral Microhemorrhage - CMB)
        • Đột quỵ (Stroke)
        • Xuất huyết trong nhu mô não tự phát không do chấn thương (Spontaneous Nontraumatic Intracranial Hemorrhage - pICH)
        • Hình ảnh của xuất huyết não trên MRI(Hemorrhage on MRI)
        • Protocol Chụp CT trong Đột Quỵ Cấp (Stroke Protocol - CT)
        • Protocol chụp MRI trong đột quỵ cấp (Stroke Protocol - MRI)
        • Xuất huyết não do tăng huyết áp (Hypertensive Intracerebral Hemorrhage - HICH)
        • Xuất huyết tiểu não từ xa (Remote Cerebellar Hemorrhage - RCH)
        • Xuất huyết vùng mầm (Germinal Matrix Hemorrhage - GMH)
      • Xơ vữa, hẹp Động Mạch Cảnh
        • Bệnh lý xơ vữa động mạch trong sọ (Intracranial Atherosclerosis)
        • Hẹp động mạch cảnh (Carotid Artery Stenosis)/Bệnh lý xơ vữa động mạch ngoài sọ (Extracranial Atherosclerosis)
      • Bệnh lý mạch máu không do xơ vữa
        • Động mạch cảnh trong lạc chỗ (Aberrant Internal Carotid Artery)
        • Tồn tại thông nối động mạch cảnh-nền (Persistent Carotid Basilar Anastomoses)
        • Tồn tại động mạch sinh ba nguyên thủy (Persistent primitive trigeminal artery - PTA)
        • Tồn tại động mạch hạ thiệt (Persistent hypoglossal artery - PHA)
        • Tồn tại động mạch giáp trước/ Tồn tại động mạch trước đốt đột (Persistent proatlantal artery - ProA)
        • Bệnh hồng cầu hình liềm (Biểu hiện ở não) - Sickle cell disease (cerebral manifestations)
        • Bệnh Moyamoya (Moyamoya disease)
        • Viêm động mạch nguyên phát hệ thần kinh trung ương (Primary Arteritis of the Central Nervous System- PACNS)
        • Hội chứng co thắt mạch máu não có hồi phục (Reversible cerebral vasoconstriction syndrome - RCVS)
        • Co thắt mạch não sau xuất huyết dưới nhện (Cerebral vasospasm following subarachnoid hemorrhage)
        • Lupus thần kinh trung ương (Systemic lupus erythematosus - CNS manifestations)
        • Bệnh vi mạch não dạng bột (Cerebral amyloid angiopathy - CAA)
        • Bệnh lý viêm vi mạch não dạng bột (Cerebral Amyloid Angiopathy-Related Inflammation- CAA-RI )
        • CADASIL
        • Bệnh Behçet (Biểu hiện thần kinh trung ương) - Behçet disease (CNS manifestations)
        • Hội chứng Susac (Susac Syndrome)
        • Loạn sản sợi cơ (Fibromuscular Dysplasia - FD)
        • Mạng lưới động mạch cảnh (Carotid web)
      • Nhồi máu não
        • Não nước / Khuyết não bán cầu (Hydranencephaly)
        •  Tổn thương chất trắng ở trẻ non tháng (White Matter Injury of prematurity-WMI)/ Nhuyễn não chất trắng quanh não thất (Periventricular leukomalacia)
        • Bệnh não do thiếu oxy-thiếu máu cục bộ ở trẻ sơ sinh (Neonatal Hypoxic-Ischemic Encephalopathy - HIE)
        • Đột quỵ thiếu máu cục bộ động mạch ở trẻ em (Childhood Arterial Ischemic Stroke)
        • Tổn thương não do thiếu oxy-thiếu máu cục bộ ở người lớn (Adult Hypoxic-Ischemic Injury - HII)
        • Nhồi máu não do hạ huyết áp (Hypotensive Cerebral Infarction - HCI)/Nhồi máu vùng ranh giới (Border zone / Watershed infarction)/
        • Teo nửa bán cầu đại não (Cerebral hemiatrophy)/Hội chứng Dyke-Davidoff-Masson (DDMS)
        • Nhồi máu não do thiếu máu cục bộ (Ischemic stroke)
        • Nhồi máu não đa ổ do thuyên tắc (Multiple Embolic Cerebral Infarctions)
        • Nhồi máu não do thuyên tắc mỡ (Fat Emboli Cerebral Infarction)
        • Thuyên tắc khí não (Cerebral Air Embolism - CAE)
        • Nhồi máu lỗ khuyết (Lacunar Infarction - LI)
        • Hội chứng tăng tưới máu não (Cerebral hyperperfusion syndrome - CHS)
        • Huyết khối xoang tĩnh mạch màng cứng (Dural Venous Sinus Thrombosis - DVST)
        • Dấu hiệu dây thừng trong huyết khối xoang tĩnh mạch màng cứng (Cord Sign)
        • Dấu hiệu Tĩnh mạch Tăng Đậm Độ trong Huyết khối xoang tĩnh mạch màng cứng(Dense Vein Sign)
        • Dấu hiệu Delta rỗng (huyết khối xoang tĩnh mạch màng cứng) - Empty delta sign (dural venous sinus thrombosis)
        • Huyết khối tĩnh mạch vỏ não (Cortical Vein Thrombosis - CVT)
        • Huyết khối tĩnh mạch não sâu (Deep cerebral vein thrombosis)
        • Hạt màng nhện (Arachnoid Granulations)
        • Hạt màng nhện lạc chỗ (Aberrant arachnoid granulations)
        • Nhồi máu não giai đoạn cấp (Acute Cerebral Infarction)
        • Nhồi máu não bán cấp (Subacute Cerebral Infarction)
        • Nhồi máu não giai đoạn mạn tính (Chronic Cerebral Infarction)
    • Bất thường mạch máu
      • Đi kèm AV Shunting
        • Dị dạng thông Động-Tĩnh mạch não (Brain Arteriovenous Malformation - AVM)
        • Hệ thống phân độ dị dạng động-tĩnh mạch não Spetzler-Martin (Spetzler-Martin arteriovenous malformation grading system)
        • Rò động-tĩnh mạch màng cứng (Dural Arteriovenous Fistula - DAVF)
        • Dò động-tĩnh mạch màng mềm (Pial Arteriovenous Fistula - pAVF)
        • Phân loại Yasargil cho dị dạng phình tĩnh mạch Galen (Yasargil classification of vein of Galen aneurysmal malformations)
        • Bệnh lý tăng sinh mạch máu não (Cerebral Proliferative Angiopathy - CPA)
        • Dị dạng phình tĩnh mạch Galen (Vein of Galen aneurysmal malformations - VGAMs)
      • Không đi kèm AV Shunting
        • Xoang màng cứng da đầu (Sinus Pericranii)
        • Bất thường phát triển tĩnh mạch (Developmental Venous Anomaly - DVA)
        • Dị dạng thể hang ở não (Cerebral Cavernous Venous Malformations)
        • Giãn mao mạch ở hệ thần kinh trung ương (CNS capillary telangiectasias)
        • Huyết khối xoang hang (Cavernous sinus thrombosis - CST
    • U não
      • U tế bào hình sao lan tỏa (Astrocytic Tumors, Infltrating)
        • U sao bào lan tỏa (Diffuse Astrocytoma)
        • U sao bào thoái sản (Anaplastic Astrocytoma- AA)
        • U nguyên bào thần kinh đệm (Glioblastoma- GBM)
        • U thần kinh đệm lan tỏa toàn não (kiểu hình tăng trưởng) (Gliomatosis Cerebri- GC):
        • U tế bào thần kinh đệm lan tỏa đường giữa, biến đổi H3 K27 (Diffuse midline glioma, H3 K27-altered)
      • U tế bào hình sao cục bộ (Astrocytic Tumors, Localized)
        • U sao bào lông (Pilocytic Astrocytoma)
        • U sao bào đa hình thái tế bào vàng (Pleomorphic Xanthoastrocytoma - PXA)
        • U sao bào dạng nhầy lông (Pilomyxoid Astrocytoma- PMA)
        • U sao bào khổng lồ dưới màng não thất (Subependymal Giant Cell Astrocytoma - SGCA/SEGA)
        • U thần kinh đệm do xạ trị (Radiation-induced gliomas)
      • U thần kinh đệm ít nhánh và các khối u khác (Oligodendroglial)
        • U tế bào thần kinh đệm ít nhánh (Oligodendroglioma)
        • U sao bào dạng nguyên bào, có thay đổi MN1 (Astroblastoma, MN1-altered )
        • U thần kinh đệm dạng dây của não thất 3 (Chordoid Glioma of the 3rd Ventricle - CGOTV)
        • U thần kinh đệm hướng mạch (Angiocentric Glioma)
        • U thần kinh đệm ác tính (Gliosarcoma)
      • U màng não thất (Ependymal Tumors)
        • U dưới màng não thất (Subependymoma)
        • U màng não thất (Ependymoma- EPN)
        • U màng não thất trên lều (Supratentorial Ependymoma- ST-EPN)
      • U đám rối mạch mạc (Choroid Plexus Tumors)
        • U nhú đám rối mạch mạc (Choroid Plexus Papilloma)
        • U nhú đám rối mạch mạc không điển hình (Atypical Choroid Plexus Papilloma- aCPP)
        • Ung thư biểu mô đám rối mạch mạc (Choroid Plexus Carcinoma)
      • U tế bào thần kinh và U hỗn hợp tế bào thần kinh-thần kinh đệm (Neuronal and Mixed Neuronal-Glial Tumors)
        • U tế bào thần kinh đệm hạch (Ganglioglioma)
        • U hạch thần kinh đệm/u sao bào tạo mô đệm tân sản ở trẻ nhũ nhi (Desmoplastic Infantile Ganglioglioma/Astrocytoma)
        • U tế bào thần kinh trung ương (Central Neurocytoma- CN)
        • Hình ảnh bọt xà phòng (DNET) - Soap bubble appearance (DNET)
        • Dấu hiệu viền sáng (DNET) - Bright rim sign (DNET)
        • U thần kinh biểu mô loạn sản phôi (DNET) - Dysembryoplastic neuroepithelial tumors (DNET)
        • U tế bào thần kinh ngoài não thất (Extraventricular neurocytoma - EVN)
        • U nhú thần kinh đệm (Papillary glioneuronal tumors - PGNT)
        • U tế bào thần kinh đệm hình hoa hồng (Rosette-forming glioneuronal tumors - RGNT)
        • U thần kinh đệm màng mềm lan tỏa (Diffuse leptomeningeal glioneuronal tumor - DLGNT)
        • U thần kinh đa nốt và tạo không bào (Multinodular and vacuolating neuronal tumors - MVNT)
        • U tế bào hạch loạn sản tiểu não (Dysplastic Cerebellar Gangliocytoma)/Bệnh Lhermitte-Duclos (Lhermitte-Duclos Disease- LDD)
        • U thần kinh biểu mô đa hình độ thấp ở người trẻ (Polymorphous Low-grade Neuroepithelial Tumor of the Young - PLNTY)
      • U tuyến tùng (Pineal Parenchymal Tumors)
        • U tế bào tuyến tùng (Pineocytoma)
        • U nhu mô tuyến tùng biệt hóa trung gian (Pineal Parenchymal Tumors of Intermediate Differentiation - PPTID)
        • U nguyên bào tuyến tùng (Pineoblastoma)
        • U nhú vùng tuyến tùng (Papillary tumor of the pineal region - PTPR)
      • U phôi và U nguyên bào thần kinh (Embryonal and Neuroblastic Tumors)
        • U phôi sắp xếp kiểu hoa hồng (Embryonal tumor with multilayered rosettes - ETMR)
        • U quái/u cơ vân dạng không điển hình (Atypical teratoid/rhabdoid tumor - AT/RT)
        • U nguyên bào thần kinh di căn (Metastatic Neuroblastoma)
        • U nguyên tủy bào (Medulloblastoma)
      • U dây thần kinh sọ (Tumors of Cranial/Peripheral Nerves)
        • U bao dây thần kinh tiền đình (Vestibular schwannoma - VS)
        • Phân loại Koos cho u schwannoma tiền đình - Koos classification of vestibular schwannomas
        • U sợi thần kinh (Neurofibroma)
        • U sợi thần kinh dạng đám rối (Plexiform Neurofibroma - PNF)
        • U vỏ bao thần kinh sinh ba (Trigeminal schwannomas)
      • U mạch máu và U tạo máu (Blood Vessel and Hemopoietic Tumors)
        • U lympho hệ thần kinh trung ương (Central Nervous System Lymphoma - CNS Lymphoma)
        • U lympho hệ thần kinh trung ương liên quan đến suy giảm miễn dịch (Immunodeficiency-associated CNS lymphomas)
        • U lympho nội mạch (Intravascular (angiocentric) lymphoma - IVL)
        • Bệnh bạch cầu biểu hiện ở hệ thần kinh trung ương (Leukemia)
        • U nguyên bào mạch máu hệ thần kinh trung ương - Hemangioblastoma (central nervous system)
      • U mô bào (Histiocytic Tumors)
        • Bệnh mô bào Langerhans (biểu hiện ở hệ thần kinh trung ương) - Langerhans cell histiocytosis (CNS manifestations)
        • Bệnh Erdheim-Chester (Erdheim-Chester Disease - ECD)
        • Bệnh Rosai-Dorfman (Rosai-Dorfman Disease - RDD)
      • U tế bào mầm (Germ Cell Tumors)
        • U mầm hệ thần kinh trung ương (Central Nervous System Germinoma)
        • U quái nội sọ (Intracranial Teratomas)
        • U tế bào mầm ác tính nội sọ (Malignant Intracranial Germ Cell Tumors - Malignant GCT)
        • U Yolk Sac nội sọ (Intracranial Yolk Sac Tumors)
      • Di căn (Metastatic Tumors)
        • Di căn nhu mô não (Parenchymal metastases)
        • Di căn màng cứng (Dural Metastases)
        • Di căn màng mềm (Leptomeningeal metastases)
        • Di căn tuyến tùng (Pineal Gland Metastasis)
        • Di căn tuyến yên (Pituitary Metastases)
        • U Lympho thứ phát hệ thần kinh trung ương (Secondary CNS Lymphoma - SCNSL)
      • Giả u (Tumor-Like Conditions)
        • Tồn dư dây sống dạng bọt (Ecchordosis physaliphora - EP)
        • Khối giả U vôi hóa của trục thần kinh (Calcifying pseudoneoplasms of the neuraxis - CAPNON)
        • U mỡ nội sọ (Intracranial Lipoma)
    • Nang não
      • Các nang não nguyên phát
        • Nang màng nhện (Arachnoid Cyst)
        • Nang keo não thất ba (Colloid cysts of the third ventricle)
        • Nang bì nội sọ (Intracranial dermoid cysts)
        • Nang biểu bì nội sọ (Intracranial epidermoid cysts)
        • Nang thần kinh đệm (Neuroglial cyst - NGC)
        • Nang connatal (Connatal cyst)
        • Nang khe mạch mạc (Choroidal Fissure Cyst)
        • Nang di tích rãnh hồi hải mã (Hippocampal remnant cyst)
        • Khoang quanh mạch (Perivascular spaces - PVSs)/Khoang Virchow-Robin (Virchow-Robin spaces)
        • Nang tuyến tùng (Pineal cysts)
        • Nang đám rối mạch mạc (Choroid plexus cyst - CPC)/ U hạt vàng đám rối màng mạch (Choroid plexus xanthogranulomata)
        • Nang lỗ não (Porencephaly)
        • Nang thần kinh ruột (Neurenteric cysts)
        • Nang màng não thất (Ependymal cysts)
        • Nang lành tính quanh u (Non-neoplastic tumor associated cysts - TACs)
    • Viêm/ Mất myelin
      • Nhiễm trùng bẩm sinh (Congenital/Neonatal Infections)
        • Nhiễm Cytomegalovirus bẩm sinh (Congenital Cytomegalovirus- CMV )
        • Viêm não do Herpes simplex sơ sinh (Neonatal herpes simplex encephalitis)
      • Nhiễm trùng mắc phải (Acquired Infections)
        • Viêm màng não (Leptomeningitis)
        • Áp xe não (Cerebral abscess)
        • Viêm não thất (Ventriculitis)
        • Tụ mủ dưới màng cứng (Subdural empyema)/Tụ mủ ngoài màng cứng (Epidural empyema - EDE)
        • Viêm não do Herpes simplex (HSV) ở trẻ em và người lớn (Herpes simplex encephalitis)
        • Viêm não do Virus (Viral Encephalitides)
        • Viêm não do Virus Tây sông Nile (West Nile virus - WNV)
        • Viêm não do Human herpesvirus 6 (HHV-6) - (HHV-6 Encephalitis/Encephalopathy)
        • Viêm tiểu não cấp (Acute cerebellitis)
        • Viêm não Rasmussen (Rasmussen encephalitis)
        • Viêm não xơ cứng bán cấp (Subacute Sclerosing Panencephalitis - SSPE)
        • Lao hệ thần kinh trung ương (Central nervous system tuberculosis - CNS-TB)
        • Bệnh ấu trùng sán lợn ở hệ thần kinh (Neurocysticercosis)
        • Bệnh Nang sán chó ở não (Neurohydatidosis)
        • Bệnh amip hệ thần kinh trung ương (CNS amebiasis)
        • Sốt rét thể não (Cerebral Malaria)
        • Nhiễm nấm Aspergillus hệ thần kinh trung ương (CNS Aspergillosis)
        • Nhiễm nấm Cryptococcus hệ thần kinh trung ương (CNS Cryptococcosis)
        • Viêm não/Bệnh não do HIV (HIVE)
        • Viêm não do Toxoplasma (Toxoplasmosis Encephalitis)
        • Viêm não do mắc Cytomegalovirus - Cytomegalovirus encephalitis (CMV)
        • Bệnh não chất trắng đa ổ tiến triển (Progressive Multifocal Leukoencephalopathy - PML)
        • Bệnh não do virus JC (JC Virus Encephalopathy)
        • Hội chứng viêm phục hồi miễn dịch (Immune Reconstitution Inflammatory Syndrome - IRIS)
        • Sa sút trí tuệ liên quan HIV (HIV-associated dementia - HAD)
        • Viêm não do virus Dengue (Dengue encephalitis)
      • Bệnh lý viêm và mất myelin (Inflammatory and Demyelinating Disease)
        • Viêm não chất trắng xuất huyết cấp tính (Acute Hemorrhagic Leukoencephalitis- AHLE)
        • Viêm não tủy rải rác cấp tính- ADEM (Acute Disseminated Encephalomyelitis - ADEM)
        • Bệnh xơ cứng rải rác (Multiple Sclerosis- MS)
        • Rối loạn phổ viêm tủy thị thần kinh (Neuromyelitis optica spectrum disorder - NMOSD)
        • Viêm bạch huyết mạn tính với ngấm thuốc quanh mạch máu ở cầu não đáp ứng với steroid (CLIPPERS)
        • Viêm não tự miễn (Autoimmune Encephalitis)
    • Chuyển hóa/thoái hóa di truyền
      • Bệnh não ty thể
        • Bệnh não ty thể (Mitochondrial Encephalopathies -ME)
        • Rối loạn ty thể nguyên phát (Primary mitochondrial disorders - PMDs)
        • Các biểu hiện ở não của bệnh mucopolysaccharidoses (Cerebral manifestations of mucopolysaccharidoses)
        • Bệnh loạn dưỡng chất trắng tế bào hình cầu (Globoid Cell Leukodystrophy)/ Bệnh Krabbe
        • Bệnh Fabry (Fabry Disease)
        • Rối loạn Peroxisome (Peroxisomal Disorders)/Hội chứng Zellweger (Zellweger Syndrome)
        • Bệnh nước tiểu mùi si-rô phong (Maple syrup urine disease - MSUD)
        • Bệnh Canavan (Canavan Disease)
        • Bệnh loạn dưỡng chất trắng thượng thận liên kết nhiễm sắc thể X (X-linked Adrenoleukodystrophy)
        • Nhiễm toan glutaric type 1 (Glutaric aciduria type 1)
        • Bệnh Loạn dưỡng chất trắng thể não to kèm nang dưới vỏ (Megalencephalic Leukoencephalopathy with Subcortical Cysts - MLC)
        • Thoái hóa thần kinh với tích tụ sắt trong não (Neurodegeneration with Brain Iron Accumulation - NBIA)
        • Thoái hóa thần kinh liên quan đến Pantothenate Kinase (Pantothenate kinase-associated neurodegeneration - PKAN)
        • Huntington Disease - HD
        • Bệnh loạn dưỡng chất trắng dị sắc (Metachromatic Leukodystrophy - MLD)
        • Bệnh Wilson- Biểu hiện ở não bộ (Wilson Disease)
    • Bệnh lý ngộ độc/chuyển hóa/thoái hóa mắc phải
      • Bệnh lý ngộ độc/chuyển hóa mắc phải
        • Bệnh não do hạ đường huyết (Hypoglycemic encephalopathy)
        • Co giật do tăng đường huyết không nhiễm toan ceton (Non-ketotic hyperglycemic seizures)
        • Múa giật nửa người do tăng đường huyết không nhiễm ceton (Non-ketotic Hyperglycemic Hemichorea - NHH)
        • Bệnh não do Bilirubin (Bilirubin Encephalopathy - BE)/Vàng da nhân (Kernicterus)
        • Suy tuyến cận giáp- Biểu hiện ở não (Hypoparathyroidism)
        • Giả suy tuyến cận giáp- Biểu hiện ở não (Pseudohypoparathyroidism)
        • Bệnh não do rượu (alcoholic encephalopathy)/ Hội chứng Wernicke-Korsakoff (Wernicke-Korsakoff syndrome)
        • Bệnh Marchiafava-Bignami (Marchiafava-Bignami Disease - MBD)/ Nghiện rượu mãn tính
        • Bệnh Fahr (Fahr Disease- FD)
        • Bệnh não gan (Hepatic Encephalopathy- HE)
        • Bệnh não do urê huyết cao (Uremic Encephalopathy)
        • PRES- Hội chứng bệnh não sau có hồi phục (Posterior Reversible Encephalopathy Syndrome )
        • bệnh não do tăng huyết áp mạn tính (Chronic Hypertensive Encephalopathy)/Vi mạch do tăng huyết áp (Hypertensive Microangiopathy)
        • Ngộ độc Carbon Monoxide (Carbon Monoxide Poisoning)
        • Tổn thương não do lạm dụng chất (Drug Abuse)
        • Ngộ độc Cyanide (Cyanide Poisoning)
        • Độc tính thần kinh trung ương do Metronidazole (Metronidazole central nervous system toxicity)
        • Lắng đọng Gadolinium (đối quang MRI) trong não (Gadolinium Deposition)
        • Ngộ độc Methanol (Methanol Poisoning)
        • Hội chứng hùy myelin do thẩm thấu (Osmotic Demyelination Syndrome - ODS)
        • Bệnh lý mạch máu não do xạ trị (Radiation-induced cerebral vasculopathy - RICV)
        • Biến chứng của xạ trị sọ (Complications of cranial radiation therapy)
        • U màng não do xạ trị (Radiation-induced meningiomas)
        • U thần kinh đệm do xạ trị (Radiation-induced gliomas)
        • U sacrom (sarcoma) do xạ trị - Radiation-induced sarcoma (RIS)
        • Giả tiến triển khối u sau điều trị (Tumor pseudoprogression)
        • xơ cứng hồi hải mã (Hippocampal Sclerosis)/Xơ cứng thái dương trong (Mesial Temporal Sclerosis)
        • Động kinh (Status Epilepticus- SE)
        • Hội chứng mất trí nhớ toàn bộ thoáng qua (Transient Global Amnesia - TGA)
        • Hiện tượng khối u giả đáp ứng sau điều trị (Pseudoresponse)
        • Cường tuyến cận giáp ở sọ (Hyperparathyroidism)
      • Thoái hóa/ Sa sút trí tuệ
        • Não lão hóa bình thường (Normal Aging Brain)
        • Bệnh Alzheimer (Alzheimer Disease)
        • Sa sút trí tuệ do mạch máu (Vascular dementia)
        • Thoái hóa thùy trán- thái dương (Frontotemporal lobar degeneration- FTLD)
        • Sa sút trí tuệ thể lewy (Dementia With Lewy Bodies - DLB)
        • Bệnh Creutzfeldt-Jakob (Creutzfeldt-Jakob disease - CJD)
        • Bệnh Parkinson (Parkinson Disease)
        • Thoái hóa vỏ não hạch nền (Corticobasal Degeneration - CBD)
        • Liệt trên nhân tiến triển (PSP - Progressive Supranuclear Palsy)
        • Teo đa hệ thống (Multiple system atrophy - MSA)
        • Bệnh xơ cứng teo cơ một bên (Amyotrophic lateral sclerosis - ALS)
        • Thoái hóa Wallerian (Wallerian Degeneration)
        • Suy giảm chức năng tiểu não đối bên (Crossed Cerebellar Diaschisis- CCD)
        • Thoái hóa nhân trám phì đại (Hypertrophic Olivary Degeneration - HOD)
        • Mất điều hòa tủy sống- tiểu não (Spinocerebellar Ataxia - SCAs)
        • Run/mất điều hòa liên quan đến fragile x (Fragile X-Associated Tremor/Ataxia - FXTAS)
    • Bể não/Não thất
      • Biến thể bình thường
        • Hộp vách trong suốt (Cavum septum pellucidum - CSP)
        • Cavum veli interpositi
        • Giãn rộng lành tính dưới nhện ở trẻ nhũ nhi (Benign Enlargement of the Subarachnoid Space in Infancy - BESS)
      • Não úng thủy
        • Não úng thủy tắc nghẽn ở não thất (Obstructive Hydrocephalus)
        • Não úng thủy tắc nghẽn ngoài não thất (EVOH - Extraventricular Obstructive Hydrocephalus)
        • Hẹp cống não (Aqueductal Stenosis)
        • Não úng thủy áp lực bình thường (NPH - Normal-Pressure Hydrocephalus)
        • Dẫn lưu não thất-phúc mạc (Ventriculoperitoneal Shunt - VP)
        • Dẫn lưu CSF quá mức (CSF overdrainage)
        • Tổn thương thể chai sau não úng thủy (Post-hydrocephalus Corpus Callosum Damage)
      • Áp lực nội sọ
        • Tăng áp lực nội sọ vô căn (Idiopathic Intracranial Hypertension - IIH)
        • Giảm áp lực nội sọ (Spontaneous intracranial hypotension - SIH)
    • Tuyến yên
      • Bẩm sinh
        • Tuyến yên sau lạc chỗ (Ectopic posterior pituitary)
        • Tồn tại hai tuyến yên (DPG - Duplication of the Pituitary Gland)
        • U mô thừa vùng dưới đồi (Hypothalamic hamartomas)
        • U nang khe Rathke (Rathke cleft cysts)
      • Khối u
        • U tuyến yên nhỏ (Pituitary microadenomas)
        • Đột quỵ tuyến yên (Pituitary apoplexy)
        • U sọ hầu dạng nhú (Papillary craniopharyngiomas)
        • U sọ hầu dạng Adamantinoma (Adamantinomatous Craniopharyngioma)
        • U tế bào tuyến yên (Pituicytoma)
        • Spindle Cell Oncocytoma (SCO) của tuyến yên
        • U tuyến yên lớn (Macroadenoma)
      • Bất thường khác
        • Viêm tuyến yên lympho bào (Lymphocytic Hypophysitis)
        • Hội chứng Hố yên rỗng (Empty sella)
        • Tăng sản tuyến yên (Pituitary Hyperplasia)
    • Sọ, Da đầu, Màng não
      • Bẩm sinh
        • Khuyết sọ bẩm sinh (Congenital Calvarial Defects)
        • Dính khớp sọ (Craniosynostosis)
        • Cephalocele (Thoát vị não-màng não)
        • Thoát vị não-màng não đỉnh dạng thoái triển (Atretic parietal cephaloceles)
      • Giả u/Không phải u
        • Viêm màng não phì đại liên quan đến IgG4 (IgG4-related hypertrophic pachymeningitis)
        • Viêm tuyến yên liên quan đến IgG4 (IgG4-related hypophysitis)
        • Loạn sản xơ sọ mặt (CFD - Craniofacial Fibrous Dysplasia)
        • Dày hộp sọ (Calvarial thickening)
        • Sarcoidosis thần kinh (Neurosarcoidosis)
        • Nang bã nhờn (Sebaceous cyst - SC)/ Nang chân tóc (Trichilemmal cyst - TC)
        • Bệnh Paget xương sọ - Paget disease (skull)
      • Khối U
        • U màng não (Meningioma)
        • U màng não không điển hình (Atypical Meningioma)
        • U tế bào sợi đơn độc màng cứng (Solitary Fibrous Tumors - SFTs of the Dura)/U tế bào quanh mạch (Hemangiopericytoma - HPC)
        • U xương dạng xương (Osteoma)
        • U dây sống (Chordoma)
        • U mạch máu vòm sọ (Skull Vault Hemangiomas - SVH)
        • U mạch máu xoang hang (Cavernous Sinus Hemangioma)
        • U sụn ác tính nền sọ (Chondrosarcomas of the base of the skull)
        • U đa tủy ở sọ não (Myeloma)
        • Di căn xương sọ (Skull Metastases)
  • Lồng ngực
    • Dấu hiệu và hình ảnh
      • Hình ảnh
        • Nốt phế nang (Acinar Nodule)
        • Dấu hiệu khí phế quản đồ (Air bronchogram)
        • Dấu hiệu bẫy khí (Air-trapping)
        • Khoảng khí (Airspace)
        • Biến dạng cấu trúc phổi (Lung architectural distortion)
        • Bóng khí phổi (Pulmonary bullae)/ Kén khí dưới màng phổi (Bleb)
        • Hang phổi (Pulmonary cavity)
        • Tổn thương trung tâm tiểu thùy (Centrilobular abnormalities)
        • Đông đặc nhu mô phổi (Consolidation)
        • Tổn thương dạng kính mờ (Ground-glass opacification - GGO)
        • Tổn thương dạng tổ ong (Honeycombing)
        • Dày vách liên tiểu thùy (Interlobular septal thickening)
        • Nang phổi (Pulmonary Cyst)
        • Tổn thương dạng khối ở phổi (Pulmonary Mass)
        • Tổn thương dạng kê (Miliary pattern)
        • Tổn thương dạng khảm (Mosaic attenuation)
        • Nốt phổi (Pulmonary Nodules)
        • Dày thành quanh mạch máu phế quản (Peribronchovascular Thickening)
        • Tổn thương quanh mạch máu- phế quản (Peribronchovascular)
        • Nốt phổi phân bố theo hệ bạch huyết (Perilymphatic lung nodules)
        • Tổn thương dạng lưới (Reticular pattern)
        • Tiểu thùy phổi thứ cấp (Secondary Pulmonary Lobule)
        • Kén khí trong nhu mô phổi (Pneumatocele)
        • Giãn phế quản do co kéo (Traction Bronchiectasis)
        • Dấu hiệu chồi cây (Tree-in-bud pattern)
      • Dấu hiệu hình ảnh học
        • Dấu hiệu liềm khí (Air Crescent Sign)
        • Dấu hiệu cổ-ngực (Cervicothoracic Sign)
        • Dấu hiệu đuôi sao chổi (Comet Tail Sign)
        • Dấu hiệu quầng sáng (CT Halo Sign)
        • Dấu hiệu ngón tay đeo găng (Finger-in-glove sign) (phổi)
        • Dấu hiệu bánh Oreo (tim) - Oreo cookie sign (heart)/Dấu hiệu đệm mỡ màng ngoài tim (Fat Pad Sign)
        • Dấu hiệu rãnh sâu (Deep Sulcus Sign) (ngực)
        • Dấu hiệu hội tụ rốn phổi (Hilum Convergence Sign)
        • Dấu hiệu che phủ rốn phổi (Hilum Overlay Sign)
        • Dấu hiệu bờ không liên tục (phổi) - Incomplete border sign (chest)
        • Dấu hiệu Luftsichel (Luftsichel sign)
        • Dấu hiệu quầng sáng đảo ngược (Reversed halo sign)/Dấu hiệu đảo san hô (Atoll sign)
        • Dấu hiệu Rigler/Dấu hiệu thành đôi (double-wall sign)
        • Dấu hiệu Cupola (Bụng) - Cupola sign
        • Dấu hiệu Golden S (Phổi) - Golden S-sign (lung)
        • Dấu hiệu nhẫn kim cương (giãn phế quản )/Signet ring sign (bronchiectasis)
        • Xẹp phổi do sẹo (Cicatrisation Atelectasis)
        • Xẹp phổi tròn (Round atelectasis)
        • Dấu hiệu xóa bờ (Silhouette Sign)
        • Xẹp phổi (tổng quan) - Lung atelectasis
        • Xẹp thùy dưới phổi trái (Left lower lobe atelectasis)
        • Xẹp thùy trên phổi phải (Right upper lobe atelectasis)
        • Xẹp thùy giữa phổi phải (Right middle lobe atelectasis)
        • Xẹp thùy dưới phổi phải (Right lower lobe atelectasis)
        • Xẹp thùy trên phổi trái (Left upper lobe atelectasis)
    • Bất thường phát triển bẩm sinh
      • Đường thở
        • Biến thể phế quản khí quản (Tracheal bronchus)
        • Biến thể phế quản tim (Cardiac bronchus)
        • Biến thể phế quản thực quản (Esophageal bronchus)
        • Nang khí cạnh khí quản (Paratracheal air cysts)
        • Bất sản phế quản (Bronchial atresia - BA)
      • Phổi
        • Phổi biệt trí ngoại thùy - Pulmonary sequestration (extralobar)
        • U mạch bạch huyết phổi lan tỏa (Diffuse pulmonary lymphangiomatosis - DPL)
        • Thoát vị đỉnh phổi (Apical lung hernia)
        • Phổi biệt trí nội thùy (Intralobar sequestration - ILS)
      • Mạch máu Phổi
        • Gián đoạn đoạn gần động mạch phổi (Proximal interruption of pulmonary artery - PIPA)/Bất sản động mạch phổi một bên (Unilateral absence of pulmonary artery - UAPA)
        • Động mạch phổi trái lạc chỗ (Aberrant left pulmonary artery)/Vòng động mạch phổi (Pulmonary artery sling - PAS)
        • Dị dạng động-tĩnh mạch phổi (Pulmonary arteriovenous malformation - PAVM)
        • Bất thường hồi lưu tĩnh mạch phổi bán phần (Partial anomalous pulmonary venous return - PAPVR)
        • Hội chứng Scimitar (Scimitar Syndrome)/Hội chứng thiểu sản phổi (Hypogenetic lung syndrome)
        • Giãn tĩnh mạch phổi (Pulmonary venous varix - PVV)
      • Tuần hoàn hệ thống
        • Thùy Azygos (Azygos lobe)/ Rãnh tĩnh mạch đơn (Azygos fissure)
        • Tĩnh mạch đơn dẫn lưu cho tĩnh mạch chủ dưới (Azygos continuation of inferior vena cava - IVC)
        • Tồn tại tĩnh mạch chủ trên trái (Persistent left superior vena cava - PLSVC)
        • Cung động mạch chủ đôi (Double aortic arch)
        • Động mạch dưới đòn phải lạc chỗ (Aberrant right subclavian artery)
        • Cung động mạch chủ bên phải (Right-sided aortic arch)
        • Hẹp eo động mạch chủ (Coarctation of the aorta - CoA)
      • Tim
        • Thông liên nhĩ (Atrial Septal Defect - ASD)
        • Thông liên thất (Ventricular Septal Defect - VSD)
        • Van động mạch chủ hai lá van (Bicuspid Aortic Valve - BAV)
        • Hẹp động mạch phổi bẩm sinh (Congenital Pulmonary Stenosis)
        • Hội chứng đồng dạng (Heterotaxy syndrome)
        • Bất sản màng ngoài tim (Pericardial Agenesis)
      • Lồng ngực và cơ hoành
        • Hội chứng Poland (Poland Syndrome)/ Hội chứng bất sản cơ ngực-dính ngón (Pectoral aplasia-syndactyly syndrome)
        • Lồng ngực lõm (Pectus Excavatum)
        • Lồng ngực ức gà (Pectus Carinatum)
        • Gù cột sống (Kyphosis)
        • Vẹo cột sống (Scoliosis)
    • Bệnh lý đường thở (khí phế quản)
      • U lành tính
        • U mô thừa khí phế quản (Tracheobronchial Hamartoma)
        • U nhú khí phế quản (Tracheobronchial Papillomatosis)
      • U ác tính
        • Ung thư biểu mô tuyến dạng nang khí phế quản (Adenoid Cystic Carcinoma of the Tracheobronchial)
        • Ung thư biểu mô nhầy- biểu bì phế quản (Mucoepidermoid carcinoma - MEC)
        • Di căn đường thở (Metastasis Airways)
        • Ung thư biểu mô tế bào vảy khí quản (Tracheal squamous cell carcinoma - SCC)
      • Dày thành, hẹp đường thở
        • Khí quản hình vỏ kiếm (Sabre-sheath trachea)
        • Hẹp khí quản (Tracheal Stenosis)
        • Nhuyễn khí quản (Tracheomalacia)
        • Hội chứng thùy giữa phải (Right middle lobe syndrome)
        • Nhiễm amyloid khí phế quản (Tracheobronchial Amyloidosis)
        • Bệnh cốt hóa-sụn khí phế quản (Tracheobronchopathia Osteochondroplastica - TO)
        • Viêm đa sụn tái phát (Relapsing Polychondritis)
        • Bệnh xơ cứng mũi (Rhinoscleroma)
        • Bệnh u hạt kèm viêm đa mạch ở đường thở (Airway Granulomatosis with Polyangiitis - Airway GPA)/Bệnh Wegener ở đường thở (Wegener granulomatosis - WG)
      • Giãn, ứ đọng phế quản
        • Bệnh phổi tắc nghẽn mạn tính (Chronic obstructive pulmonary disease - COPD)
        • Giãn phế quản (Bronchiectasis)
        • Xơ nang (Cystic Fibrosis)
        • Viêm phế quản phổi dị ứng do nhiễm nấm Aspergillus (Allergic bronchopulmonary aspergillosis - ABPA)
        • Rối loạn vận động nhung mao nguyên phát (Primary ciliary dyskinesia - PCD)
        • Hội chứng Mounier-Kuhn (Mounier-Kuhn syndrome - MKS)/ Bệnh phình khí-phế quản (Tracheobronchomegaly)
        • Hội chứng Williams-Campbell (Williams-Campbell Syndrome)
        • Sỏi phế quản (Broncholith)
      • Khí phế thũng, bệnh đường thở nhỏ
        • Khí phế thũng trung tâm tiểu thùy (Centrilobular Pulmonary Emphysema)
        • Khí phế thũng cạnh vách (Paraseptal Emphysema)
        • Khí phế thũng toàn tiểu thùy (Panlobular Emphysema)
        • Viêm tiểu phế quản nhiễm trùng (Infectious Bronchiolitis)
        • Viêm tiểu phế quản tắc nghẽn (Obliterative bronchiolitis)
        • Hội chứng Swyer-James (Swyer-James syndrome)
        • Hen suyễn (Asthma)
    • Nhiễm trùng
      • Tổng quát
        • Viêm phế quản phế viêm (Bronchopneumonia)/ Viêm phổi thùy (Lobular pneumonia)
        • Viêm phổi mắc phải tại cộng đồng (Community-acquired pneumonia - CAP)
        • Áp xe phổi (Lung Abscess)
        • Thuyên tắc phổi nhiễm trùng (Septic pulmonary emboli)
      • Vi khuẩn
        • Viêm phổi do Klebsiella (Klebsiella Pneumonia)
        • Viêm phổi do tụ cầu (Staphylococcal Pneumonia)
        • Viêm phổi do phế cầu (Pneumococcal Pneumonia)
        • Viêm phổi Legionella (Legionella pneumonia)
        • Nocardiosis phổi (Pulmonary Nocardiosis)/ Viêm phổi do Nocardiosis
        • Actinomycosis phổi (Thoracic Actinomycosis)
        • Viêm phổi Melioidosis
        • Viêm phổi do Mycobacterium không điển hình (Pulmonary non-tuberculous mycobacterial infection - NTM)/ Mycobacterium không phải lao
        • Viêm phổi do Mycobacterium Avium (Pulmonary Mycobacterium avium complex infection - MAC)
        • Viêm phổi do Mycoplasma pneumoniae/Viêm phổi không điển hình (atypical pneumonia)
        • Lao phổi (Tuberculosis - Pulmonary Manifestations)
      • Virus
        • Viêm phổi do Cúm (Influenza Pneumonia)
        • Viêm phổi do Cytomegalovirus ( Cytomegalovirus pulmonary infection - CMV)
        • Nhiễm trùng đường hô hấp do virus (Viral respiratory tract infection)
        • COVID-19
      • Nấm
        • Viêm phổi do nấm Histoplasma
        • Viêm phổi do nhiễm nấm Coccidioides
        • Viêm phổi do nấm Blastomyces
        • Viêm phổi do nấm Cryptococcus (Pulmonary cryptococcosis)
        • Viêm phổi do nấm Paracoccidioidomycosis
        • Viêm phổi do nấm Aspergillus (Aspergillosis)
        • Viêm phổi do nấm Pneumocystis jirovecii (PJP)
      • Kí sinh trùng
        • Nhiễm sán dải chó ở phổi (Pulmonary hydatid infection)
    • U phổi
      • Ung thư phổi
        • Ung thư biểu mô tế bào vảy phổi (Squamous Cell Carcinoma of the Lung)
        • Nốt phổi đơn độc (Solitary pulmonary nodule - SPN)
        • Ung thư biểu mô tuyến phổi (Adenocarcinoma of the lung)
        • Ung thư phổi tế bào nhỏ (Small cell lung carcinoma - SCLC)
        • Ung thư phổi đa ổ nguyên phát đồng thời (Synchronous primary lung carcinoma - SPLC)
        • Ung thư phổi đa ổ nguyên phát khác thời điểm (Metachronous primary lung carcinoma)
        • Sàng lọc Ung thư Phổi (Lung Cancer Screening)
        • U Pancoast (Pancoast tumor)
        • Hệ thống phân giai đoạn ung thư phổi phiên bản 9 của IASLC (xuất bản năm 2025)
      • Khối u ít gặp
        • Sarcoma Kaposi (KS)
        • U thần kinh nội tiết của phổi (Pulmonary neuroendocrine tumors)
        • U carcinoid phổi ngoại biên (Peripheral Pulmonary Carcinoid Tumor)
        • Ung thư biểu mô thần kinh nội tiết tế bào lớn của phổi (Large cell neuroendocrine carcinoma - LCNEC)
        • U Carcinoid phế quản (Bronchial Carcinoid Tumors)/ U thần kinh nội tiết phế quản
        • U mô thừa phổi (Pulmonary Hamartomas)
      • U lympho và Rối loạn tăng sinh lympho
        • Viêm tiểu phế quản thể nang (Follicular bronchiolitis - FB)
        • Viêm phổi kẽ dạng lympho (Lymphoid interstitial pneumonia - LIP)
        • U Lymphoma phổi (Pulmonary lymphoma - PL)
      • Di căn
        • Di căn theo đường bạch huyết (Lymphangitic carcinomatosis)
        • Thuyên tắc do u (Tumor Emboli)
        • Di căn theo đường máu (Hematogenous Metastases)
    • Bệnh phổi mô kẽ, lan tỏa và hít phải
      • Bệnh phổi mô kẽ
        • Hội chứng suy hô hấp cấp tiến triển (ARDS)
        • Viêm phổi kẽ cấp tính (Acute Interstitial Pneumonia - AIP)
        • Xơ phổi vô căn (Idiopathic pulmonary fibrosis - IPF)/Viêm phổi kẽ thông thường vô căn (Idiopathic usual interstitial pneumonia - UIP)
        • Viêm phổi kẽ không đặc hiệu (Non-specific interstitial pneumonia - NSIP)
        • Viêm phổi tổ chức hóa (Organizing Pneumonia - OP)
        • Sarcoidosis phổi (thoracic manifestations)
        • Tăng sinh sợi đàn hồi màng phổi-phổi (Pleuroparenchymal fibroelastosis - PPFE)
      • Bệnh lý do hút thuốc
        • Viêm phổi kẽ tróc vảy (Desquamative interstitial pneumonia - DIP)
        • Hội chứng xơ hóa phổi và khí phế thũng kết hợp (Combined Pulmonary Fibrosis and Emphysema - CPFE)
        • Viêm tiểu phế quản hô hấp (Respiratory Bronchiolitis)
        • Bệnh phổi kẽ liên quan đến viêm tiểu phế quản hô hấp (Respiratory Bronchiolitis Interstitial Lung Disease - RB-ILD)
        • Bệnh mô bào Langerhans ở phổi (Pulmonary Langerhans Cell Histiocytosis - PLCH)
      • Bệnh bụi phổi
        • Bệnh bụi phổi amiăng (Asbestosis)
        • Bệnh bụi phổi do kim loại nặng (Hard Metal Pneumoconiosis)/Viêm phổi kẽ tế bào khổng lồ (Giant cell interstitial pneumonia - GIP)
        • Bệnh bụi phổi Silic (Silicosis)/Bệnh bụi phổi công nhân mỏ than (Coal Worker's Pneumoconiosis - CWP)
        • Khối xơ hóa tiến triển (Progressive massive fibrosis - PMF)
      • Các rối loạn hô hấp khác
        • Tổn thương phổi liên quan đến sử dụng thuốc lá điện tử hoặc sản phẩm vaping (E-cigarette or vaping product use-associated lung injury - EVALI)
        • Viêm phổi quá mẫn (Hypersensitivity Pneumonitis - HP)
        • Viêm phổi do hít sặc (Aspiration pneumonia)
        • Bệnh phổi do thuốc tiêm (Excipient lung disease - ELD)
      • Bệnh phổi tăng bạch cầu ái toan
        • Viêm phổi tăng bạch cầu ái toan cấp tính (Acute Eosinophilic Pneumonia - AEP)
        • Viêm phổi tăng bạch cầu ái toan mạn tính (Chronic Eosinophilic Pneumonia - CEP)
      • Bệnh lý chuyển hóa và các bệnh khác
        • Bệnh vi sỏi phế nang phổi (Pulmonary alveolar microlithiasis - PAM)
        • Vôi hóa phổi di căn (Metastatic pulmonary calcification - MPC)
        • Bệnh phổi thoái hóa dạng bột (Amyloidosis pulmonary)
        • Viêm phổi do mỡ (Lipoid pneumonia - LP)
        • Bệnh lắng đọng protein phế nang phổi (Pulmonary alveolar proteinosis - PAP)
        • Bệnh cơ trơn mạch bạch huyết (Lymphangioleiomyomatosis - LAM)
        • Cốt hóa phổi dạng cành cây (Dendriform pulmonary ossification - DPO)
    • Bệnh Rối Loạn Mô Liên Kết, Miễn Dịch và Viêm Mạch
      • Các Rối Loạn Miễn Dịch và Mô Liên Kết
        • Viêm khớp dạng thấp biểu hiện ở phổi (Rheumatoid arthritis - RA)/ Bệnh phổi dạng thấp (Rheumatoid lung)
        • Xơ cứng bì (biểu hiện ở phổi) - Scleroderma (pulmonary manifestations)
        • Bệnh mô liên kết hỗn hợp (Biểu hiện ở phổi) - Mixed connective tissue disease (pulmonary manifestations)
        • Viêm đa cơ (biểu hiện ở phổi) - Polymyositis (pulmonary manifestations)
        • Bệnh lupus ban đỏ hệ thồng (biểu hiện ở ngực) - Systemic lupus erythematosus (thoracic manifestations)
        • Hội chứng Sjögren (Biểu hiện ở ngực) - Sjögren syndrome (thoracic manifestations)
        • Viêm cột sống dính khớp (Biểu hiện ở phổi) - (Ankylosing spondylitis- thoracic manifestations)
        • Erdheim-Chester disease (pulmonary manifestations)
      • Biến chứng suy giảm miễn dịch
        • Ghép tế bào gốc tạo máu (Biến chứng ở ngực) - Hematopoietic stem cell transplantation (thoracic complications)
        • HIV/AIDS (Biểu hiện ở phổi và lồng ngực) - HIV/AIDS (pulmonary and thoracic manifestations)
      • Xuất huyết và viêm mạch
        • Bệnh lắng đọng hemosiderin phổi vô căn (Idiopathic pulmonary hemosiderosis - IPH)/ Xuất huyết phổi vô căn
        • Hội chứng Goodpasture (Goodpasture Syndrome)
        • Bệnh u hạt kèm viêm đa mạch (Biểu hiện tại lồng ngực) - Granulomatosis with polyangiitis (thoracic manifestations)
        • Bệnh u hạt tăng bạch cầu ái toan kèm viêm đa mạch (Biểu hiện tại lồng ngực) - Eosinophilic granulomatosis with polyangiitis (EGPA)
        • Bệnh Behçet (Biểu hiện ở lồng ngực)
    • Bất thường trung thất
      • Khối u nguyên phát
        • U tuyến ức (Thymoma)
        • U Carcinoid/nội tiết thần kinh tuyến ức - Carcinoid/neuroendocrine tumors of the thymus
        • Ung thư biểu mô tuyến ức (Thymic carcinoma)
        • U mỡ tuyến ức (Thymolipoma)
        • U quái trung thất (Mediastinal Teratoma)
        • U Tinh (Seminoma) trung thất (Mediastinal Seminoma)
        • U túi noãn hoàng trung thất (Mediastinal yolk sac tumor)/U tế bào mầm không phải Seminoma (Nonseminomatous germ cell tumor - NSGCT)
        • U tế bào mầm thể hỗn hợp ở trung thất (Mediastinal mixed germ cell tumor)/U tế bào mầm không phải Seminoma (Nonseminomatous germ cell tumor - NSGCT)
        • U bao dây thần kinh (Neurogenic neoplasms of the nerve sheath)
        • Bệnh đa u sợi thần kinh type 1 (Neurofibromatosis type 1 - NF1)
        • U nguyên bào thần kinh hạch ở trung thất (Ganglioneuroblastoma)
        • U nguyên bào thần kinh ở trung thất (Neuroblastoma)
        • U hạch thần kinh (Ganglioneuroma)
      • Hạch trung thất
        • Phì đại hạch trung thất (Mediastinal lymph node enlargement)
        • Lymphoma trung thất (Mediastinal lymphoma)
        • Viêm trung thất xơ hóa (Fibrosing mediastinitis)
        • Bệnh Castleman (Castleman disease)
        • Phân loại hạch bạch huyết lồng ngực (Thoracic lymph node stations)
      • Nang
        • Nang phế quản (Bronchogenic cyst - BC)
        • Nang đôi thực quản (Esophageal duplication cyst - EDC)
        • Nang màng ngoài tim (Pericardial Cyst)
        • Nang tuyến ức (Thymic cyst)
      • Bất thường mạch máu
        • Giãn tĩnh mạch thực quản (Esophageal varix)
        • Phình động mạch chủ ngực (Thoracic aortic aneurysm)
        • Phình động mạch vành (Coronary artery aneurysm)
        • U mạch bạch huyết trung thất (Mediastinal Lymphangioma)
        • U máu trung thất (Mediastinal Hemangioma)
      • Phì đại tuyến
        • Tăng sản tuyến ức (Thymic Hyperplasia)
        • Bướu giáp trung thất (Mediastinal Goiter)/Bướu giáp sau xương ức (Retrosternal/Substernal goiter)
      • Bệnh lý thực quản
        • Co thắt tâm vị (Achalasia)- Hình ảnh ở ngực
      • Bất thường khác
        • Bệnh nhiễm mỡ trung thất (Mediastinal Lipomatosis)
        • Viêm trung thất (Mediastinitis)
        • Hoại tử mỡ trung thất (Mediastinal fat necrosis - MFN)
        • Tạo máu ngoài tủy (biểu hiện ở ngực)(Extramedullary Hematopoiesis)
    • Tim mạch
      • Mạch máu lớn
        • Hội chứng động mạch chủ cấp (Acute aortic syndrome - AAS)
        • Hội chứng Marfan (Marfan syndrome)
        • Viêm động mạch Takayasu (Takayasu arteritis - TA)
        • Hội chứng chèn ép tĩnh mạch chủ trên (Superior vena cava obstruction - SVCO / Superior vena cava syndrome - SVCS)
      • Phù phổi
        • Phù phổi (Pulmonary edema)
      • Tăng áp phổi và Thuyên tắc
        • Tăng áp động mạch phổi (Pulmonary artery hypertension - PAH)
        • Hội chứng ngực cấp tính trong bệnh hồng cầu hình liềm - Sickle cell disease (acute chest syndrome)
        • Tăng áp động mạch phổi do huyết khối mãn tính (Chronic Thromboembolic Pulmonary Hypertension - CTEPH)
        • Bệnh lý thuyên tắc huyết khối động mạch phổi cấp (Acute Pulmonary Thromboembolic Disease)
        • Tắc nghẽn tĩnh mạch phổi (Pulmonary veno-occlusive disease - PVOD)/ Bệnh u máumao mạch phổi (Pulmonary capillary hemangiomatosis -PCH)
        • Tắc mạch phổi do mỡ (Pulmonary Fat Embolism)/Thuyên tắc mỡ (Fat Embolism - FE)
        • Hội chứng gan-phổi (Hepatopulmonary syndrome - HPS)
        • Các biểu hiện ở phổi do sử dụng chất gây nghiện (Illicit Drug Use, Pulmonary Manifestations)
      • Bệnh lý tim và màng ngoài tim
        • Vôi hóa vòng van hai lá (Mitral annular calcification)
        • Hẹp van động mạch chủ (Aortic valve stenosis)
        • Hở van hai lá (Mitral Valve Regurgitation)
        • Hẹp van hai lá (Mitral Valve Stenosis)
        • Vôi hóa nhĩ trái (Left Atrial Calcification)
        • Bệnh động mạch vành (Coronary Artery Disease - CAD)
        • Tràn dịch màng ngoài tim (Pericardial Effusions)
        • Viêm màng ngoài tim co thắt (Constrictive Pericarditis)
      • Khối u tim mạch
        • Di căn tim và màng ngoài tim (Cardiac and Pericardial Metastases)
        • U nhầy tim (Cardiac Myxoma)
        • Sarcoma tim (Cardiac Sarcoma)
        • Sarcoma động mạch phổi (Pulmonary Artery Sarcoma)
    • Chấn thương
      • Chấn thương phổi và đường thở
        • Rách khí phế quản (Tracheobronchial Laceration)
        • Dập phổi (Pulmonary contusion)
        • Rách phổi (Pulmonary laceration)
      • Chấn thương tim mạch, trung thất
        • Rách ống ngực (Thoracic duct tear)/Tràn dịch dưỡng chấp màng phổi (Chylothorax)
        • Tràn khí trung thất (Pneumomediastinum)
        • Tổn thương động mạch chủ do chấn thương (Traumatic Aortic Injury - TAI)
        • Thủng thực quản (chest) (Esophageal perforation)
      • Màng phổi, Thành ngực, và Cơ hoành
        • Tràn máu màng phổi do chấn thương (Traumatic Hemothorax)
        • Tràn khí màng phổi do chấn thương (Traumatic pneumothorax)
        • Lách lạc chỗ khoang màng phổi (Thoracic splenosis)
        • Gãy xương sườn (Rib fractures)
        • Mảng sườn di động (Flail chest)
        • Gãy cột sống (Spinal Fracture)
        • Gãy xương ức (Sternal fracture)
        • Vỡ cơ hoành (Diaphragmatic Rupture)
    • Sau điều trị
      • Dụng cụ bên ngoài
        • Ống mở khí quản (Tracheostomy Tubes)
        • Ống dẫn lưu màng ngoài tim
        • Ống thông liên sườn (Intercostal catheters - ICC)
        • Ống nội khí quản (Endotracheal tubes - ETT)
        • Đường truyền và ống thông (trên X-quang) - Lines and tubes (radiograph)
        • Các thiết bị tạo nhịp tim (Cardiac Conduction Devices)
        • Catheter tĩnh mạch trung tâm (Central venous catheter - CVC)
        • Catheter trung tâm đặt từ tĩnh mạch ngoại vi (Peripherally Inserted Central Catheter - PICC)
        • Bóng đối xung trong động mạch chủ (Intra-aortic balloon pump - IABP)
      • Phẫu thuật và biến chứng
        • Kỹ thuật làm dính màng phổi (Pleurodesis)
        • Phẫu thuật giảm thể tích phổi (LUNG VOLUME REDUCTION SURGERY - LVRS)
        • Phẫu thuật cắt thùy phổi (Lobectomy)
        • Xoắn phổi (Lung torsion)
        • Phẫu thuật cắt toàn bộ phổi (Pneumonectomy)
        • Phẫu thuật tạo hình lồng ngực (Thoracoplasty)
        • Thoát vị phổi (Lung Herniation)
        • Phẫu thuật mở xương ức - Sternotomy
        • Ghép tim (Heart transplantation)
        • Ghép phổi - Lung transplant
        • Phẫu thuật cắt thực quản (Esophagectomy)
      • Hóa xạ trị
        • Bệnh phổi do xạ trị (Radiation-induced lung disease - RILD)
        • Bệnh phổi do thuốc (Drug-induced lung disease)
    • Màng phổi
      • Tràn dịch màng phổi
        • Tràn dịch màng phổi (Pleural effusions)
        • Tràn máu màng phổi (Hemothorax)
        • Tràn mủ màng phổi (Empyema)
      • Tràn khí màng phổi
        • Tràn khí màng phổi (Pneumothorax)
      • Dày màng phổi
        • Mũ đỉnh phổi (Apical Cap)
        • Mảng màng phổi (Pleural plaques)
        • Xơ hóa màng phổi và Dày dính màng phổi (Pleural Fibrosis and Fibrothorax)
      • Khối u màng phổi
        • Tràn dịch màng phổi ác tính (Malignant Pleural Effusion - MPE)
        • Nốt di căn màng phổi (Solid Pleural Metastases)
        • U trung biểu mô màng phổi ác tính (Malignant Pleural Mesothelioma - MPM)
        • Hệ thống phân giai đoạn TNM lần thứ tám cho U trung biểu mô màng phổi ác tính - Malignant pleural mesothelioma (TNM staging)
        • U xơ khu trú của màng phổi (Localized Fibrous Tumor of the Pleura - LFTP)
    • Thành ngực và cơ hoành
      • Thành ngực
        • Tràn mủ màng phổi xuyên qua thành ngực (Empyema Necessitans)
        • U mỡ thành ngực (Chest Wall Lipomas)
        • Di căn thành ngực (Chest Wall Metastases)
        • U sợi đàn hồi vùng lưng (Elastofibroma Dorsi)
      • Cơ hoành
        • Nhão cơ hoành (ngực) - Diaphragmatic eventration (chest)
        • Liệt cơ hoành (Diaphragmatic Paralysis)(ngực)
    • Hình ảnh học bình thường
      • Hình ảnh học bình thường
        • X-quang ngực thẳng bình thường (Chest Radiograph)
        • X-quang ngực tư thế nghiêng (Chest - lateral view)
        • Hình ảnh chụp cắt lớp CT ngực (Computed tomography of the chest)
        • Vị trí bình thường của vòm hoành trên X-quang ngực (Normal position of hemidiaphragms on chest radiography)
        • Đường viền bình thường của bóng tim và trung thất trên X-quang ngực (Normal contours of the cardiomediastinum on chest radiography)
        • Giải phẫu phân thùy phế quản-phổi (Bronchopulmonary segmental anatomy)
  • Cơ xương khớp
    • Vai và cánh tay
      • Tổn thương xương và khớp
        • Trật khớp ức đòn (Sternoclavicular joint injury)
        • Gãy xương đòn (Clavicular fractures)
        • Gãy xương bả vai (Scapula fractures)
        • Trật khớp vai ra trước (Anterior shoulder dislocation)
        • Trật khớp vai ra sau (Posterior shoulder dislocations)
        • Trật khớp vai xuống dưới (Inferior shoulder dislocation)
        • Hội chứng vai của cầu thủ ném bóng nhí- Little Leaguer's Shoulder
        • Trật khớp cùng - đòn (Acromioclavicular joint injuries)
        • Gãy mấu động lớn xương cánh tay (Greater tubercle fracture of the shoulder)
        • Tiêu đầu xa xương đòn (Distal clavicle osteolysis)
        • Tổn thương sụn-xương ở vai (Osteochondral Injury, Shoulder)
        • Gãy đầu trên xương cánh tay (Proximal humeral fracture)
        • Gãy thân xương cánh tay (Humeral Shaft Fracture)
        • Mỏm cùng vai phụ (Os acromiale)
      • Tổn thương cơ quanh vai
        • Tổn thương cơ ngực lớn (Pectoralis major injury)
        • Tổn thương cơ delta (Deltoid Muscle Injury)
        • Rách phần gần (phía vai) của cơ tam đầu cánh tay (Proximal Triceps Injury)
      • Tổn thương chóp xoay
        • Hội chứng chèn ép dưới mỏm cùng vai (Subacromial impingement)
        • Rách chóp xoay bán phần (Partial-thickness rotator cuff tear)
        • Rách chóp xoay toàn phần (Rotator Cuff Full-Thickness Tear)
        • Rách gân cơ trên gai (Supraspinatus tendon tear)
        • Rách gân cơ dưới gai (Infraspinatus tendon tear)
        • Rách khoảnh trống chóp xoay (Rotator Interval Tear)
        • Rách gân cơ dưới vai (Subscapularis tendon tear)
        • Chóp xoay sau phẫu thuật (Rotator cuff repair)
        • Viêm gân vôi hóa chóp xoay (Calcific tendinitis)
      • Tổn thương Cơ nhị đầu đoạn vai
        • Viêm gân cơ nhị đầu (Biceps Tendinopathy, Shoulder)
        • Rách gân cơ nhị đầu đoạn trong khớp (Biceps Tendon Tear, Intraarticular)
        • Trật gân cơ nhị đầu (Biceps Tendon Dislocation)
      • Biến thể sụn viền bình thường
        • Rãnh dưới sụn viền trên (Superior sublabral sulcus)
        • Lỗ dưới sụn viền (Sublabral foramen- SLF)
        • Phức hợp Buford (Buford complex)
      • Bệnh lý sụn viền và mất vững
        • Tổn thương Bankart (Bankart Lesion)/ Rách sụn viền trước dưới
        • Viêm dính bao khớp vai (Adhesive capsulitis of the shoulder)
        • Tổn thương ALPSA (Anterior Labrum Periosteal Sleeve Avulsion)
        • Tổn thương Perthes (Perthes lesion)
        • Tổn thương GLAD rách sụn viền-mặt khớp (Glenolabral Articular Disruption)
        • Tổn thương HAGL (Humeral Avulsion of the Glenohumeral Ligament)/ Bong dây chằng ổ chảo-cánh tay dưới
        • Tổn thương GAGL (Glenoid Avulsion of the Glenohumeral Ligament)
        • Tổn thương Bennett ở vai (Bennett lesion of the shoulder)
        • Rách sụn viền ổ chảo phía sau (Reverse Bankart lesion)
        • Mất vững khớp vai đa hướng (Multidirectional shoulder instability)
      • Tổn thương sụn viền trên
        • Rách sụn viền trên - SLAP (Superior labral anterior posterior tear)
      • Hội chứng chẹn trong
        • Hội chứng chèn ép khớp vai sau-trên (Posterosuperior impingement of the shoulder)/ Hội chứng chèn ép trong khớp vai (Internal Impingement)
      • Tổn thương thần kinh khớp vai
        • Hội chứng Parsonage-Turner (Parsonage-Turner syndrome)/ Viêm dây thần kinh cơ vai
      • Nang vai
        • U nang hạch ở khuyết gai-ổ chảo (Spinoglenoid notch ganglion cyst)
        • Nang cạnh sụn viền vai (Paralabral cyst of the shoulder)
    • Khuỷu tay và cẳng tay
      • Xương và khớp
        • Gãy đầu dưới xương cánh tay (Distal Humerus Fracture)
        • Gãy trên lồi cầu xương cánh tay (Supracondylar Humeral Fracture)
        • Gãy lồi cầu ngoài xương cánh tay (Lateral humeral condyle fracture)
        • Gãy mỏm trên lồi cầu trong (Medial epicondyle fracture)
        • Gãy chỏm con xương cánh tay (Capitellum fracture)
        • Trật khớp khuỷu (Elbow Dislocation)
        • Gãy Monteggia ( gãy trật khớp khủy)
        • Viêm sụn-xương bóc tách ở khuỷu (Osteochondritis Dissecans - OCD)
        • Gãy chỏm xương quay (Radial head fracture)
        • Gãy cổ xương quay (Radial neck fracture)
        • Gãy mỏm khuỷu (Olecranon Fracture)
        • Gãy mỏm vẹt (Coronoid Fracture)
        • Gãy xương cẳng tay (Forearm Fractures)
        • Gãy Galeazzi (Galeazzi fracture-dislocation)
        • Gãy-trật Essex-Lopresti (Essex-Lopresti fracture-dislocation)
      • Tổn thương dây chằng
        • Tổn thương phức hợp dây chằng bên ngoài (Lateral Collateral Ligament - LCL complex)
        • Tổn thương dây chằng vòng (Annular ligament)
        • Tổn thương dây chằng bên trụ (Ulnar Collateral Ligament- UCL)
        • Tổn thương khuỷu tay do stress vẹo ngoài/Khuỷu tay của cầu thủ ném bóng nhí (Valgus Stress Mechanism/Little Leaguer's Elbow)
      • Tổn thương gân cơ
        • Tổn thương gân cơ nhị đầu ở khuỷu (Biceps Tendon Injury, Elbow)
        • Tổn thương gân cơ tam đầu vùng khuỷu (Triceps Tendon Injury, Elbow)
        • Tổn thương gân duỗi chung ở khuỷu (Common Extensor Tendon Injury)
        • Tổn thương gân gập-sấp chung (Common Flexor-Pronator Tendon Injury)
        • Tổn thương cơ cánh tay (Brachialis Injury)
      • Tổn thương khác
        • Mảnh vỡ trong khớp khuỷu (Intraarticular Bodies, Elbow)
        • Hội chứng nếp hoạt dịch (Synovial fold syndrome - SFS)
        • Hội chứng chẹn sau của khuỷu (Posterior Impingement, Elbow)/Hội chứng quá duỗi mỏm khuỷu (Valgus Extension Overload- VEO)
        • Viêm bao hoạt dịch khuỷu tay (Olecranon Bursitis)
        • Viêm bao hoạt dịch nhị đầu-quay (Bicipitoradial Bursitis)
        • Tổn thương thần kinh trụ ở khuỷu (Ulnar Nerve Injury, Elbow)
        • Tổn thương thần kinh giữa ở khuỷu (Median Nerve Injury, Elbow)
        • Tổn thương thần kinh quay ở khuỷu (Radial Nerve Injury, Elbow)
    • Cổ tay và bàn tay
      • Tổn thương xương- khớp cẳng tay
        • Gãy xương cẳng tay dưới ở trẻ em (Juvenile Distal Forearm Fractures)
        •  Gãy phình vỏ xương cẳng tay (Buckle fracture).
        • Gãy cành tươi (Greenstick fracture)
        • Gãy cong (Bowing fracture)
        • Gãy đầu dưới xương quay (Distal radial fracture)
        • Gãy Colles (Colles fracture)
        • Gãy Smith (Smith fracture)
        • Gãy Barton (Barton fracture)
        • Gãy Chauffeur (Chauffeur fracture)
        • Gãy lún mặt nguyệt xương quay (Die-Punch Fracture)
        • Tổn thương sụn tiếp hợp do quá tải ở cổ tay trẻ em (Trauma-Related Osteolysis, Pediatric Wrist)
        • Mất vững khớp quay trụ dưới (Distal Radioulnar Joint Instability)
        • Độ nghiêng xương quay (Radial inclination)
        • Độ nghiêng lòng tay (Volar tilt)
        • Gãy mỏm trâm trụ (Ulnar styloid fracture)
      • Tổn thương xương- khớp cổ tay
        • Giải phẫu xương cổ tay (Carpal bones)
        • Gãy xương thuyền (Scaphoid Fracture)
        • Khớp giả xương thuyền (Scaphoid non-union)
        • Hội chứng SNAC ở xương thuyền (Scaphoid Non-union Advanced Collapse)
        • Hoại tử vô mạch xương thuyền (scaphoid osteonecrosis)
        • Gãy xương tháp (Triquetral fracture)
        • Gãy xương thang (Trapezium fracture)
        • Gãy xương nguyệt (Lunate fracture)
        • Gãy xương cả (Capitate fracture)
        • Gãy xương móc (Hamate fracture)
        • Gãy xương đậu (Pisiform fracture)
        • Gãy xương thê (Trapezoid fracture)
        • Hoại tử vô mạch xương nguyệt (Kienböck disease)
        • Hội chứng SLAC ở xương thuyền- nguyệt(Scapholunate Advanced Collapse)
        • Biến dạng lưng gù của xương thuyền (Humpback deformity of the scaphoid)
      • Trật khớp cổ tay
        • Ba cung cổ tay của Gilula (Gilula's three carpal arcs)
        • Góc Cả-Nguyệt (Capitolunate angle)
        • Góc Thuyền-Nguyệt (Scapholunate angle)
        • Mất vững về phía lòng tay từng đoạn (Volar Intercalated Segment Instability - VISI)
        • Mất vững về phía mu tay từng đoạn (Dorsal Intercalated Segment Instability - DISI)
        • Trật xương nguyệt (Lunate dislocation)
        • Trật quanh nguyệt (Perilunate dislocation)
        • Mất vững thuyền-nguyệt (Scapholunate dissociation)
        • Trật khớp giữa các hàng xương cổ tay (Midcarpal dislocation)
        • Phân loại Mayfield về mất vững khối xương cổ tay (Mayfield classification of carpal instability)
      • Hội chứng chèn ép và kẹt cổ tay phía xương trụ
        • Hội chứng kẹt xương trụ (Ulnar impaction syndrome)
        • Hội chứng chèn ép xương trụ (Ulnar impingement syndrome)
        • Hội chứng kẹt mỏm trâm trụ (Ulnar styloid impaction syndrome)
        • Hội chứng chẹn móc-nguyệt (Hamatolunate impingement)
      • Tổn thương xương- khớp bàn tay
        • Gãy xương bàn tay (Metacarpal fracture)
        • Gãy xương ngón tay cái (Fractures of the thumb)
        • Gãy ngón út xương bàn tay do đấm (Boxer's fracture)
        • Trật khớp bàn-cổ tay (Carpometacarpal - CMC joint dislocation)
        • Trật khớp bàn-đốt (Metacarpophalangeal joint - MCPJ dislocation)
      • Tổn thương xương- khớp ngón tay
        • Gãy xương ngón tay đốt gần (Proximal phalanx fracture)
        • Gãy xương ngón tay đốt giữa (Middle phalanx fracture)
        • Gãy đốt xa xương ngón tay (Distal phalanx fracture)
        • Ngón tay búa (Mallet finger)
        • Ngón tay Jersey (Jersey finger)
        • Trật khớp ngón tay (Interphalangeal joint dislocation)
        • Gãy bong ở mặt lòng tay (Volar plate avulsion injury)
      • Tổn thương dây chằng và gân cơ
        • Các khoang duỗi cổ tay (Extensor compartments of the wrist)
        • Tổn thương phức hợp sụn sợi tam giác (Triangular fibrocartilage complex - TFCC injury)
        • Đứt dây chằng thuyền-nguyệt (Scapholunate ligament tear)
        • Viêm bao gân De Quervain (De Quervain tenosynovitis)
        • Hội chứng giao thoa gân duỗi gần (Proximal intersection syndrome)
        • Hội chứng giao thoa gân duỗi xa (Distal intersection syndrome)
        • Bệnh lý gân duỗi cổ tay trụ (Extensor Carpi Ulnaris - ECU tendinopathy)
        • Tổn thương dây chằng bên của ngón tay (Collateral ligament injury of finger)
      • Tổn thương thần kinh, mạch máu và bao hoạt dịch
        • Nang bao hoạt dịch ở tay (Ganglion cysts of the hand and wrist)
        • Hội chứng ống cổ tay (Carpal tunnel syndrome)
        • Hội chứng kênh Guyon (Guyon's canal syndrome)
        • Hội chứng Búa mô út (Hypothenar hammer syndrome)
    • Khớp háng và Xương chậu
      • Tổn thương khớp háng và đầu trên xương đùi
        • Trật khớp háng ra trước (Anterior hip dislocation- AHD)
        • Trật khớp háng ra sau (Posterior hip dislocation - PHD)
        • Gãy chỏm xương đùi (Femoral Head Fracture)
        • Gãy cổ xương đùi (Femoral Neck Fracture)
        • Gãy vùng mấu chuyển (Trochanteric fracture)
        • Phân loại Garden gãy cổ xương đùi
        • Gãy mấu chuyển lớn xương đùi (Isolated greater trochanteric fracture)
        • Gãy thân xương đùi (Femoral Shaft Fracture)
        • Gãy xương đùi liên quan đến bisphosphonate (Atypical femoral fracture)
      • Tổn thương xương chậu
        • Tiếp cận X- quang xương chậu
        • Gãy ổ cối (Acetabular fracture)
        • Gãy xương chậu (Pelvic fractures)
        • Gãy bong sụn tiếp hợp ở háng và chậu (Apophyseal avulsion fractures of the pelvis and hip)
        • Gãy xương chậu do suy yếu (Pelvic insufficiency fracture)/ Gãy xương chậu do stress
        • Gãy xương cùng (Sacral fractures)
        • Gãy xương cùng do suy yếu (Sacral insufficiency fracture)/ gãy xương cùng do mỏi (stress fracture)
      • Tổn thương sụn viền
        • Rách sụn viền ổ cối (Acetabular labral tear)
        • Hõm trên ổ cối (Supra-acetabular fossa)
        • Khuyết phụ trên ổ cối (Accessory superior acetabular notch)
        • Nang cạnh sụn viền khớp háng (Paralabral cyst of the hip joint)
      • Hoại tử chỏm và khớp háng nhân tạo
        • Loãng xương thoáng qua khớp háng (Transient osteoporosis of the hip)
        • Hoại tử vô mạch chỏm xương đùi (Osteonecrosis of the femoral head)
        • Thay khớp háng bán phần (Hip hemiarthroplasty)
        • Thay khớp háng toàn phần (Total Hip Arthroplasty - THA)
        • Biến chứng thay khớp háng (Total hip arthroplasty complications)
        • Tái tạo bề mặt khớp háng (Hip resurfacing arthroplasty)
      • Tổn thương dây chằng và gân cơ
        • Tổn thương dây chằng tròn (Ligamentum teres injury)
        • Tổn thương gân cơ mông (Gluteal tendinopathy)(nhóm cơ dạng háng)
        • Tổn thương cơ thẳng đùi (Rectus femoris muscle injuries)(nhóm cơ gập háng)
        • Tổn thương cơ Hamstring (gân chân ngỗng)(nhóm cơ duỗi háng)
        • Tổn thương cơ khép dài (Adductor longus)(nhóm cơ khép háng)
        • Đau bẹn ở vận động viên (Athletic Pubalgia)
        • Viêm xương mu (Osteitis pubis)
      • Hội chứng chẹn và khớp kêu
        • Hội chứng dải chậu-chày ở khớp háng (Proximal iliotibial band syndrome)
        • Hội chứng khớp háng kêu (Snapping hip syndrome)
        • Háng kêu do gân cơ thắt lưng chậu (Snapping iliopsoas tendon)
        • Hội chứng kẹt (chẹn) ụ ngồi-xương đùi (Ischiofemoral impingement)
        • Hội chứng kẹt (chẹn) xương đùi-ổ cối (Femoroacetabular Impingement - FAI)
        • Biến dạng Cam ở chỏm xương đùi (Trong hội chứng chẹn xương đùi- ổ cối) (Cam morphology - femoroacetabular impingement)
        • Hình thái Pincer (Kìm) của ổ cối (trong hội chứng kẹt xương đùi-ổ cối)
        • Lún ổ cối (Acetabular protrusion)
      • Tổn thương thần kinh và bao hoạt dịch
        • Viêm bao hoạt dịch mấu chuyển lớn (Trochanteric bursitis)
        • Viêm bao hoạt dịch cơ thắt lưng chậu (Iliopsoas bursitis)
        • Tổn thương Morel-Lavallée
        • Bệnh lý thần kinh tọa (thần kinh tọa- sciatic nerve)/ Hội chứng cơ hình lê (Piriformis syndrome)
    • Khớp gối
      • Tổn thương xương và khớp gối
        • Gãy đầu dưới xương đùi (Distal femoral fracture)
        • Gãy mâm chày (Tibial Plateau Fracture)
        • Gãy Hoffa (gãy lồi cầu xương đùi)
        • Trật khớp gối (Knee dislocation)
        • Gãy Maisonneuve (gãy đầu trên xương mác)
        • Gãy thân xương chày (Tibial shaft fracture)
        •  Hội chứng stress mặt trong xương chày (Medial Tibial Stress Syndrome - MTSS)
        • Gãy xoắn xương chày ở trẻ em (Toddler fracture)
        • Chấn thương sụn xương khớp gối (Osteochondral Injury, Knee)
        • Bong tách sụn khớp gối (Chondral delamination)
        • Gãy sụn khớp gối (Chondral Fracture)
        • Gãy xương dưới sụn do mỏi ở gối (Subchondral insufficiency fracture of the knee - SIFK)
        • Dập xương ở gối (Patterns of bone bruise in knee injury)
        • Viêm sụn-xương bóc tách ở khớp gối (Osteochondritis dissecans of the knee)
      • Gãy bong khớp gối
        • Gãy bong điểm bám dây chằng chéo trước (Anterior cruciate ligament avulsion fracture- ACL)
        • Gãy bong điểm bám dây chằng chéo sau ở xương chày (Posterior cruciate ligament avulsion fracture)
        • Gãy Stieda/ Gãy bong điểm bám dây chằng MCL vào lồi cầu trong xương đùi
        • Gãy Segond ngược/Gãy bong mâm chày trong
        • Gãy bong phức hợp dây chằng cung (Dấu hiệu Arcuate)
        • Gãy Segond (Gãy bong mâm chày do đứt ACL)
        • Gãy bong điểm bám đầu xa gân cơ bán mạc (Semimembranosus distal tendon avulsion)
        • Bệnh Osgood-Schlatter (viêm lồi củ chày)
        • Bệnh Sinding-Larsen-Johansson (SLJ)
        • Bệnh lý gối do nhảy (Jumper's knee)
      • Tổn thương xương bánh chè
        • Xương bánh chè hai mảnh (Bipartite patella)
        • Xương bánh chè nhiều mảnh (Multipartite patella)
        •  Phân loại Wiberg về hình dáng xương bánh chè
        • Khuyết mặt sau xương bánh chè (Dorsal defect of the patella)
        • Gãy xương bánh chè (Patellar fracture)
        • Trật xương bánh chè ra ngoài (Lateral patellar dislocation)
        • Mất vững khớp bánh chè-đùi (Patellofemoral instability)
        • Xương bánh chè nằm thấp (Patella baja)
        • Xương bánh chè nằm cao (Patella alta)
        • Nhuyễn sụn xương bánh chè (Chondromalacia patellae)
        • Hội chứng Móng-Xương bánh chè (Nail-patella syndrome)
        • Gãy bong xương bánh chè (Patellar sleeve fracture)
        • Đứt gân bánh chè (Patellar tendon rupture)
      • Tổn thương dây chằng và gân cơ
        • Rách dây chằng chéo trước ACL (Anterior cruciate ligament tear)
        • Rách dây chằng chéo trước (ACL) mạn tính
        • Thoái hóa nhầy của dây chằng chéo trước (Anterior cruciate ligament (ACL) mucoid degeneration)
        • Bộ ba bất hạnh của O'Donoghue (O'Donoghue unhappy triad)
        • Phẫu thuật dây chằng chéo trước (Anterior cruciate ligament reconstruction)
        • Rách dây chằng chéo sau (Posterior Cruciate Ligament - PCL tear)
        • Tổn thương dây chằng bên trong (Medial Collateral Ligament - MCL injuries)
        • Phân độ tổn thương dây chằng bên trong (Medial collateral ligament injury grading)
        • Tổn thương dây chằng bên ngoài (Lateral collateral ligament injury of the knee)
        • Tổn thương góc sau ngoài ở khớp gối (Posterolateral corner injury of the knee)
        • Tổn thương góc sau trong (Posteromedial corner injury of the knee)
        • Tổn thương dây chằng bánh chè-đùi trong (Medial patellofemoral ligament injury)
        • Đứt gân tứ đầu đùi (Quadriceps tendon rupture)
        • Hội chứng dải chậu chày (Iliotibial band syndrome)
      • Tổn thương sụn chêm
        • Rách ngang sụn chêm (Horizontal meniscal tear)
        •  Rách xuyên tâm sụn chêm (Radial meniscal tear)
        • Rách dọc sụn chêm (Vertical meniscal tear)
        • Rách sụn chêm kiểu quai xô (Bucket-handle meniscal tear)
        • Rách sụn chêm kiểu vạt (Flap tear)
        • Rách sụn chêm kiểu mỏ vẹt (Parrot beak meniscal tear)
        • Rách rễ sụn chêm (Meniscal root tear)
        • Rách sụn chêm phức tạp (Complex meniscal tear)
        • Tách sụn chêm-bao khớp/ Tổn thương Ramp (Ramp lesion)
        • Bong sụn chêm (Floating meniscus)
        • Cốt hóa sụn chêm (Meniscal ossicle)
        •  Thoát vị sụn chêm (Meniscal extrusion)
        • Nếp gấp sụn chêm (Meniscal flounces)
      • Tổn thương dạng nang ở khớp gối
        • Nang Baker (Baker cyst)/Nang khoeo (Popliteal cyst).
        • Nang hoạt dịch dây chằng chéo trước (Anterior cruciate ligament ganglion cyst)
        • Nang hoạt dịch túi mỡ Hoffa (Hoffa fat pad ganglion cyst)
        • Nang sụn chêm (Meniscal cyst)
        • Viêm bao hoạt dịch dưới bánh chè nông (Superficial infrapatellar bursitis)
        •  Viêm bao hoạt dịch dưới bánh chè sâu (Deep infrapatellar bursitis)
        • Viêm bao hoạt dịch trước bánh chè (Prepatellar bursitis)
        • Viêm bao hoạt dịch gân chân ngỗng (Pes anserinus bursitis)
        • Phình động mạch khoeo (Popliteal artery aneurysm)
      • Tổn thương mỡ và nếp gấp khớp gối
        • Hội chứng chèn ép túi mỡ Hoffa (Hoffa fat pad impingement syndrome)
        • Hội chứng chèn ép túi mỡ trên bánh chè (Anterior suprapatellar fat pad impingement syndrome)
        • Hội chứng chèn ép túi mỡ trước đùi (Prefemoral fat pad impingement syndrome)
        • Thoát vị túi mỡ Hoffa (Hoffa fat pad herniation)
        • Hội chứng nếp gấp màng hoạt dịch phía trong khớp gối (Medial patellar plica syndrome)
    • Cổ chân và bàn chân
      • Tổn thương xương- khớp cổ chân
        • Gãy Pilon (gãy trần xương chày)
        • Gãy mắt cá sau (Posterior malleolus fracture)
        • Gãy Tillaux-Chaput (gãy bong đầu dưới xương chày)
        • Gãy ba mắt cá chân (Trimalleolar fracture)
        • Gãy ba mặt phẳng đầu dưới xương chày (Triplane fracture)
        • Phân loại Weber gãy đầu dưới xương mác (Weber classification of ankle fractures)
      • Tổn thương xương- khớp bàn chân
        • Gãy cổ xương sên (Talar neck fracture)
        • Gãy mỏm bên xương sên (Lateral talar process fracture)
        • Gãy mỏm sau xương sên (Posterior talar process fracture)
        • Gãy xương gót (Calcaneal fracture)
        • Gãy bong lồi củ xương gót (Calcaneal tuberosity avulsion fracture)
        • Gãy mỏm trước xương gót (Anterior calcaneal process fracture)
        • Gãy xương ghe (Navicular fracture)
        • Gãy xương hộp (Cuboid fractures)
        • Gãy-trật Lisfranc (Gãy trật bàn chân)
        • Gãy Jones (Gãy đầu gần xương bàn chân số 5)
        • Gãy bong lồi củ xương bàn chân số 5 (pseudo-Jones fracture)
        • Gãy do mỏi ở xương bàn chân số 5 (Stress fracture of the 5th metatarsal)
        • Gãy xương do mỏi ngón 2 (March fracture)
        • Xương phụ ở bàn chân (Accessory ossicles of the foot)
        • Gãy xương vừng ngón cái (Hallux sesamoid fracture)
        • Nhồi máu Freiberg (hoại tử xương bàn chân)
      • Tổn thương khớp chày mác dưới
        • Tổn thương dây chằng/ dải chày-mác dưới (Distal tibiofibular syndesmosis injuries)
      • Tổn thương khớp chày- sên
        • Tổn thương dây chằng sên-mác trước (Anterior Talofibular Ligament - ATFL injury)
        • Tổn thương dây chằng sên-mác sau (Posterior Talofibular Ligament - PTFL injuries)
        • Tổn thương dây chằng delta cổ chân (Deltoid ligament injuries)
        • Tổn thương phức hợp dây chằng gót-ghe gan chân (Spring ligament complex injury)
      • Khớp dưới sên và xoang cổ chân
        • Hội chứng xoang cổ chân (Sinus tarsi syndrome)
      • Tổn thương khớp giữa cổ chân (khớp Chopart)
        • Bong gân giữa bàn chân (Midtarsal sprains)
        • Gãy trật -khớp giữa bàn chân (khớp Chopart) (Chopart fracture-dislocation)
      • Tổn thương ống cổ chân/ khoang sau trong
        • Rối loạn chức năng gân chày sau (Tibialis posterior dysfunction)
        • Hội chứng ống cổ chân (Tarsal tunnel syndrome)
        • Bệnh lý gân cơ gấp ngón chân cái dài (Flexor Hallucis Longus Tendon Injury)
      • Tổn thương khoang mác
        • Rách gân cơ mác ngắn (Peroneus brevis tear)
        • Tổn thương mạc giữ gân mác trên (Superior peroneal retinaculum injuries)
      • Tổn thương gót chân và gân Achilles
        • Viêm gân Achilles (Achilles tendinopathy)
        • Đứt gân Achilles (Achilles tendon tear)
        • Cốt hóa gân Achilles (Achilles tendon ossification)
        • Viêm cạnh gân Achilles (Paratendinopathy)
        • Viêm bao hoạt dịch sau gót (Retrocalcaneal bursitis)
        • Hội chứng Haglund (gai xương gót)
        • Hội chứng đệm mỡ gót chân (Heel fat pad syndrome)
      • Tổn thương lòng bàn chân
        • Viêm cân gan bàn chân (Plantar fasciitis)
        • U xơ gan chân (Plantar fibromatosis)
        • Rách cân gan chân (Plantar fascial tears)
        • Bệnh lý thần kinh Baxter (Baxter neuropathy)
      • Hội chứng chèn ép khớp cổ chân
        • Hội chứng chèn ép trước ngoài cổ chân (Anterolateral ankle impingement)
        •  Hội chứng chèn ép trước cổ chân (Anterior Ankle Impingement - AAI)
        • Hội chứng chèn ép sau cổ chân (Posterior ankle impingement syndrome)
        • Hội chứng chèn ép sau ngoài bàn chân ngoài khớp (Extra-articular lateral hindfoot impingement syndrome)
    • Viêm khớp
      • Bệnh lý thoái hóa
        • Thoái hóa khớp (Osteoarthritis)
        • Thoái hóa khớp bàn tay (Osteoarthritis of the hand)
        • Thoái hóa khớp bàn tay dạng ăn mòn (Erosive osteoarthritis)
        •  Thoái hóa khớp gối (Osteoarthritis of the knee)
        • Thoái hóa khớp háng (Hip Osteoarthritis - Hip OA)
        • Thoái hóa khớp háng tiến triển nhanh (Rapidly destructive osteoarthritis of the hip)
        • Thoái hóa khớp thái dương-hàm (Osteoarthritis of the temporomandibular joint - TMJ OA)
        • Thoái hóa khớp thuyền-thang-cả (Scaphotrapeziotrapezoidal - STT joint arthritis)
        • Bệnh khớp thần kinh (Neuropathic joint)/ Bệnh khớp Charcot (Charcot joint)
        • Bệnh khớp do Hemophilia (Hemophilic arthropathy)
        • Thoái hóa khớp sau chấn thương (Post-traumatic Osteoarthritis - PTOA)
      • Bệnh lý viêm nhiễm
        • Viêm khớp dạng thấp (Rheumatoid arthritis [musculoskeletal manifestations])
        •  Viêm khớp tự phát thiếu niên (Juvenile idiopathic arthritis - JIA)
        • Viêm cột sống dính khớp (Ankylosing spondylitis)
        •  Viêm khớp vảy nến (Psoriatic arthritis - PsA)
        • Viêm khớp phản ứng (Reactive arthritis)
        • Viêm khớp liên quan đến bệnh ruột (Enteropathic arthritis - EA)
        • Viêm đa khớp mô bào lưới (Multicentric Reticulohistiocytosis - MRH)
        • Viêm khớp nhiễm trùng (Septic arthritis)
      • Bệnh lý lắng đọng
        • Bệnh Gout
        • Bệnh lắng đọng Calci Pyrophosphate Dihydrate (CPPD)/Giả Gout (Pseudogout)
        • Bệnh lắng đọng Calci Apatite (Hydroxyapatite deposition disease)/Bệnh lý vai Milwaukee (Milwaukee shoulder)
        • Bệnh khớp do ứ đọng sắt (Hemochromatosis arthropathy)
        • Bệnh khớp do Ochronosis (Alkapton niệu)
        • Tổn thương cơ xương khớp của bệnh Sarcoidosis
        • Bệnh khớp do Amyloid (Amyloid arthropathy)
      • Bệnh mô liên kết
        • Biểu hiện cơ xương khớp ở bệnh nhân bị Lupus ban đỏ
        • Bệnh khớp Jaccoud (Jaccoud arthropathy)
        • Biểu hiện cơ xương khớp của bệnh xơ cứng bì (Scleroderma)
        • Tăng sản xương lan tỏa vô căn (Diffuse Idiopathic Skeletal Hyperostosis - DISH)
        • Cốt hóa dây chằng dọc sau (Ossification of the Posterior Longitudinal Ligament - OPLL)
        • U tế bào khổng lồ bao gân thể lan tỏa (Diffuse tenosynovial giant cell tumor)
        • U sụn màng hoạt dịch nguyên phát (Primary synovial chondromatosis)
    • U xương
      • U từ mô xương
        • Tổng quan u xương (Bone tumors)
        • U xương (Osteoma)
        • U xương dạng xương (Osteoid osteoma)
        • U nguyên bào xương (Osteoblastoma)
        • Sarcoma xương (Osteosarcoma)
        • Sarcoma xương giãn mạch (Telangiectatic osteosarcoma - TOS/TAEOS)
        • Sarcoma xương cạnh vỏ (Parosteal osteosarcoma)
        • Sarcoma xương cạnh màng xương (Periosteal osteosarcoma)
        • Bệnh Paget ở xương (Paget disease)
        • Sarcoma xương thứ phát (Secondary osteosarcoma)
      • U từ mô sụn
        • U sụn (Enchondroma)
        • Bệnh đa u sụn (Enchondromatosis)/Bệnh Ollier
        • Hội chứng Maffucci (Maffucci syndrome)(nhiều u sụn)
        • Bệnh đa chồi xương di truyền (Hereditary multiple exostoses - HME)
        • U xương sụn (Osteochondroma)
        •  U nguyên bào sụn (Chondroblastoma)
        •  U xơ sụn nhầy (Chondromyxoid fibroma - CMF)
        • U sụn cạnh vỏ (Juxtacortical chondroma)
        •  Sarcoma sụn (Chondrosarcoma)
        • Sarcoma sụn cạnh màng xương (Periosteal chondrosarcoma)
        • Sarcoma sụn biệt hóa kém (Dedifferentiated Chondrosarcoma - DCS)
        • Sarcoma sụn tế bào sáng (Clear cell chondrosarcoma)
        • Chồi xương dưới móng (Subungual exostosis)
      • U từ mô xơ
        • Loạn sản xơ xương (Fibrous dysplasia - FD)
        • Loạn sản xơ tạo xương (Osteofibrous dysplasia)
        • U xơ tạo xương (Ossifying fibroma)
        • U xơ không cốt hóa (Non-ossifying fibroma - NOF)
        • U xơ thể xơ cứng của xương (Desmoplastic fibroma of bone)
      • U từ tủy xương
        • Biểu hiện ở xương của Bệnh mô bào Langerhans (Langerhans cell histiocytosis - skeletal manifestations)
        • Đa u tủy (Multiple Myeloma - MM)
        • Sarcoma Ewing (Ewing sarcoma)
        • U lymphoma nguyên phát tại xương (Primary Bone Lymphoma - PBL)
        • Di căn xương (Bone metastases)
        • U tương bào đơn độc tại xương (Solitary bone plasmacytoma)
      • Các u và giả u khác
        • Nang xương đơn giản (Simple Bone Cyst - SBC)
        • Nang xương phình mạch (Aneurysmal Bone Cyst - ABC)
        • U giả do Hemophilia (Hemophilic pseudotumor)
        • U tế bào khổng lồ của xương (Giant Cell Tumor - GCT of bone)
        • U máu ở xương (Primary intraosseous hemangioma)
        • U men răng (Ameloblastoma)
        • U mỡ trong xương (Intraosseous lipoma)
        • Đảo xương (Bone island)
        • U dây sống ác tính (Sarcoma Chordoma)
    • U mô mềm
      • U mỡ
        • U mỡ (Lipoma)
        • Lắng đọng mỡ (Lipomatosis)
        • Lắng đọng mỡ ở dây thần kinh (Lipomatosis of nerve)
        • U nguyên bào mỡ (Lipoblastoma)
        • U mỡ nâu (Hibernoma)
        • U mỡ không điển hình / Liposarcoma biệt hóa tốt (Atypical Lipomatous Tumor / Well-Differentiated Liposarcoma - ALT/WDLPS)
        • Sarcoma mỡ (Liposarcoma)
      • U nguyên bào sợi/U nguyên bào cơ
        • U sợi ác tính (Malignant Fibrous Histiocytoma - MFH)/ Sarcoma đa hình thái không biệt hóa (Undifferentiated Pleomorphic Sarcoma - UPS)
        • Bệnh u sợi hệ cơ xương khớp (Musculoskeletal fibromatoses)
        • Viêm cân cơ dạng nốt (Nodular fasciitis)
        • Viêm cơ cốt hóa (Myositis ossificans)
        • U sợi hyaline ở trẻ vị thành niên (Juvenile hyaline fibromatosis)
        • U sợi dạng desmoid/ U sợi xâm lấn tại chỗ (Desmoid-Type Fibromatosis/Aggressive fibromatosis)
        • U sợi đơn độc (Solitary fibrous tumor)
        • Sarcoma sợi bì lồi (Dermatofibrosarcoma Protuberans - DFSP)
        • U sợi đàn hồi vùng lưng (Elastofibroma Dorsi)
      • U bao hoạt dịch
        • Sarcoma bao hoạt dịch (Synovial sarcoma)
        • U tế bào khổng lồ bao hoạt dịch gân (Tenosynovial giant cell tumor - TGCT).
      • U cơ
        • Các khối u cơ
        • Sarcoma cơ vân (Rhabdomyosarcoma - RMS)
        • U cơ trơn mạch máu (Angioleiomyoma)
      • U mạch máu
        • U cuộn mạch (Glomus tumor)
        • U máu (Hemagioma) mô mềm (Soft tissue hemangioma)
        • Hội chứng Klippel-Trénaunay (Klippel-Trénaunay syndrome)
        • U nội mô mạch máu (Hemangioendothelioma)
        • U nội mô mạch máu dạng Kaposi (Kaposiform hemangioendothelioma - KHE)
        • Sarcoma mạch máu ở mô mềm (Musculoskeletal angiosarcoma)
      • U thần kinh ngoại biên
        • U vỏ bao thần kinh ngoại biên (Peripheral Nerve Sheath Tumors)
        • U thần kinh gian ngón (Morton neuroma)
        • U thần kinh do chấn thương (Traumatic neuroma)
        • Khối u vỏ bao thần kinh ngoại biên ác tính (Malignant Peripheral Nerve Sheath Tumor - MPNST)
      • U nhầy
        • U nhầy (Myxoid soft tissue tumors)
    • Loạn sản xương
      • Loạn sản ngắn chi
        • Loạn sản sụn (Achondroplasia)
        • Loạn sản xương gây chết (Thanatophoric Dysplasia)
        •  Bệnh tạo xương bất toàn/ Xương thủy tinh (Osteogenesis Imperfecta - OI)
        • Loạn dưỡng lồng ngực gây ngạt (Asphyxiating thoracic dysplasia)
        • Loạn sản sụn-ngoại bì (Chondroectodermal dysplasia)
        • Loạn sản đốt sống-đầu xương (Spondyloepiphyseal dysplasia - SED)
        • Loạn sản đa đầu xương (Multiple Epiphyseal Dysplasia - MED)
      • Loạn sản chi không bị ngắn
        •  Bệnh loạn sản sụn dạng chấm (Chondrodysplasia punctata)
        • Bệnh loạn sản đòn-sọ (Cleidocranial dysplasia)
        • Bệnh tăng vỏ xương ở trẻ sơ sinh (Infantile cortical hyperostosis)/ Bệnh Caffery
        •  Loạn sản hành xương (Metaphyseal dysplasia)/ Bệnh Pyle
      • Loạn sản đặc xương
        • Bệnh xương sáp (Melorheostosis)
        • Bệnh loạn sản thân xương tiến triển (Progressive diaphyseal dysplasia)
        • Bệnh xương hóa đá (Osteopetrosis)
        • Bệnh xương đặc đốm (Osteopoikilosis)
        • Bệnh xương hóa đá kèm tiêu các đốt ngón xa (Pyknodysostosis)
        • Bệnh xương sọc (Osteopathia striata)
        • Bệnh đặc xương chậu (Osteitis condensans ilii)
    • Bệnh lý tủy xương
      • Phù tủy
        • Tủy xương bình thường (Bone marrow)
        • Phù tủy xương (Bone marrow edema)
        • Chuyển dạng ngược tủy xương (Bone marrow reconversion)
      • Hoại tử vô mạch
        • Hoại tử vô mạch chỏm xương cánh tay (Osteonecrosis of the humeral head)
        • Hoại tử vô mạch chỏm con xương cánh tay (Osteonecrosis of the capitellum)
        • hoại tử vô mạch xương thuyền (Osteonecrosis of the scaphoid bone)
        • Hoại tử vô mạch xương nguyệt (Kienböck disease)
        • Hoại tử vô mạch chỏm xương bàn tay (Mauclaire disease)
        • Hoại tử vô mạch chỏm xương đùi (Osteonecrosis of the femoral head)
        • Hoại tử vô mạch vô căn chỏm xương đùi ở trẻ em (Perthes disease/Legg-Calvé-Perthes disease)
        • Hoại tử vô mạch ở gối (Osteonecrosis of the Knee)
        • Hoại tử vô mạch xương ghe ở người lớn (Müller-Weiss syndrome)
        • Hoại tử vô mạch xương ghe ở trẻ em (Köhler disease)
        • Hoại tử vô mạch chỏm xương bàn chân (Freiberg disease)
        • Hoại tử vô mạch thân đốt sống (Kümmell disease)
    • Bệnh lý chuyển hóa
      • Mất cân bằng canxi
        • Bệnh còi xương (Rickets)
        • Bệnh nhuyễn xương (Osteomalacia)
        • Loạn dưỡng xương do thận (Bệnh xương do ure huyết cao) (Renal osteodystrophy)
        • Bệnh nhiễm độc Fluoride ở xương (Skeletal fluorosis)
      • Loãng xương
        • Loãng xương (Osteoporosis)
      • Tuyến giáp
        • Cường cận giáp (biểu hiện ở xương)(Hyperparathyroidism)
      • Tuyến yên
        • Bệnh to đầu chi (Acromegaly)
        • Bệnh khổng lồ (Gigantism)
    • Nhiễm trùng cơ xương khớp
      • Viêm xương
        • Viêm xương tủy (Osteomyelitis)
        • Lao xương (Tuberculous osteomyelitis)
        • Viêm xương tủy mạn tính (Chronic osteomyelitis)
        • Mảnh xương chết (Sequestrum)
        • Bao xương mới trong viêm xương (Involucrum)
        • Lỗ rò xương trong viêm xương (Cloaca)
        • Áp xe Brodie/ Áp xe trong xương (Brodie abscess)
      • Viêm khớp và mô mềm
        • Viêm cơ nhiễm trùng (Infectious myositis)
        • Viêm cân mạc hoại tử (Necrotizing fasciitis)
        • Viêm khớp nhiễm trùng (Septic arthritis)
    • Bệnh lý cơ xương khớp ở thanh thiếu niên
      • Gãy xương
        • Quá trình liền xương (Fracture healing)
        • Gãy xương bệnh lý (Pathological fracture)
        • Gãy sụn tiếp hợp (Gãy Salter-Harris)
      • Bất thường phát triển
        • Lệch xương trụ (Ulnar variance)
        • Thiểu sản ổ chảo (Glenoid hypoplasia)
        • Biến dạng cổ tay Madelung (Madelung deformity)
        • Loạn sản khớp háng (Developmental dysplasia of the hip)
        • Trượt chỏm xương đùi (Slipped upper femoral epiphysis)
        • Khiếm khuyết đầu trên xương đùi bẩm sinh (Proximal Femoral Focal Deficiency - PFFD)
        • Bệnh Blount (Chân vòng kiềng)
        • Bàn chân bẹt (Pes planus)
        • Bàn chân vòm cao (Pes cavus)
        • Dính xương cổ chân (Tarsal coalition)
  • Tiết niệu
    • Khoang sau phúc mạc
      • Bệnh lý viêm nhiễm, thoái hóa
        • Tổng quan khoang sau phúc mạc (Retroperitoneum)
        • Xơ hóa sau phúc mạc (Retroperitoneal fibrosis - RPF)
        • Tích tụ mỡ vùng chậu(Pelvic lipomatosis)
        • Chảy máu sau phúc mạc (Retroperitoneal hemorrhage)
        • Nang bạch huyết quanh thận (Perirenal lymphocele)
      • U sau phúc mạc
        • Sarcoma mỡ sau phúc mạc (Retroperitoneal liposarcoma)
        • U cận hạch sau phúc mạc (Extra adrenal paraganglioma)
        • Sarcoma đa hình không biệt hóa sau phúc mạc (Undifferentiated Pleomorphic Sarcoma - UPS)
        • Sarcoma cơ trơn sau phúc mạc (Retroperitoneal leiomyosarcoma)
        • Sarcoma cơ vân sau phúc mạc (Retroperitoneum Rhabdomyosarcoma)
        • U nguyên bào thần kinh (Neuroblastoma)
        • U hạch thần kinh (Ganglioneuroma)
        • Lymphoma sau phúc mạc (Retroperitoneal lymphoma)
    • Tuyến thượng thận
      • Bệnh lý lan tỏa
        • Tổng quan tuyến thượng thận (Adrenal gland)
        • Vôi hóa tuyến thượng thận (Adrenal calcification)
        • Tăng sản tuyến thượng thận (Adrenal hyperplasia)
        • Xuất huyết tuyến thượng thận (Adrenal hemorrhage)
        • Suy thượng thận (Adrenal insufficiency)
      • Bệnh lý mạch máu
        • Huyết khối tĩnh mạch thượng thận (Adrenal vein thrombosis)
      • Chấn thương
        • Chấn thương tuyến thượng thận (Adrenal gland trauma)
      • Bệnh lý viêm nhiễm
        • Lao tuyến thượng thận (Adrenal tuberculosis)
      • Khối u lành tính
        • Nang tuyến thượng thận (Adrenal cyst)
        • Adenoma tuyến thượng thận (Adrenal adenoma)
        • U tủy mỡ thượng thận (Adrenal myelolipoma)
        • U tủy thượng thận (Pheochromocytoma)
      • U ác tính
        • Carcinoma vỏ thượng thận (Adrenal cortical carcinoma)
        • U lymphoma nguyên phát tuyến thượng thận (Adrenal lymphoma)
        • Di căn tuyến thượng thận (Adrenal metastasis)
    • Thận
      • Bất thường bẩm sinh
        • Bất sản thận (Renal agenesis)
        • Thiểu sản thận (Renal hypoplasia)
        • Thận phụ (Accessory kidney)
        • Thận móng ngựa (Horseshoe kidney)
        • Thận hợp nhất lạc chỗ bắt chéo (Crossed fused renal ectopia)
        • Thận hợp nhất lạc chỗ vùng chậu (Pancake kidney)
        • Thận lạc chỗ vùng chậu (Pelvic kidney)
        • Thận lạc chỗ (Ectopic kidney)
        • Thận xoay bất toàn (Abnormal renal rotation)
        • Thận lạc chỗ lồng ngực (Intrathoracic kidney)
        • Thùy phôi thai thận (Persistent fetal lobulation of the kidneys)
        • Cột Bertin phì đại (Hypertrophied column of Bertin)
        • Thận bướu lạc đà (Dromedary hump)
        • Động mạch thận phụ (Multiple renal arteries)
        • Biến thể tĩnh mạch thận (Renal vein anomalies)
        • Hệ bài tiết đôi (Duplex collecting system)
        • Giãn đài thận bẩm sinh (Congenital megacalyces)
        • Tắc nghẽn chỗ nối bể thận-niệu quản (Ureteropelvic junction obstruction - UPJ obstruction)
        • Bể thận ngoài thận (Extrarenal pelvis)
      • Bệnh lý viêm nhiễm
        • Viêm bể thận cấp (Acute pyelonephritis)
        • Viêm bể thận mạn (Chronic pyelonephritis)
        • Viêm bể thận u hạt vàng (Xanthogranulomatous pyelonephritis - XGP)
        • Viêm bể thận sinh hơi (Emphysematous pyelitis)
        • Viêm thận-bể thận sinh hơi (Emphysematous pyelonephritis)
        • Thận ứ mủ (Pyonephrosis)
        • Áp xe thận (Renal abscess)
        • Áp xe quanh thận (Perinephric abscess)
        • Lao thận (Renal tuberculosis)
      • Nang thận
        • Phân loại nang thận Bosniak
        • Nang thận đơn giản ( Renal simple cyst)
        • Nang xoang thận (Renal sinus cyst)
        • Bệnh thận đa nang di truyền trội (Autosomal Dominant Polycystic Kidney Disease - ADPKD)
        • Bệnh thận đa nang di truyền lặn (Autosomal Recessive Polycystic Kidney Disease - ARPKD)
        • Bệnh thận dạng nang khu trú (Localized cystic renal disease - LCRD)
        • Bệnh thận đa nang mắc phải (Acquired Cystic Kidney Disease - ACKD)
        • Bệnh thận do Lithium (Lithium-induced renal disease)
        • Loạn sản thận đa nang (Multicystic Dysplastic Kidney - MCDK)
        • Nang thận do Bệnh von Hippel-Lindau (Von Hippel-Lindau disease)
      • Khối u lành tính
        • U cơ mỡ mạch thận (Renal Angiomyolipoma - AML)
        • U tế bào lớn ở thận (Renal Oncocytoma)
        • U tuyến hậu thận (Metanephric Adenoma - MA)
      • Khối u ác tính
        • Ung thư biểu mô tế bào thận (Renal Cell Carcinoma - RCC)
        • Phân loại giai đoạn Ung thư biểu mô tế bào thận (TNM)- Renal cell carcinoma (TNM staging)
        • Ung thư biểu mô chuyển tiếp của bể thận (Transitional cell carcinoma of renal pelvis)
        • Lymphoma thận (Renal lymphoma)
        • Phân loại giai đoạn ung thư bể thận (Urothelial carcinoma of the renal pelvis (staging))
      • Lắng đọng canxi
        • Vôi hóa thận (Nephrocalcinosis)
        • Sỏi thận (nephrolithiasis)
        • Xốp tủy thận (Medullary sponge kidney)
      • Bệnh lý nội khoa
        • Thận ứ nước (Hydronephrosis)
        • Hoại tử ống thận cấp (Acute Tubular Necrosis - ATN)
        • Hoại tử vỏ thận (Renal cortical necrosis)
        • Hoại tử nhú thận (Renal papillary necrosis)
        • Bệnh thận mạn (Chronic Kidney Disease - CKD)
        • Mỡ hóa nhu mô thận (Renal Replacement Lipomatosis)
        • Bệnh tích tụ mỡ xoang thận (Renal sinus lipomatosis)
      • Bệnh lý mạch máu
        • Hẹp động mạch thận (Renal artery stenosis - RAS)
        • Huyết khối tĩnh mạch thận (Renal vein thrombosis)
        • Tắc động mạch thận (Renal artery occlusion)
        • Nhồi máu thận (Renal infarction)
        • Dị dạng động-tĩnh mạch thận (Renal Arteriovenous Malformation - AVM)
        • Rò động-tĩnh mạch thận (Renal Arteriovenous Fistula - AVF)
      • Chấn thương thận
        • Chấn thương thận (Renal trauma)
        • Phân độ chấn thương thận AAST (AAST kidney injury scale)
        • Nang niệu (Urinoma)
      • Ghép thận
        • Ghép thận (Renal transplant)
    • Niệu quản
      • Bất thường bẩm sinh
        • Niệu quản đôi (Ureteral duplication)
        • Niệu quản chẻ đôi (Bifid ureter)
        • Niệu quản lạc chỗ (Ectopic ureter)
        • Sa lồi niệu quản (Ureterocele)
      • Viêm nhiễm
        • Viêm niệu quản dạng nang (Ureteritis cystica)
        • Giả túi thừa niệu quản (Ureteral pseudodiverticulosis)
      • Giãn, hẹp niệu quản
        • Sỏi niệu quản (Ureteric calculi)
        • Trào ngược bàng quang-niệu quản (Vesicoureteric Reflux - VUR)
        • Niệu quản giãn bẩm sinh (Congenital megaureter)
        • Hẹp niệu quản (Ureteral stricture)
      • U niệu quản
        • Ung thư biểu mô tế bào chuyển tiếp niệu quản (Transitional cell carcinoma of ureter- TCC)
        • Phân loại giai đoạn ung thư niệu quản (Urothelial carcinoma of the ureter (staging))
      • Chấn thương
        • Tổn thương niệu quản (Ureteric injury)
        • Vỡ niệu quản (Ureteric rupture)
    • Bàng quang
      • Bất thường phát triển
        • Ống niệu-rốn (Congenital urachal anomalies)
        • Túi thừa bàng quang (Urinary bladder diverticulum)
      • Bệnh lý viêm nhiễm
        • Viêm bàng quang (Cystitis)
        • Sán máng bàng quang (Schistosomiasis urinary tract manifestations)
        • Viêm u hạt mạn tính (Malakoplakia)
      • Khí trong bàng quang
        • Rò đại tràng-bàng quang (Colovesical fistula)
        • Rò bàng quang-âm đạo (Vesicovaginal fistula)
        • Viêm bàng quang sinh hơi (Emphysematous cystitis)
      • Thay đổi cấu trúc bàng quang
        • Sỏi bàng quang (Bladder calculus)
        • Bàng quang thần kinh (Neurogenic bladder)
        • Tắc nghẽn đường ra của bàng quang (Bladder Outlet Obstruction - BOO)
      • Chấn thương
        • Chấn thương bàng quang (Urinary bladder trauma)
      • Khối u bàng quang
        • U cơ trơn bàng quang (Leiomyoma of the urinary bladder)
        • Ung thư biểu mô tế bào chuyển tiếp ở bàng quang (Transitional cell carcinoma (urinary bladder))
        • Phân loại giai đoạn ung thư của bàng quang (Transitional cell carcinoma of the bladder (staging))
        • Ung thư biểu mô tuyến của bàng quang (Adenocarcinoma urinary bladder)
    • Niệu đạo/Dương vật
      • Viêm niệu đạo
        • Hẹp niệu đạo (Urethral stricture)
        • Túi thừa niệu đạo (Urethral diverticulum)
      • Chấn thương
        • Chấn thương niệu đạo (Urethral injury)
        • Gãy dương vật (Penile fracture)
        • Bệnh Peyronie (xơ chai dương vật)
      • Khối u niệu đạo
        • Ung thư niệu đạo nguyên phát (Primary urethral cancer)
    • Tinh hoàn
      • Tổn thương một bên
        • Xoắn tinh hoàn (Testicular torsion)
        • Viêm tinh hoàn (Orchitis)
        • Chấn thương tinh hoàn (Testicular trauma)
        • Đa tinh hoàn (Polyorchidism)
        • Tinh hoàn ẩn (Cryptorchidism)
        • Giãn ống lưới tinh hoàn (Tubular ectasia of rete testis)
        • Nhồi máu tinh hoàn (Segmental testicular infarction)
      • Tổn thương hai bên
        • Vi vôi hóa tinh hoàn (Testicular microlithiasis)
      • Khối u tinh hoàn
        • Ung thư tinh hoàn (Testicular cancer)
        • Lymphoma tinh hoàn (Testicular lymphoma)
        • Nang thượng bì tinh hoàn (Testicular epidermoid cyst)
        • Di tích thượng thận tại tinh hoàn (Testicular adrenal rests- TART)
        • Phân loại giai đoạn u tinh hoàn (Testicular cancer (staging))
    • Mào tinh hoàn
      • Bệnh lý viêm nhiễm
        • Viêm mào tinh (Epididymitis)
        • Áp xe mào tinh (Epididymal abscess)
        • Xoắn mấu phụ tinh hoàn (Torsion of the appendix testis)
      • Tổn thương u
        • U dạng tuyến ở bìu (Adenomatoid tumors of the scrotum)
        • U hạt tinh trùng (Sperm granuloma)
        • Nang tinh trùng (Spermatocele)
        • Nang mào tinh (Epididymal cyst)
    • Bìu và thừng tinh
      • Bệnh lý viêm nhiễm
        • Viêm mô tế bào bìu (Scrotal cellulitis)
        • Áp xe thành bìu (Scrotal wall abscess)
        • Tràn mủ tinh mạc (Scrotal pyocele)
        • Hoại tử tầng sinh môn Fournier (Fournier gangrene)
        • Phù bìu cấp tính vô căn (Acute Idiopathic Scrotal Edema)
      • Khối u ở bìu
        • Nang bao trắng bìu (Tunica albuginea cyst)
        • U giả dạng sợi của bìu (Fibrous pseudotumor of the scrotum)
        • U mỡ cạnh tinh hoàn (Peritesticular lipoma)
        • Liposarcoma thừng tinh (Spermatic cord liposarcoma)
      • Các tổn thương khác
        • Tràn dịch tinh mạc (Hydrocele)
        • Tràn máu tinh mạc (Scrotal hematocele)
        • Giãn tĩnh mạch thừng tinh (Varicocele)
        • Sỏi bìu (Scrotolith)
        • Vôi hóa bìu vô căn (Idiopathic scrotal calcinosis)
    • Tiền liệt tuyến và túi tinh
      • Bất thường bẩm sinh túi tinh
        • Bất sản túi tinh (Seminal vesicle agenesis)
        • Thiểu sản túi tinh (Seminal vesicle hypoplasia)
        • Nang túi tinh (Seminal vesicle cyst)
      • Tổn thương túi tinh mắc phải
        • Viêm túi tinh (Seminal vesiculitis)
        • Áp xe túi tinh (Seminal vesicle abscess)
        • Sỏi túi tinh (Seminal vesicle stones)
        • Di căn túi tinh (Seminal vesicle invasion)
      • Bệnh lý viêm nhiễm tiền liệt tuyến
        • Viêm tuyến tiền liệt
        • Áp xe tuyến tiền liệt (Prostatic abscess)
      • Khối u tiền liệt tuyến
        • Phì đại lành tính tuyến tiền liệt (Benign Prostatic Hyperplasia - BPH)
        • Nang ống Muller (Müllerian duct cyst)
        • Nang ống phóng tinh (Ejaculatory duct cyst)
        • Nang túi bầu dục tuyến tiền liệt (Prostatic utricle cyst)
        • Ung thư biểu mô tuyến tiền liệt (Prostate cancer)
        • Sarcoma tuyến tiền liệt (Prostate sarcoma)
        • Phân loại giai đoạn ung thư tuyến tiền liệt (Prostate cancer (staging))
  • Cột sống
    • Bẩm sinh
      • Biến thể thân sống
        • Thiếu nửa đốt sống (Hemivertebra)
        • Dính thân đốt sống (Block vertebrae)
        • Hở thân sống theo mặt phẳng vành (Coronal vertebral cleft)
        • Thân đốt sống hình cánh bướm (Butterfly vertebra)
        • Đốt sống viền (Limbus vertebra)
      • Biến thể cung sống
        • Lỗ cung sống (Arcuate foramen)
        • Bất thường hợp nhất cung sau (Posterior vertebral fusion anomalies)
      • Biến thể vị trí chuyển tiếp
        • Dính chẩm-đội (Atlanto-occipital assimilation)
        • Đốt sống chẩm (Occipital vertebrae)
        • Thắt lưng hóa S1/ Cùng hóa L5
      • Xương phụ
        • Xương phụ cung trước đốt đội (Accessory ossicle of the anterior arch of the atlas)
        • Tồn tại xương phụ mỏm răng (Persistent ossiculum terminale)
        • Mỏm răng tách rời (Os odontoideum)
        • Cốt hóa dây chằng gáy (Sesamoid ossicles of the nuchal ligament)
        • Xương phụ khớp liên mấu (Oppenheimer ossicle)
      • Biến thể tủy sống
        • Rễ thần kinh dính liền (Conjoined nerve roots)
        • Tồn tại não thất ở ống tủy tận (Ventriculus terminalis)
      • Loạn sản ống sống
        • Tật loạn sản ống sống (Spinal dysraphism)
        • Xoang bì bẩm sinh (Dorsal dermal sinus)
        • Thoát vị màng tủy bẩm sinh (Congenital spinal meningocele)
        • Thoát vị tủy mỡ màng tủy (Lipomyelomeningocele)
        • Thoát vị tủy màng tủy (Myelomeningocele)
        • Tủy chẻ đôi (Diastematomyelia)
        • Tật nứt đốt sống (Spina bifida)
        • Hội chứng tủy sống bám thấp (Tethered cord syndrome)
        • U mỡ dây tận (Lipoma of the filum terminale)
    • Chấn thương cột sống
      • Gãy xương sống cổ
        • Gãy đốt sống cổ (Cervical spine fractures)
        • Gãy lồi cầu xương chẩm (Occipital condyle fracture)
        • Trật khớp chẩm đội (Atlanto-occipital dissociation injuries)
        • Gãy đốt đội C1 (Gãy Jefferson )
        • Trật khớp xoay C1-C2 (Atlanto-axial rotary fixation)
        • Gãy mỏm răng C2 (Odontoid fracture)
        • Gãy trượt đốt sống trục C2 (Hangman fracture)
        • Gãy bong mỏm gai (Gãy Clay-Shoveler)
        • Gãy xương cổ hình giọt lệ do gập (Flexion teardrop fracture)
        • Gãy xương cổ hình giọt lệ do ngửa (Extension teardrop fracture)
        • Trật khớp liên mấu (Facet dislocation)
      • Gãy xương sống ngực- thắt lưng
        • Gãy cột sống ngực - thắt lưng (Thoracolumbar spine fracture)
        • Gãy trật do gập mạnh (Gãy Chance )
        • Gãy mỏm ngang (Transverse process fracture)
        • Khuyết eo đốt sống (Spondylolysis)
        • Gãy sụn viền cung sau (Posterior ring apophyseal fracture)
        • Gãy trật cột sống ngực thắt lưng (Thoracic spine fracture-dislocation)
        • Gãy cuống sống do mỏi (Pedicle stress fracture)
      • Gãy xương cụt
        • Gãy xương cụt (Coccygeal fracture)
      • Các kiểu hình gãy xương
        • Gãy cột sống dạng que phấn (Chalk stick fracture)
        • Gãy lún đốt sống (Spinal compression fracture)
        • Gãy nát cột sống (Burst fracture)
        • Gãy lún cột sống hình chêm (Spinal wedge fracture)
        • Gãy dẹt đốt sống (Vertebra plana)
        • Tổn thương trượt xoay cột sống (Translation-rotation spine injuries)
        • Trượt đốt sống (Spondylolisthesis)
      • Phân loại chấn thương cột sống
        • Khái niệm ba cột trong gãy đốt sống của Denis (Three column concept of spinal fractures)
        • Hệ thống phân loại của AO Spine (AO Spine classification systems)
      • Tổn thương tủy sống
        • Tổn thương tủy sống do chấn thương (Traumatic spinal cord injury)
        • Tụ máu ngoài màng cứng cột sống (Spinal epidural hematoma)
    • Thoái hóa cột sống
      • Thoát vị đĩa đệm
        • Thoái hóa cột sống (Spondylosis)
        • Cách đọc thoát vị đĩa đệm (Degenerated disc)
        • Mất nước đĩa đệm (Disc dehydration)
        • Rách vòng sợi (Annular fissure)
        • Phình đĩa đệm (Disc bulge)
        • Lồi đĩa đệm (Disc protrusion)
        • Thoát vị đĩa đệm thực sự (Disc extrusion)
        • Thoát vị đĩa đệm có mảnh rời (Sequestrated disc)
        • Thoát vị đĩa đệm trong thân đốt sống (nốt Schmorl)
        • Nang đĩa đệm (Discal cyst)
        • Thay đổi mâm sống theo phân loại Modic (Modic type endplate changes)
        • Thoái hóa đốt sống cổ (Cervical spondylosis)
        • Thoát vị tủy sống ra trước (Ventral cord herniation)
      • Thoái hóa khớp liên mấu và dây chằng vàng
        • Thoái hóa khớp liên mấu (Facet joint arthropathy)
        • Nang khớp liên mấu (Spinal synovial cyst)
        • Phì đại dây chằng vàng (Ligamentum flavum hypertrophy)
      • Chèn ép rễ thần kinh
        • Hẹp ống sống (Spinal stenosis)
        • Hẹp ống sống cổ (Cervical canal stenosis)
        • Hẹp lỗ liên hợp thắt lưng (Lumbar foraminal stenosis)
        • Hẹp lỗ liên hợp cổ (Cervical foraminal stenosis)
        • Hẹp ngách bên (Lateral recess stenosis)
        • Tủy sống bị chèn ép (Compressive myelopathy)
    • Viêm nhiễm cột sống
      • Viêm cột sống
        • Viêm đĩa đệm đốt sống (Spondylodiscitis)
        • Viêm đốt sống sinh mủ (Pyogenic spondylitis)
        • Viêm đốt sống do lao (Tuberculous spondylitis)
        • Áp xe ngoài màng cứng (Spinal epidural abscess)
        • Viêm khớp liên mấu (Facet joint septic arthritis)
        • Viêm tủy sống (Myelitis)
        • Viêm màng nhện cột sống (Arachnoiditis)
    • Khối u cột sống
      • Tổng quan
        • Phân loại u tủy (Neoplasms of the spinal canal)
        • U nội tủy sống (Intramedullary spinal tumors)
        • Khối u tân sinh trong màng cứng-ngoài tủy (Intradural extramedullary neoplasms)
        • Các khối u hoặc tổn thương giả u ngoài màng cứng (Extradural mass)
        • U vùng chóp tủy (Neoplasms of the cauda equina)
      • Khối u nội tủy
        • U màng nội tủy cột sống (Spinal ependymoma)
        • U sao bào tủy sống (Spinal astrocytoma)
        • U nguyên bào mạch máu cột sống (Spinal hemangioblastoma)
        • U di căn nội tủy (Intramedullary spinal metastasis)
        • Lymphoma tủy sống (Lymphoma of the spinal cord)
        • U mỡ trong màng cứng (Intradural lipoma)
      • Khối u trong màng cứng- ngoài tủy
        • U màng não cột sống (Spinal meningioma)
        • Schwannoma cột sống (Spinal schwannoma)
        • U sợi thần kinh cột sống (Spinal neurofibroma)
        • U di căn trong màng cứng-ngoài tủy (Intradural extramedullary metastases)
      • U ngoài màng cứng
        • U mỡ mạch ngoài màng cứng (Epidural angiolipoma)
        • Ứ đọng mỡ ngoài màng cứng (Epidural lipomatosis)
        • Cavernoma ngoài màng cứng cột sống (Extradural spinal cavernous malformation)
        • Tạo máu ngoài tủy (Extramedullary hematopoiesis)
      • U vùng chóp tủy
        • U màng nội tủy thể nhầy nhú (Myxopapillary ependymoma)
        • U thần kinh nội tiết vùng đuôi ngựa (Cauda equina neuroendocrine tumor)
      • U thân sống
        • U máu thân đốt sống (Vertebral hemangioma)
        • U di căn đốt sống (Vertebral metastases)
        • Các khối u nguyên phát thân sống (Primary bone tumors of the spine)
        • Lắng đọng mỡ khu trú thân sống (Focal fatty deposits in bone marrow)
      • Nang và giả u
        • Các nang màng tủy cột sống (Spinal meningeal cysts)
        • Nang màng nhện cột sống (Spinal arachnoid cyst)
        • Thoát vị màng tủy xương cùng (Occult intrasacral meningocele)
        • Nang Tarlov (Tarlov cyst)
        • Nang thượng bì cột sống (Spinal epidermoid cyst)
        • Nang bì cột sống (Spinal dermoid cyst)
    • Bệnh lý tủy sống
      • Bệnh lý tủy sống
        • Rỗng tủy (Syrinx)
        • Nhồi máu tủy sống (Acute spinal cord ischemia syndrome)
        • Xơ cứng rải rác ở tủy sống (Spine multiple sclerosis)
        • Viêm đa rễ dây thần kinh mất myelin mạn tính (Chronic Inflammatory Demyelinating Polyneuropathy - CIDP)
        • Hội chứng Guillain-Barré (Guillain-Barré syndrome - GBS)
    • Bệnh lý mạch máu
      • Bất thường mạch máu
        • Dị dạng mạch máu cột sống (Spinal vascular malformations)
        • Rò động - tĩnh mạch màng cứng cột sống (Spinal Dural Arteriovenous Fistula - SDAVF)
        • Dị dạng động - tĩnh mạch tủy sống (Spinal Arteriovenous Malformation - AVM)
        • Dị dạng hang tủy sống (Spinal cord cavernous malformation)
  • Phụ Khoa
    • Tử cung
      • Bất thường bẩm sinh
        • Dị dạng tử cung bẩm sinh/ Các bất thường ống Muller (Müllerian duct anomalies)
        • Phân loại bất thường ống Müllerian (AFS classification of Müllerian anomalies)
        • Tử cung hình cung (Arcuate uterus)
        • Bất sản tử cung (Uterine agenesis)
        • Hội chứng MRKH/ Bất sản ống Muller (Mayer-Rokitansky-Küster-Hauser syndrome)
        • Tử cung một sừng (Unicornuate uterus)
        • Tử cung đôi (Uterus didelphys)
        • Tử cung hai sừng (Bicornuate uterus)
        • Tử cung có vách ngăn (Septate uterus)
        • Tử cung hình chữ T (T-shaped uterus)
        • Hội chứng HWW/OHVIRA (Herlyn-Werner-Wunderlich syndrome)
      • Bệnh lý viêm nhiễm
        • Dính buồng tử cung (Asherman syndrome)
        • Viêm nội mạc tử cung (Endometritis)
        • Ứ mủ buồng tử cung (Pyometrium)
        • Ứ máu buồng tử cung (Haematometrium)
      • Khối u nội mạc lành tính
        • Tăng sản nội mạc tử cung dạng nang (Cystic endometrial hyperplasia)
        • Polyp nội mạc tử cung (Endometrial polyp)
        • Thay đổi ở nội mạc tử cung do Tamoxifen (Tamoxifen-associated endometrial changes)
      • Khối u nội mạc ác tính
        • Carcinoma nội mạc tử cung (Endometrial carcinoma)
        • U mô đệm nội mạc tử cung (Endometrial Stromal Tumors - EST)
        • Carcinosarcoma tử cung (Carcinosarcoma of the uterus)
        • Bệnh lý nguyên bào nuôi thai kỳ (Gestational Trophoblastic Disease - GTD)
        • Phân loại giai đoạn Carcinoma nội mạc tử cung (Endometrial carcinoma staging)
      • Khối u cơ trơn lành tính
        • U xơ tử cung (Uterine leiomyoma)
        • Phân loại FIGO cho u xơ tử cung (FIGO classification system for uterine leiomyoma)
        • Thoái hóa Hyaline của u xơ tử cung (Hyaline degeneration of a leiomyoma)
        • Thoái hóa nhầy của U xơ tử cung (Myxoid degeneration of a leiomyoma)
        • Thoái hóa Đỏ của u xơ tử cung (Red degeneration of a leiomyoma)
        • Thoái hóa Nang của u xơ tử cung (Cystic degeneration of a leiomyoma)
        • U cơ trơn tử cung lan tỏa (Diffuse uterine leiomyomatosis)
        • U cơ trơn di căn lành tính (Benign metastasizing leiomyoma)
        • U mỡ cơ trơn tử cung (Uterine lipoleiomyoma)
      • Khối u cơ trơn ác tính
        • Sarcoma cơ trơn tử cung (Uterine Leiomyosarcoma)
      • Bất thường mạch máu
        • Dị dạng động tĩnh mạch tử cung (Uterine Arteriovenous Malformation - AVM)
      • Adenomyosis - lạc nội mạc tử cung trong cơ
        • Bệnh cơ tuyến tử cung (Adenomyosis)
        • U cơ tuyến (Adenomyoma)
        • Bệnh cơ tuyến tử cung dạng nang (Cystic adenomyosis)
    • Cổ tử cung
      • Khối u lành tính
        • Polyp cổ tử cung (Cervical polyp)
        • U xơ tử cung ở cổ tử cung (Leiomyoma of the uterine cervix)
        • Nang Nabothian (Nabothian cyst)
      • Khối u ác tính
        • Carcinoma cổ tử cung (Cervical carcinoma)
        • Phân loại giai đoạn ung thư cổ tử cung (Cervical cancer staging)
        • Ung thư tuyến cổ tử cung ít ác tính (Adenoma malignum of the cervix)
    • Âm đạo và âm hộ
      • Bất thường bẩm sinh
        • Bất sản 1/3 dưới âm đạo (Lower vaginal atresia)
        • Màng trinh không thủng (Imperforate hymen)
        • Vách ngăn âm đạo ngang (Transverse vaginal septum - TVS)
      • Khối u lành tính
        • U xơ âm đạo (Vaginal leiomyoma)
      • Khối u ác tính
        • Carcinoma âm đạo (Primary vaginal carcinoma)
        • U mạch-nhầy xâm lấn (Aggressive angiomyxoma)
      • Tổn thương dạng nang
        • Nang ống Gartner (Gartner duct cyst)
        • Túi thừa niệu đạo (Urethral diverticulum)
        • Nang tuyến Skene (Paraurethral duct cyst)
        • Nang tuyến Bartholin (Bartholin gland cyst)
      • Rò
        • Rò đại tràng - âm đạo (Colovaginal fistula)
        • Rò niệu quản âm đạo (Ureterovaginal fistula)
      • Ống Nuck
        • Thoát vị ống Nuck (Canal of Nuck hernia)
        • Nang nước ống Nuck (Hydrocele of the canal of Nuck)
    • Buồng trứng
      • Nang buồng trứng
        • Nang buồng trứng (Ovarian cyst)
        • Gò noãn (Cumulus oophorus)
        • Nang noãn buồng trứng (Ovarian follicular cyst)
        • Nang hoàng thể (Corpus luteal cyst)
        • Nang buồng trứng xuất huyết (Hemorrhagic ovarian cyst)
        • Vỡ nang buồng trứng (Ruptured ovarian cyst)
        • Nang hoàng tuyến (Theca lutein cyst)
        • Nang vùi buồng trứng (Serous inclusion cysts of the ovary)
        • Nang vùi phúc mạc (Peritoneal inclusion cyst)
        • Hội chứng quá kích buồng trứng (Ovarian Hyperstimulation Syndrome - OHSS)
        • Buồng trứng đa nang (Polycystic Ovarian Morphology - PCOM)
        • Lạc nội mạc tử cung (Endometriosis)
        • Nang lạc nội mạc tử cung (Endometrioma)
      • U biểu mô buồng trứng
        • Tổng quan các khối u biểu mô buồng trứng (Ovarian epithelial tumors)
        • Nang tuyến dịch trong buồng trứng (Ovarian serous cystadenoma)
        • Ung thư nang tuyến dịch trong buồng trứng (Ovarian serous cystadenocarcinoma)
        • Nang tuyến dịch nhầy (Ovarian mucinous cystadenoma)
        • Ung thư nang tuyến dịch nhầy buồng trứng (Ovarian mucinous cystadenocarcinoma)
        • Ung thư biểu mô dạng nội mạc tử cung của buồng trứng (Endometrioid carcinoma of the ovary)
        • Ung thư biểu mô tế bào sáng của buồng trứng (Ovarian clear cell carcinoma)
        • U Brenner (Brenner tumor)
        • U nang sợi tuyến/ U sợi tuyến buồng trứng (Cystadenofibroma/ Adenofibroma)
      • U tế bào mầm
        • Tổng quan các khối u tế bào mầm của buồng trứng (Germ cell tumors of the ovary)
        • U quái trưởng thành (Mature cystic ovarian teratoma)
        • U quái không trưởng thành của buồng trứng (Immature ovarian teratoma)
        • U Dysgerminoma (Ovarian dysgerminoma)
        • U túi noãn hoàng buồng trứng (Ovarian yolk sac tumor)
        • Ung thư nguyên bào nuôi buồng trứng (Ovarian choriocarcinoma)
        • U tuyến giáp buồng trứng (Struma ovarii)
      • U mô đệm- dây sinh dục
        • Tổng quan các khối u mô đệm / dây sinh dục của buồng trứng (Sex cord / stromal ovarian tumors)
        • U sợi buồng trứng (Ovarian fibroma)
        • U vỏ buồng trứng (Ovarian thecoma)
        • U sợi vỏ buồng trứng (Ovarian fibrothecoma)
        • Khối u mô đệm xơ hóa (Sclerosing Stromal Tumor - SST)
        • U tế bào hạt của buồng trứng (Granulosa cell tumor of the ovary)
        • U tế bào Sertoli-Leydig buồng trứng (Sertoli-Leydig Cell Tumor - SLCT)
      • Di căn và lymphoma
        • Lymphoma buồng trứng (Ovarian lymphoma)
        • Khối u di căn buồng trứng (Metastases to the ovary)
        • U Krukenberg (Krukenberg tumor)
      • Bệnh lý mạch máu
        • Huyết khối tĩnh mạch buồng trứng (Ovarian vein thrombosis)
        • Hội chứng xung huyết vùng chậu (Pelvic congestion syndrome)
        • Xoắn buồng trứng - phần phụ (Adnexal torsion)
        • Phù buồng trứng (Massive ovarian edema)
    • Vòi trứng
      • Bẩm sinh
        • Nang cạnh buồng trứng (Paraovarian cyst)
      • Viêm nhiễm
        • Ứ dịch vòi trứng (Hydrosalpinx)
        • Ứ mủ vòi trứng (Pyosalpinx)
        • Ứ máu vòi trứng (Hematosalpinx)
        • Áp xe vòi trứng - buồng trứng (Tubo-ovarian abscess)
        • Viêm dạng nốt đoạn eo vòi trứng (Salpingitis isthmica nodosa)
      • Xoắn vòi trứng
        • Xoắn vòi trứng (Fallopian tube torsion)
      • U vòi trứng
        • Ung thư vòi trứng nguyên phát (Primary fallopian tube carcinoma)
    • Vùng chậu
      • Viêm nhiễm
        • Viêm vùng chậu (Pelvic Inflammatory Disease - PID)
        • Hội chứng Fitz-Hugh-Curtis (FHCS)/ Viêm quanh gan
        • Lao vùng chậu (Tuberculous pelvic inflammatory disease)
        • Nhiễm Actinomyces vùng chậu (Pelvic actinomycosis)
  • Đầu mặt cổ
    • Tuyến giáp và cận giáp
      • Tổng quan
        • Khoang tạng ở cổ (Visceral space)
      • Viêm nhiễm
        • Bệnh Basedow (Graves disease)
        • Viêm tuyến giáp bán cấp De Quervain (De Quervain thyroiditis)
        • Viêm tuyến giáp Hashimoto (Hashimoto thyroiditis)
      • Phì đại tuyến giáp
        • Phình giáp hạt (Bướu giáp đa nhân - Multinodular Goiter, MNG)
        • Bướu giáp sau xương ức (Retrosternal goiter)
      • Khối u lành tính
        • Nang keo tuyến giáp (Colloid nodule thyroid)
        • Adenoma tuyến giáp (Thyroid adenoma)
        • Adenoma cận giáp (Parathyroid adenoma)
        • Tuyến giáp lạc chỗ ở lưỡi (Lingual thyroid)
      • Khối u ác tính
        • Ung thư tuyến giáp thể nhú (Papillary thyroid carcinoma)
        • Ung thư tuyến giáp dạng nang (Follicular Thyroid Carcinoma - FTC)
        • Carcinoma tế bào oncocytic của tuyến giáp (Oncocytic carcinoma of the thyroid gland)
        • Lymphoma tuyến giáp (Thyroid lymphoma)
    • Họng, Thanh quản và Viêm nhiễm Sâu
      • Bệnh lý vòm họng
        • Nang Tornwaldt (Tornwaldt cyst)
        • Nang ứ đọng khoang niêm mạc hầu (Retention Cyst of Pharyngeal Mucosal Space)
        • Ung thư biểu mô vòm họng (Nasopharyngeal carcinomas - NPC)
        • Ung thư biểu mô tế bào vảy khoang miệng (Squamous cell carcinoma (oral cavity))
        • Phân loại giai đoạn Ung thư biểu mô Khoang miệng (Oral cavity carcinoma (staging))
        • Phân giai đoạn Ung thư vòm họng (Nasopharyngeal cancer (staging))
      • Hạ họng- Thanh quản
        • Nang thanh quản (Laryngeal cyst)
        • Túi khí thanh quản (Laryngocele)
        • Chấn thương thanh quản (Laryngeal trauma)
        • Ung thư biểu mô tế bào vảy của thanh quản (Squamous cell carcinoma of the larynx)
        • Ung thư biểu mô tế bào vảy hạ hầu (Hypopharyngeal squamous cell carcinoma)
        • Ung thư biểu mô tế bào vảy vùng hầu họng (Oropharyngeal squamous cell carcinoma - OPSCC)
        • Phân giai đoạn ung thư biểu mô hạ hầu (Hypopharyngeal carcinoma (staging))
        • Phân giai đoạn Ung thư biểu mô Thanh quản (Laryngeal carcinoma (staging))
      • Viêm nhiễm- Áp xe sâu
        • Viêm amidan (Tonsillitis)
        • Áp xe amidan (Intratonsillar abscess)
        • Áp xe quanh amidan (Peritonsillar abscess)
        • Áp xe khoang cơ cắn (Masticator Space Abscess)
        • Tụ máu sau hầu tự phát (Spontaneous retropharyngeal hemorrhage)
        • Viêm gân vôi hóa trước sống (Calcific tendinitis of the longus colli muscle)
        • Viêm thanh khí phế quản cấp (Croup)
        • Viêm trên thanh môn (Epiglottitis)
        • Áp xe dưới hàm (Submandibular abscess)
        • Áp xe cạnh hầu (Parapharyngeal abscess)
        • Áp xe sau hầu (Retropharyngeal abscess)
        • Viêm mô tế bào sàn miệng (Ludwig's Angina)
    • Tuyến nước bọt
      • Viêm nhiễm
        • Viêm tuyến mang tai (Parotitis)
        • Bệnh Sjögren (Sjögren disease)
        • Bệnh Kimura (Kimura disease)
        • Tổn thương lympho tuyến mang tai lành tính (Benign Lymphoepithelial Lesion - BLL)
        • Viêm tuyến nước bọt (Sialadenitis)
        • Sỏi tuyến nước bọt (Sialolithiasis)
        • Chấn thương tuyến nước bọt (Salivary gland trauma)
        • Giãn ống tuyến nước bọt (Sialectasis)
      • Khối u lành tính
        • U tuyến nước bọt đa hình (Pleomorphic adenoma of the salivary glands)
        • U máu tuyến mang tai ở trẻ sơ sinh (Parotid infantile hemangioma)
        • U Warthin (Warthin tumor)
        • Nang nước bọt (Sialocele)
        • U mỡ tuyến mang tai (Parotid lipoma)
        • Nang nhái (Ranula)
        • Oncocytoma tuyến nước bọt (Oncocytoma of the salivary glands)
      • Khối u ác tính
        • Ung thư biểu mô nhầy bì tuyến nước bọt (Mucoepidermoid carcinoma of salivary glands)
        • Ung thư biểu mô tuyến dạng nang của tuyến nước bọt (Adenoid cystic carcinoma of the salivary gland)
        • Ung thư biểu mô tế bào nang tuyến nước bọt (Acinic cell carcinoma of salivary glands)
        • Ung thư biểu mô xuất phát từ u tuyến đa hình (Carcinoma ex pleomorphic adenoma - Ca-ex-PA)
        • Lymphoma không Hodgkin ở tuyến mang tai (Parotid Non-Hodgkin Lymphoma)
        • Ung thư biểu mô ống tuyến nước bọt (Salivary duct carcinomas - SDC)
    • Hạch, mạch máu, thần kinh Cổ
      • Bệnh lý mạch máu
        • Động mạch cảnh hôn nhau (Kissing carotids)
        • Bóc tách động mạch cảnh trong (Internal carotid artery dissection)
        • Giả phình động mạch cảnh (Carotid artery pseudoaneurysm)
        • Hội chứng đau động mạch cảnh (Carotidynia)
        • Huyết khối tĩnh mạch cảnh (Jugular Vein Thrombosis - JVT)
        • Bóc tách động mạch đốt sống (Vertebral artery dissection)
      • U nguyên phát thần kinh
        • Schwannoma dây thần kinh hàm dưới (Masticator Space CNV3 Schwannoma)
        • U thể cảnh/ u cận hạch thể cảnh (Carotid Body Paraganglioma)
        • U cận hạch dây thần kinh lang thang (Vagal paraganglioma)
        • Schwannoma dây thần kinh lang thang (Vagal schwannoma)
        • Schwannoma chuỗi giao cảm (Sympathetic Chain Schwannoma - SCSC)
        • Schwannoma đám rối cánh tay (Brachial Plexus Schwannoma)
      • U mô mềm và u thần kinh ác tính
        • U mỡ vùng cổ (Neck lipoma)
        • Sarcoma hoạt dịch vùng cổ (Synovial Sarcoma of Head and Neck)
        • U vỏ bao thần kinh ngoại biên ác tính vùng cổ (Malignant Peripheral Nerve Sheath Tumor of Head and Neck)
      • Nang và U Bẩm sinh
        • Nang khe mang (Branchial cleft cyst)
        • Nang bì vùng dưới hàm (Submandibular dermoid cyst)
        • Nang ống giáp lưỡi (Thyroglossal duct cysts - TGDC)
      • Hạch vùng cổ
        • Các nhóm hạch cổ (Lymph node levels of the neck)
        • Hạch viêm ở cổ (Cervical adenitis)
        • Hạch lao ở cổ (Tuberculous cervical lymphadenitis)
        • Hạch lymphoma ở cổ (Nodal Lymphoma in Neck)
        • Hạch di căn vùng cổ (Cervical lymph node metastasis)
    • Mũi, Xoang
      • Bẩm sinh
        • U nhầy túi lệ mũi (Nasolacrimal duct mucocele)
        • Tịt lỗ mũi sau (Choanal atresia)
        • U thần kinh đệm ở mũi (Nasal gliomas)
        • Nang bì mũi (Nasal dermoid cyst)
        • Thoát vị não màng não ra mũi (Frontoethmoidal encephaloceles)
        • Hẹp lỗ lê (Pyriform aperture stenosis)
      • Viêm nhiễm
        • Viêm mũi xoang cấp (Acute rhinosinusitis)
        • Viêm mũi xoang mạn (Chronic rhinosinusitis - CRS)
        • Biến chứng của viêm mũi xoang (Complications of Rhinosinusitis)
        • U phồng Pott (Pott puffy tumor- Biến chứng viêm mũi xoang)
        • Viêm mũi xoang dị ứng do nấm (Allergic Fungal Rhinosinusitis - AFRS)
        • U nấm xoang (Paranasal sinuses mycetomas)
        • Viêm xoang do nấm xâm lấn cấp tính (Acute invasive fungal sinusitis - AIFS)
        • Ứ nhầy xoang (Paranasal sinus mucoceles)
        • Hội chứng xoang im lặng (Silent sinus syndrome - SSS)
        • U hạt Wegener ở mũi (Granulomatosis with polyangiitis)
        • Thủng vách ngăn mũi (Nasal septal perforation)
      • U lành
        • Polyp mũi xoang (Sinonasal polyposis)
        • Polyp mũi xoang cửa mũi sau (Antrochoanal polyps - ACP)
        • Loạn sản sợi ở mũi xoang (Sinonasal Fibrous Dysplasia)
        • U xương mũi xoang (Paranasal sinus osteomas)
        • U xơ mạch vòm mũi họng ở tuổi vị thành niên (Juvenile nasopharyngeal angiofibromas - JNA)
        • U nhú lộn ngược mũi xoang (Inverted papillomas)
        • U máu mao mạch dạng thùy ở khoang mũi (Lobular capillary hemangioma of the nasal cavity)
        • Nang ứ đọng xoang cạnh mũi (Paranasal sinus retention cysts)
      • U ác tính
        • Ung thư biểu mô tế bào vảy mũi xoang (Sinonasal squamous cell carcinomas - SCC)
        • Ung thư biểu mô tuyến mũi xoang (Sinonasal adenocarcinomas)
        • Ung thư biểu mô không biệt hóa mũi xoang (Sinonasal undifferentiated carcinomas - SNUC)
        • U nguyên bào thần kinh khứu giác (Olfactory neuroblastomas)
        • Lymphoma mũi xoang (Sinonasal lymphoma)
        • Melanoma niêm mạc mũi xoang (Sinonasal mucosal melanomas)
    • Hàm mặt và khớp cắn
      • Bệnh lý cơ xương hàm mặt
        • Phì đại cơ nhai (Masticatory muscle hypertrophy)
        • Xơ cứng xương hàm dưới vô căn (Idiopathic osteosclerosis of the mandible)
        • Hoại tử xương hàm do xạ trị (Mandibular osteoradionecrosis - ORN)
      • Tổn thương dạng nang
        • Nang quanh chóp (Periapical cysts)
        • Nang thân răng (Dentigerous cysts)
        • Nang sừng răng (Odontogenic keratocysts - OKC)
        • Nang mũi môi (Nasolabial cysts)
        • Nang ống răng cửa (Incisive canal cysts)
        • Hốc xương Stafne (Stafne bone cavity)
      • U lành
        • U xơ hóa xi măng xương hàm (Cemento-ossifying fibroma - COF)
        • U răng (Odontoma)
        • U men răng (Ameloblastomas)
        • U nhầy răng (Odontogenic myxomas)
        • U tuyến răng (Adenomatoid odontogenic tumors - AOT)
        • Lồi xương hàm dưới (Mandibular torus)
        • Lồi xương hàm trên (Maxillary torus)
        • Tổn thương tế bào khổng lồ trung tâm (Central giant cell lesions granuloma)
      • U ác tính
        • Osteosarcoma xương hàm (Gnathic osteosarcoma)
      • Khớp thái dương hàm
        • Thoái hóa khớp thái dương hàm (Osteoarthritis of the temporomandibular joint - TMJ OA)
        • Tràn dịch khớp thái dương hàm (Temporomandibular joint effusion)
        • Rối loạn chức năng khớp thái dương hàm (Temporomandibular joint - TMJ dysfunction)
        • Trật khớp thái dương hàm (Temporomandibular joint dislocation)
    • Chấn thương hàm mặt
      • Gãy xương đơn giản
        • Gãy lồi cầu khớp thái dương hàm (Condylar process fractures)
        • Gãy xương hàm dưới (Mandibular fracture)
        • Gãy răng (Dental fracture)
        • Gãy xương mũi (Nasal bone fractures)
        • Gãy cung gò má (Zygomatic arch fractures)
      • Gãy xương phức tạp
        • Gãy xương Le Fort (Le Fort fracture classification)
        • Gãy phức hợp mũi sàng ổ mắt (Naso-orbitoethmoid (NOE) complex fracture)
        • Gãy hốc mắt "blow-out" (Orbital blow-out fracture)
        • Gãy hốc mắt "blow-in" (Orbital blow-in fractures)
        • Gãy phức hợp gò má - hàm trên (Zygomaticomaxillary complex fracture)
        • Gãy xoang trán (Frontal sinus fractures)
        • Gãy xương xoang cạnh mũi (Paranasal sinus fractures)
    • Mắt
      • Bẩm sinh
        • Coloboma
        • Tồn tại thủy tinh thể tăng sản nguyên phát (Persistent hyperplastic primary vitreous - PHPV)
        • Nang bì ổ mắt (Orbital dermoid cysts)
        • Viêm võng mạc xuất tiết (Exudative retinitis)
      • Mạch máu và u lành
        • Dị dạng tĩnh mạch thể hang ở ổ mắt (Orbital cavernous venous malformations)
        • Giãn tĩnh mạch ổ mắt (Orbital venous varix)
        • Dị dạng bạch mạch ổ mắt (Orbital lymphatic malformations)
        • U máu mao mạch ổ mắt (Capillary hemangiomas of the orbit)
        • U tế bào đệm đường thị giác (Optic pathway gliomas - OPGs)
        • U màng não thần kinh thị (Optic nerve sheath meningioma)
        • U tuyến đa hình của tuyến lệ (Pleomorphic adenomas of the lacrimal glands)
      • Viêm nhiễm
        • Nhiễm trùng ổ mắt (Orbital infection)
        • Áp xe dưới màng xương ổ mắt (Subperiosteal abscesses of the orbit - SPA)
        • Viêm nội nhãn (Endophthalmitis)
        • Bệnh mắt do tuyến giáp (Thyroid-associated orbitopathy - TAO)
        • Viêm ổ mắt giả u (orbital pseudotumor)
        • Viêm tuyến lệ (Dacryoadenitis)
        • Sarcoidosis mắt - Sarcoidosis (orbital manifestations)
        • Viêm dây thần kinh thị (Optic neuritis)
      • U ác tính
        • U nguyên bào võng mạc (Retinoblastomas)
        • Rhabdomyosarcoma ổ mắt - Rhabdomyosarcoma (orbit)
        • Melanoma ác tính màng bồ đào (Primary uveal malignant melanoma)
        • Lymphoma mắt (Orbital lymphoma)
        • Di căn ổ mắt (Orbital metastases)
        • Ung thư tuyến lệ (Adenoid cystic carcinoma of lacrimal gland)
      • Chấn thương
        • Vỡ nhãn cầu (Globe rupture)
        • Dị vật nội nhãn (Ocular foreign body)
        • Lệch thủy tinh thể (Ectopia lentis)
        • Xuất huyết dịch kính (Vitreous hemorrhage)
        • Hội chứng Terson (Terson syndrome)
        • Bong võng mạc (Retinal detachment)
        • Bong hắc mạc (Choroidal detachment)
        • Hội chứng đỉnh hốc mắt (Orbital apex syndrome)
        • Hội chứng khoang hốc mắt (Orbital compartment syndrome)
    • Sàn sọ
      • Xương Clivus (Dốc nền)
        • Tổn thương lạc chỗ dây sống dạng bọng (Ecchordosis physaliphora)
        • Biến thể hố thuyền lớn (Fossa navicularis magna)
        • U vùng dốc nền (Clival masses)
      • Xương bướm
        • Tồn tại ống tuyến yên (Persistent hypophyseal canal)
        • Tổn thương mỡ lành tính xương bướm (Ngưng khí hóa xương bướm- Arrested pneumatization of the sphenoid sinus)
      • Lỗ cảnh
        • Vòm tĩnh mạch cảnh cao (High riding jugular bulb)
        • Vòm tĩnh mạch cảnh hở (Dehiscent jugular bulbs)
        • U cuộn cảnh (Jugular paraganglioma)
        • Schwannoma lỗ tĩnh mạch cảnh (Jugular foramen schwannomas)
        • U màng não lỗ tĩnh mạch cảnh (Jugular Foramen Meningioma)
      • U sàn sọ
        • U màng não nền sọ (Skull base meningioma)
        • Thoát vị não thái dương (Temporal encephaloceles)
        • Thoát vị não xương bướm (Sphenoidal encephaloceles)
        • Loạn sản sợi nền sọ (Skull Base Fibrous Dysplasia)
        • Bệnh mô bào Langerhans nền sọ (Skull Base Langerhans Cell Histiocytosis - LCH)
        • Đa u tủy nền sọ (Skull Base Multiple Myeloma - MM)
        • Di căn nền sọ (Skull Base Metastasis)
        • Chondrosarcoma nền sọ (Chondrosarcoma of the skull base)
        • Viêm tủy xương nền sọ (Skull base osteomyelitis - SBO)
    • Xương thái dương
      • Lỗ tai ngoài
        • Lỗ nhĩ (Foramen tympanicum)
        • Tịt ống tai ngoài (External auditory canal atresia)
        • Chồi xương ống tai ngoài (External auditory canal exostoses)
        • Viêm hoại tử tai ngoài (Necrotizing otitis externa - NOE)
        • Nút sừng ống tai ngoài (Keratosis obturans)
        • Xơ hóa ống tai ngoài đoạn trong (Medial canal fibrosis)
        • U xương ống tai ngoài (External auditory canal osteomas)
        • Ung thư biểu mô tế bào vảy ống tai ngoài (External Auditory Canal Squamous Cell Carcinoma - EAC SCCa)
        • Cholesteatoma ống tai ngoài (External auditory canal cholesteatomas - EACC)
      • Tai giữa- Xương chũm
        • Tịt cửa sổ bầu dục (Oval window atresia)
        • Động mạch cảnh trong lệch ra ngoài (Lateralized internal carotid artery)
        • Động mạch cảnh trong lạc chỗ (Aberrant internal carotid artery)
        • Tồn tại động mạch bàn đạp (Persistent stapedial artery - PSA)
        • Viêm xương chũm cấp (Acute mastoiditis)
        • Viêm tai-xương chũm mạn tính (Chronic otomastoiditis)
        • Cholesteatoma mắc phải (Acquired cholesteatomas)
        • U cuộn nhĩ (Tympanic paragangliomas)
        • Dị dạng mạch máu tĩnh mạch của thần kinh mặt (Venous vascular malformations of the facial nerve)
      • Tai trong
        • Bất sản mê nhĩ hoàn toàn (Michel aplasia)
        • Bất sản ốc tai (Cochlear aplasia)
        • Thiểu sản ốc tai (Cochlear hypoplasia)
        • Phân chia không hoàn toàn ốc tai loại I (Cochlear incomplete partition type I)
        • Phân chia không hoàn toàn ốc tai loại II (Cochlear incomplete partition type II)
        • Phân chia không hoàn toàn ốc tai loại III (Cochlear incomplete partition type III)
        • Cống tiền đình lớn (Enlarged vestibular aqueduct - EVA)
        • Loạn sản ống bán khuyên (Semicircular canal dysplasia)
        • Viêm mê nhĩ (Labyrinthitis)
        • Viêm mê nhĩ cốt hóa (Labyrinthitis ossificans)
        • U túi nội bạch huyết (Endolymphatic sac tumors - ELST)
        • Schwannoma trong mê nhĩ (Intralabyrinthine schwannomas)
        • Xốp xơ tai (Otospongiosis)
        • Hội chứng hở ống bán khuyên trên (Superior semicircular canal dehiscence syndrome - SSCDS)
      • Đỉnh xương đá
        • Khí hóa bất đối xứng đỉnh xương đá (Asymmetric pneumatization of the petrous apex)
        • Thoát vị đỉnh xương đá (Petrous apex cephalocele)
        • Viêm đỉnh xương đá (Petrous apicitis)
        • U hạt cholesterol (Cholesterol granulomas)
      • Chấn thương
        • Gãy xương thái dương (Temporal bone fracture)
    • Góc cầu tiểu não (CPA)
      • Bẩm sinh
        • Nang thượng bì góc cầu tiểu não (CPA-IAC Epidermoid Cyst)
        • Nang màng nhện góc cầu tiểu não (CPA-IAC Arachnoid Cyst)
        • U mỡ góc cầu tiểu não (Cerebellopontine angle lipoma)
      • Khối u
        • Schwannoma thần kinh mặt (Facial nerve schwannoma)
        • Schwannoma tiền đình (Vestibular schwannomas)
        • U màng não góc cầu tiểu não (CPA-IAC Meningioma)
        • Di căn góc cầu tiểu não - ống tai trong (CPA-IAC Metastases)
  • Tuyến vú
    • Kỹ thuật hình ảnh
      • Các hình ảnh học
        • Nhũ ảnh (Mammography)
        • Vị trí khuất trên nhũ ảnh (Forbidden areas in mammography)
        • Tư thế chụp nhũ ảnh (Mammography views)
        • Nhũ ảnh 3D (Digital breast tomosynthesis - DBT)
        • Đặc điểm hình ảnh siêu âm tuyến vú (Benign and malignant characteristics of breast lesions at ultrasound)
        • MRI vú (Breast MRI)
        • X-quang ống tuyến vú cản quang (Breast ductography)
      • Vấn đề khác
        • Mật độ mô vú (Breast density)
        • Thay đổi sợi bọc tuyến vú - Fibrocystic change (breast)
        • Túi ngực (Breast implants)
    • BI-RADS
      • Phân loại Bi-RADS
        • Phân loại BI-RADS (Breast Imaging Reporting and Data System- BI-RADS)
        • BI-RADS 1 (Breast imaging-reporting and data system (BI-RADS) assessment category 1)
        • BI-RADS 2 (Breast imaging-reporting and data system (BI-RADS) assessment category 2)
        • BI-RADS 3 (Breast imaging-reporting and data system (BI-RADS) assessment category 3)
        • BI-RADS 4 (Breast imaging-reporting and data system (BI-RADS) assessment category 4)
        • BI-RADS 5 (Breast imaging-reporting and data system (BI-RADS) assessment category 5)
    • Vôi hóa
      • Tổng quan
        • Vôi hóa tuyến vú (Breast calcifications)
      • Vôi hóa lành tính
        • Vôi hóa da ở vú (Skin calcifications in the breast)
        • Vôi hóa mạch máu ở vú (Vascular calcification in breast)
        • Vôi hóa dạng bắp rang (Popcorn-like calcification of the breast)
        • Vôi hóa dạng tiết dịch (secretory calcifications)
        • Vôi hóa dạng tròn (Round breast calcifications)
        • Vôi hóa dạng vỏ trứng (Eggshell calcification (breast))
        • Vôi hóa loạn dưỡng (Dystrophic calcification within the breast)
        • Vôi hóa chỉ khâu (Suture calcification in breast)
      • Vôi hóa nghi ngờ
        • Vôi hóa nghi ngờ ác tính ở vú (Suspicious breast calcifications)
    • Tổn thương lành tính
      • U lành tính
        • Bệnh tuyến của tuyến vú (Adenosis of the breast)
        • U nhú trong ống tuyến vú (Intraductal papilloma of breast)
        • U nhú thiếu niên của tuyến vú (Juvenile papillomatosis of the breast)
        • Nang vú đơn thuần (Simple breast cyst)
        • Nang bã nhờn tuyến vú (Breast sebaceous cyst)
        • Nang phức hợp ở vú (Complex cystic and solid breast mass)
        • U mô thừa tuyến vú (Breast hamartomas) (hình ảnh vú trong vú)
        • U mỡ tuyến vú (Breast lipoma)
        • Hoại tử mỡ tuyến vú (Fat necrosis (breast))
        • U sợi tuyến vú (Fibroadenoma)
        • U tế bào hạt tuyến vú (Granular cell tumor of the breast)
        • U xơ cứng tuyến vú (Fibromatosis of the breast)
        • Nang dầu tuyến vú (Oil cyst (breast))
        • U diệp thể (Phyllodes tumors)
        • Sẹo sau phẫu thuật vú (Post surgical breast scar)
        • U tuyến của vú (Adenomatous breast lesions)
    • Tổn thương nguy cơ cao
      • Tổn thương nguy cơ cao
        • Tăng sản ống không điển hình (Atypical ductal hyperplasia)
    • Tổn thương ác tính
      • U ác tính
        • U tân sinh của vú (Breast neoplasms)
        • Ung thư biểu mô ống tuyến tại chỗ (Ductal carcinoma in situ)
        • Ung thư biểu mô tuyến vú xâm nhập loại không đặc biệt (Invasive breast carcinoma of no special type)
        • Ung thư biểu mô tiểu thùy vú (Lobular breast carcinoma)
        • Ung thư biểu mô tiểu thùy xâm nhập của tuyến vú (Invasive lobular carcinoma of the breast)
        • U lympho của vú (Breast lymphoma)
        • Ung thư biểu mô tuyến vú dạng viêm (Inflammatory carcinoma of the breast)
        • U diệp thể ác tính của vú (Malignant phyllodes tumor)
        • Ung thư biểu mô tuyến vú dị sản (Metaplastic breast carcinoma - MBC)
        • Di căn đến vú (Metastases to the breast)
        • Phân loại giai đoạn Ung thư vú (Breast cancer (staging))
    • Viêm nhiễm tuyến vú
      • Bệnh lý viêm nhiễm
        • Áp xe vú (Breast abscess)
        • Viêm vú (Mastitis)
        • Giãn ống tuyến vú (Mammary duct ectasia)
        • Bệnh Mondor (Mondor disease)
    • Túi ngực
      • Đặt túi ngực
        • Túi ngực (breast implants)
        • Co thắt bao xơ túi ngực (Capsular contracture)
        • Thẩm thấu gel túi ngực (Gel bleed in breast implants)
        • Vỡ túi ngực (Breast implant rupture)
  • Bài giảng
    • Lồng ngực
      • Phần 1: Giải phẫu cơ bản và các dấu hiệu nhận biết
        • Phân chia thùy và các rãnh liên thùy phổi
        • Giải phẫu X quang Phổi cơ bản
        • Giải phẫu trung thất
      • Phần 2: Mô hình và cơ chế tổn thương phổi
        • Các kiểu hình bệnh lý phổi
        • Xẹp phổi
        • Bệnh lý khoang màng phổi, lồng ngực và cơ hoành (Pleura, Chest Wall & Diaphragm)
        • Bệnh lý nhiễm trùng phổi (Pulmonary infections)
        • U phổi và nốt đơn độc (lung tumors & solitary pulmonary nodule)
        • Bệnh phổi mô kẽ lan tỏa (ILD)
        • Bệnh lý mạch máu phổi
        • Bệnh lý đường thở và trung thất (airways & mediastinum)
        • Chấn thương ngực và tổn thương phổi cấp (thoracic trauma & acute lung injury)
        • Hình ảnh ICU và thiết bị hỗ trợ (ICU imaging & support devices)
    • Tiêu Hóa
      • Tiêu hóa
        • Thực quản (esophagus)
        • Dạ dày (Gastric)
        • Đường mật và túi mật (Biliary)
        • Tụy (Pancreas )
        • Lách (Spleen)
        • Gan (Hepatic)
        • Ruột non (Small bowel)
        • Ruột thừa (Appendix)
        • Đại trực tràng (Large bowel)
        • Mạc treo - mạc nối - phúc mạc - thoát vị (The Mesentery, Omentum & Peritoneum)
        • Xoắn ruột (volvulus)
    • Tiết niệu
      • Tiết niệu
        • Khoang sau phúc mạc (Retroperitoneum)
        • Tuyến thượng thận (Adrenal)
        • Thận (Renal)
        • Niệu quản (Ureter)
        • Bàng quang và niệu rốn (Bladder & Urachus)
        • Hệ sinh dục nam (Male genitourinary)
    • Thần kinh
      • Thần kinh
        • Nền tảng thần kinh học (Neuroimaging fundamentals)
        • Giải phẫu mạch máu thần kinh (Neurovascular)
        • Đột quỵ (Stroke)
        • Xuất huyết não & dị dạng mạch máu (Intracranial hemorrhage & vascular malformations)
        • Bệnh lý tĩnh mạch não (Cerebral venous disease)
        • Xuất huyết nhu mô não (Intraparenchymal hemorrhage)
        • Chấn thương sọ não (Traumatic brain)
        • Bệnh lý chất trắng (White matter disease)
        • Bệnh lý chuyển hóa và ngộ độc não (Toxic / metabolic disorders)
        • Nhiễm trùng não (Brain infection)
    • Đầu mặt cổ
      • Đầu mặt cổ
        • Xoang cạnh mũi, hốc mũi & nền sọ trước (Sinonasal & anterior skull base)
        • Mắt (Orbit)
        • Gãy xương mặt (Facial fracture)
        • Tuyến nước bọt (Salivary glands)
        • Hố yên và nền sọ giữa (Sellar & parasellar)
        • Xương thái dương & nền sọ bên (Temporal bone & lateral skull base)
        • Họng (Pharynx)
        • Khoang miệng & thanh quản (Oral cavity & larynx)
        • Các khoang cổ sâu (Deep neck spaces)
        • Hạch cổ & nhiễm trùng cổ sâu (Cervical lymph nodes & infections)
        • Tuyến giáp và cận giáp (Thyroid & parathyroid)
    • Cột sống
      • Cột sống
        • Bệnh lý trong tủy (Intramedullary lesions)
        • Bệnh lý trong màng cứng - ngoài tủy (Intradural extramedullary)
        • Bệnh lý ngoài màng cứng (Extradural spine)
        • Thoái hóa cột sống (Degenerative spine)
        • Nhiễm trùng cột sống (Spinal Infection)
        • Bệnh lý cấu trúc cột sống (Hủy eo, Trượt, OPLL)
        • Chấn thương cột sống (Spine trauma)
        • Cột sống sau phẫu thuật (Postoperative spine)
    • Cơ xương khớp
      • Cơ xương khớp
        • Viêm khớp (Arthritis)
        • Tiếp cận u xương (Approach to bone tumors)
        • Các loại u xương (Bone tumors)
        • U mô mềm (Soft tissue tumors)
        • Nhiễm trùng cơ xương khớp (Musculoskeletal Infection)
        • Bệnh lý chuyển hóa & Huyết học xương (Metabolic & Hematologic Bone Disease)
        • Đại cương gãy xương (Skeletal Trauma)
        • Đại cương MRI cơ xương khớp (MRI MSK Fundamentals)
        • Bàn chân & Cổ chân (Foot & Ankle)
        • Khớp gối (Knee)
        • Khớp háng & Khung chậu (Hip & Pelvis)
        • Khớp Vai (Shoulder)
        • Khuỷu tay và cẳng tay (Elbow & Forearm )
        • Cổ tay & Bàn tay (Wrist & Hand)
    • Nhi khoa
      • Nhi khoa
        • Đường thở Nhi (Pediatric Airway)
        • Lồng ngực Nhi (Pediatric Chest)
        • Tim mạch Nhi (Pediatric Cardiac)
        • Tiêu hóa Nhi (Pediatric Gastrointestinal)
        • Tiết niệu Nhi (Pediatric Genitourinary)
        • Cơ xương khớp Nhi (Pediatric MSK)
        • Thần kinh Nhi (Pediatric Neuroimaging)
    • Mạch máu
      • Mạch máu
        • Giải phẫu và biến thể quai Động Mạch Chủ
        • Hội chứng Động Mạch Chủ Cấp (Acute Aortic Syndrome)
        • Chấn thương Động Mạch Chủ (Traumatic Aortic Injury)
        • Động mạch chủ & mạch máu ngực (Thoracic Aorta)
        • Động Mạch Chủ Bụng (Abdominal Aorta)
        • Mạch máu tạng & chậu (Mesenteric and pelvic vessels)
        • Mạch máu Chi Trên (Upper Extremity Vascular)
        • Mạch máu chi dưới (lower extremity vascular)
  • Giải phẫu
    • Não
      • CT
        • CT não không thuốc
        • CTA mạch máu não
        • CT Tĩnh mạch đầu
      • MRI
        • MRI không thuốc
        • MRA (MRI mạch máu)
        • MRI tuyến yên
    • Đầu mặt cổ
      • CT
        • CT xương sọ
        • CT Xương mặt
        • CT xoang
        • CT Xương thái dương
        • CT ống tai
        • CT cổ
      • MRI
        • MRI ống tai trong & góc cầu tiểu não
    • Cột sống
      • X Quang
        • X Quang cột sống cổ
        • X Quang Cột sống ngực
        • X quang cột sống thắt lưng
        • X Quang xương cùng
      • CT
        • CT cột sống cổ
        • CT cột sống thắt lưng
      • MRI
        • MRI cột sống cổ
        • MRI cột sống thắt lưng
    • Lồng ngực
      • X Quang
        • X Quang ngực
      • CT
        • CT nhu mô phổi
        • Giải phẫu CT trung thất và mô mềm
        • CT mạch vành
    • Bụng chậu
      • X Quang
        • X Quang bụng đứng
      • CT
        • CT bụng
        • CTA mạch máu bụng
        • CT gan
      • MRI
        • MRI Tiền Liệt Tuyến
        • MRI tử cung phần phụ
    • Chi trên
      • X Quang
        • X Quang khớp vai
        • X Quang xương đòn
        • X Quang xương cánh tay
        • X Quang khớp khủy
        • X Quang xương cẳng tay
        • X Quang xương cổ tay
        • X Quang bàn tay
      • CT
        • CT khớp vai
        • CT khớp khuỷu
        • CT xương cổ tay
      • MRI
        • MRI vai
        • MRI khuỷu tay
        • MRI cổ tay
    • Chi dưới
      • X quang
        • X Quang xương chậu
        • X Quang khớp háng
        • X quang khớp gối
        • X Quang xương cổ chân
        • X quang bàn chân
      • CT
        • CT cổ chân & bàn chân
      • MRI
        • MRI khớp háng
        • MRI khớp gối
        • MRI cổ chân
  • Dùng thử
    • Dùng thử
      • Dùng thử
        • Các mặt cắt siêu âm dị tật thai quý I
        • Siêu âm thần kinh thai quý I
        • Mặt và cổ thai quý I
        • Các chỉ số của khuôn mặt
        • Kênh nhĩ thất (AVSD)
        • Shunt tĩnh mạch rốn- chủ (Bất sản ống tĩnh mạch)
        • Shunt tĩnh mạch rốn- cửa- chủ (Bất thường hoặc bất sản ống tĩnh mạch DV)
        • Đường dò (Sinus Tracts)
        • Hội chứng Cowden (Cowden syndrome)
        • Loạn sản Greenberg (Greenberg Dysplasia)
        • Bài tiết thay thế (Vicarious Excretion)
        • Hội chứng HELLP (HELLP Syndrome)
        • Bệnh u mỡ não-xương sọ-da (Encephalocraniocutaneous lipomatosis)