Danh sách các phần
Trả phí
Bệnh não do hạ đường huyết (Hypoglycemic encephalopathy)
16/03/2026
Trả phí
Co giật do tăng đường huyết không nhiễm toan ceton (Non-ketotic hyperglycemic seizures)
16/03/2026
Trả phí
Múa giật nửa người do tăng đường huyết không nhiễm ceton (Non-ketotic Hyperglycemic Hemichorea - NHH)
16/03/2026
Trả phí
Bệnh não do Bilirubin (Bilirubin Encephalopathy - BE)/Vàng da nhân (Kernicterus)
16/03/2026
Trả phí
Suy tuyến cận giáp- Biểu hiện ở não (Hypoparathyroidism)
16/03/2026
Trả phí
Giả suy tuyến cận giáp- Biểu hiện ở não (Pseudohypoparathyroidism)
16/03/2026
Trả phí
Bệnh não do rượu (alcoholic encephalopathy)/ Hội chứng Wernicke-Korsakoff (Wernicke-Korsakoff syndrome)
16/03/2026
Trả phí
Bệnh Marchiafava-Bignami (Marchiafava-Bignami Disease - MBD)/ Nghiện rượu mãn tính
16/03/2026
Trả phí
Bệnh Fahr (Fahr Disease- FD)
16/03/2026
Trả phí
Bệnh não gan (Hepatic Encephalopathy- HE)
16/03/2026
Trả phí
Bệnh não do urê huyết cao (Uremic Encephalopathy)
16/03/2026
Trả phí
PRES- Hội chứng bệnh não sau có hồi phục (Posterior Reversible Encephalopathy Syndrome )
16/03/2026
Miễn phí
bệnh não do tăng huyết áp mạn tính (Chronic Hypertensive Encephalopathy)/Vi mạch do tăng huyết áp (Hypertensive Microangiopathy)
16/03/2026
Trả phí
Ngộ độc Carbon Monoxide (Carbon Monoxide Poisoning)
16/03/2026
Trả phí
Tổn thương não do lạm dụng chất (Drug Abuse)
16/03/2026
Trả phí
Ngộ độc Cyanide (Cyanide Poisoning)
16/03/2026
Trả phí
Độc tính thần kinh trung ương do Metronidazole (Metronidazole central nervous system toxicity)
16/03/2026
Trả phí
Lắng đọng Gadolinium (đối quang MRI) trong não (Gadolinium Deposition)
16/03/2026
Trả phí
Ngộ độc Methanol (Methanol Poisoning)
16/03/2026
Trả phí
Hội chứng hùy myelin do thẩm thấu (Osmotic Demyelination Syndrome - ODS)
16/03/2026
Trả phí
Bệnh lý mạch máu não do xạ trị (Radiation-induced cerebral vasculopathy - RICV)
16/03/2026
Trả phí
Biến chứng của xạ trị sọ (Complications of cranial radiation therapy)
16/03/2026
Trả phí
U màng não do xạ trị (Radiation-induced meningiomas)
16/03/2026
Trả phí
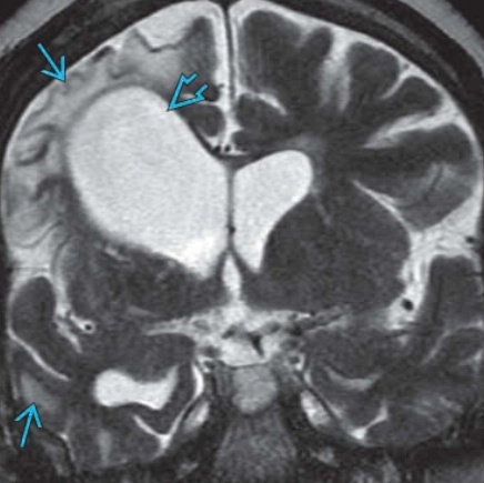
U thần kinh đệm do xạ trị (Radiation-induced gliomas)
16/03/2026
Trả phí
U sacrom (sarcoma) do xạ trị - Radiation-induced sarcoma (RIS)
16/03/2026
Trả phí
Giả tiến triển khối u sau điều trị (Tumor pseudoprogression)
16/03/2026
Trả phí
xơ cứng hồi hải mã (Hippocampal Sclerosis)/Xơ cứng thái dương trong (Mesial Temporal Sclerosis)
16/03/2026
Trả phí
Động kinh (Status Epilepticus- SE)
16/03/2026
Trả phí
Hội chứng mất trí nhớ toàn bộ thoáng qua (Transient Global Amnesia - TGA)
16/03/2026
Trả phí
Hiện tượng khối u giả đáp ứng sau điều trị (Pseudoresponse)
16/03/2026
Trả phí
Cường tuyến cận giáp ở sọ (Hyperparathyroidism)
16/03/2026
Trả phí
Não lão hóa bình thường (Normal Aging Brain)
16/03/2026
Trả phí
Bệnh Alzheimer (Alzheimer Disease)
16/03/2026
Trả phí
Sa sút trí tuệ do mạch máu (Vascular dementia)
16/03/2026
Trả phí
Thoái hóa thùy trán- thái dương (Frontotemporal lobar degeneration- FTLD)
16/03/2026
Trả phí
Sa sút trí tuệ thể lewy (Dementia With Lewy Bodies - DLB)
16/03/2026
Trả phí
Bệnh Creutzfeldt-Jakob (Creutzfeldt-Jakob disease - CJD)
16/03/2026
Trả phí
Bệnh Parkinson (Parkinson Disease)
16/03/2026
Trả phí
Thoái hóa vỏ não hạch nền (Corticobasal Degeneration - CBD)
16/03/2026
Trả phí
Liệt trên nhân tiến triển (PSP - Progressive Supranuclear Palsy)
16/03/2026
Trả phí
Teo đa hệ thống (Multiple system atrophy - MSA)
16/03/2026
Trả phí
Bệnh xơ cứng teo cơ một bên (Amyotrophic lateral sclerosis - ALS)
16/03/2026
Trả phí
Thoái hóa Wallerian (Wallerian Degeneration)
16/03/2026
Trả phí
Suy giảm chức năng tiểu não đối bên (Crossed Cerebellar Diaschisis- CCD)
16/03/2026
Trả phí
Thoái hóa nhân trám phì đại (Hypertrophic Olivary Degeneration - HOD)
16/03/2026
Trả phí
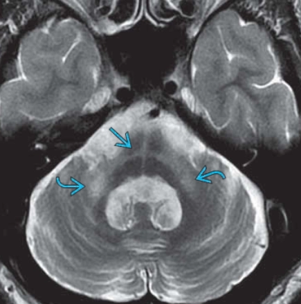
Mất điều hòa tủy sống- tiểu não (Spinocerebellar Ataxia - SCAs)
16/03/2026
Trả phí
Run/mất điều hòa liên quan đến fragile x (Fragile X-Associated Tremor/Ataxia - FXTAS)
16/03/2026